免费电话:400-9961-933
邮箱:info@sabbiotech.com
欢迎光临本站
川博智能体 English
位置: 首页 > 多克隆抗体 > IGF-1R Antibody

IGF-1R Antibody #21081

是否有货: 有货
产品详情

产品名称IGF-1R Antibody

来源种属Rabbit

克隆性Polyclonal

纯化Antibodies were produced by immunizing rabbits with synthetic peptide and KLH conjugates. Antibodies were purified by affinity-chromatography using epitope-specific peptide.

应用WB;IHC;IF

种属反应性Human;Mouse;Rat

特异性The antibody detects endogenous level of total IGF-1R protein.

免疫原类型Peptide-KLH

免疫原描述Peptide sequence around aa.1159~1163 (D-I-Y-E-T) derived from Human IGF-1R .

基因/蛋白名称IGF-1R

标记Unconjugated

别名Insulin-like growth factor I receptor; CD221; IGF1R; kinase IGF1R

数据库入口号Swiss-Prot: P08069
NCBI Protein: NP_000866.1

Uniprot P08069

计算分子量154 kDa

实际分子量95,200 kDa

浓度1 mg/ml

配方Supplied at 1.0mg/mL in phosphate buffered saline (without Mg2+ and Ca2+), pH 7.4, 150mM NaCl, 0.02% sodium azide and 50% glycerol.

保存Store at -20°C for long term preservation (recommended). Store at 4°C for short term use.

应用详情
WB 1:500-1:2000; IHC 1:100-1:300; IF 1:50-1:300
Western blot analysis of extracts from 293 cells using IGF-1R Antibody
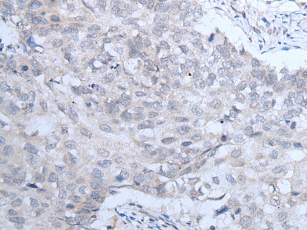
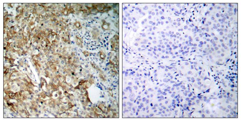
Immunohistochemical analysis of paraffin-embedded human breast carcinoma tissue using IGF-1R Antibody(left) or the same antibody preincubated with blocking peptide(right).
Immunohistochemical analysis of paraffin-embedded Human lung cancer tissue using IGF-1R Antibody(left) or the same antibody preincubated with blocking peptide(right).
Immunohistochemical analysis of paraffin-embedded human stomach tissue using IGF-1R Antibody(left) or the same antibody preincubated with blocking peptide(right).
Immunofluorescence staining of methanol-fixed MCF-7 cells using IGF-1R Antibody.
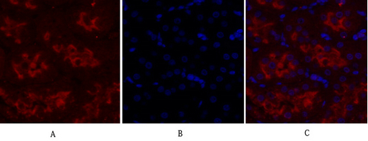
Immunofluorescence analysis of mouse-lung tissue using IGF-1R Antibody.Picture A:Target. Picture B: DAPI. Picture C: merge of A+B
Immunofluorescence analysis of rat-kidney tissue using IGF-1R Antibody.Picture A:Target. Picture B: DAPI. Picture C: merge of A+B

如果您使用该产品21081发表了文章,请通知我们,让我们可以引用您的文献。

et al,Circular RNA_PDHX Promotes the Proliferation and Invasion of Prostate Cancer by Sponging MiR-378a-3p. In Front Cell Dev Biol on 2021 Jan 28 by Yuanshen Mao, Wenfeng Li,et al..PMID:33634097 , (2021),
PMID: 33634097
et al,Sex differences and left-right asymmetries in expression of insulin and insulin-like growth factor-1 receptors in developing rat hippocampus.In Brain Struct Funct on 2012 Apr by Hami J, Sadr-Nabavi A,et al..PMID:22042446 , (2012),
PMID: 22042446
et al,H 2 O 2 Attenuates IGF-1R Tyrosine Phosphorylation and Its Survival Signaling Properties in Neuronal Cells via NR2B Containing NMDA Receptor.In Oncotarget on 2017 Jun 27 by Zhiwen Zeng, Dejun Wang,et al..PMID: 29029433 , (2017),
PMID: 29029433
et al,Glutamate Attenuates IGF-1 Receptor Tyrosine Phosphorylation in Mouse Brain: Possible Significance in Ischemic Brain Damage.In Neurosci Res on 2012 Dec by Chengming Sun, Qian Meng,et al..PMID:23085572 , (2012),
PMID: 23085572
et al,The effects of induced type-I diabetes on developmental regulation of insulin & insulin like growth factor-1 (IGF-1) receptors in the cerebellum of rat neonates.In Metab Brain Dis on 2013 Sep by Haghir H, Rezaee AA, et al..PMID:23397157 , (2013),
PMID: 23397157
et al,Sexual dimorphism in expression of insulin and insulin-like growth factor-I receptors in developing rat cerebellum.In Cell Mol Neurobiol on 2013 Apr by Haghir H, Rezaee AA,et al..PMID:23322319 , (2013),
PMID: 23322319
et al,The effects of maternal diabetes on expression of insulin-like growth factor-1 and insulin receptors in male developing rat hippocampus.In Brain Struct Funct on 2013 Jan by Hami J, Sadr-Nabavi A,et al..PMID:22241286 , (2013),
PMID: 22241286
查看更多
et al,PristimerIn attenuates cell proliferation of uveal melanoma cells by InhibitIng InsulIn-like growth factor-1 receptor and its downstream pathways. In J Cell Mol Med on 2019 Nov by Xie X, Xie S, et al..PMID:31508890 , (2019),
PMID: 31508890
et al,Tanshinone IIA Attenuates Insulin Like Growth Factor 1 -Induced Cell Proliferation in PC12 Cells through the PI3K/Akt and MEK/ERK Pathways.In Int J Mol Sci. On 2018 Sep 12 by Wang H, Su X et al..PMID: 30213025 , (2018),
PMID: 30213025
et al,Clinical significance of immunohistochemical expression of insulin-like growth factor-1 receptor and matrix metalloproteinase-7 in resected non-small cell lung cancer , (2012),
PMID: 22969971
et al,Sexual Dimorphism in Expression of Insulin and Insulin-Like Growth Factor-I Receptors in Developing Rat Cerebellum. , (2013),
PMID: 23322319
et al,N-deglycosylation targeting chimera (DGlyTAC): a strategy for immune checkpoint proteins inactivation by specifically removing N-glycan , (2025),
PMID: 40289109

注释

应用

  • WB免疫印迹
  • IHC免疫组化
  • IF免疫荧光
  • ICC免疫细胞化学
  • FC流式细胞
  • IP免疫沉淀
  • E酶联免疫吸附法
  • DB免疫斑点法
  • ChIP染色质免疫沉淀
  • GICA胶体金免疫层析法
  • NC阴性对照

种属反应性

  • Hu
  • Ms小鼠
  • Rt大鼠
  • Dm果蝇
  • C线虫
  • Mk
  • Rb
  • B
  • D
  • P
  • Hm仓鼠
  • ChHm中国仓鼠
  • Chk
;

联系我们

Location :

南京市高新开发区星火路10号人才大厦C座

Phone :

400-9961-933
025-58868422

Email Address

info@sabbiotech.com