免费电话:400-9961-933
邮箱:info@sabbiotech.com
欢迎光临本站
川博智能体 English
位置: 首页 > 多克隆抗体 > MKK3 Antibody

MKK3 Antibody #21116

是否有货: 有货
产品详情

产品名称MKK3 Antibody

来源种属Rabbit

克隆性Polyclonal

纯化Antibodies were produced by immunizing rabbits with synthetic peptide and KLH conjugates. Antibodies were purified by affinity-chromatography using epitope-specific peptide.

应用WB IHC IF

种属反应性Human;Mouse

特异性The antibody detects endogenous level of total MKK3 protein.

免疫原类型Peptide-KLH

免疫原描述Peptide sequence around aa.187~191 (V-D-S-V-A) derived from Human MKK3.

基因/蛋白名称MKK3

标记Unconjugated

别名MAP kinase kinase 3; MAP2K3; MAPK/ERK kinase 3; MAPKK 3; MEK3

数据库入口号Swiss-Prot: P46734
NCBI Protein: NP_002747.2

Uniprot P46734

浓度1.0mg/ml

配方Supplied at 1.0mg/mL in phosphate buffered saline (without Mg2+ and Ca2+), pH 7.4, 150mM NaCl, 0.02% sodium azide and 50% glycerol.

保存Store at -20°C for long term preservation (recommended). Store at 4°C for short term use.

应用详情

Predicted MW: 40kd
Western blotting: 1:500~1:1000
Immunohistochemistry: 1:50~1:100
Immunofluorescence: 1:100~1:200

Western blot analysis of extracts from MDA cells using MKK3(Ab-189) Antibody #21116.
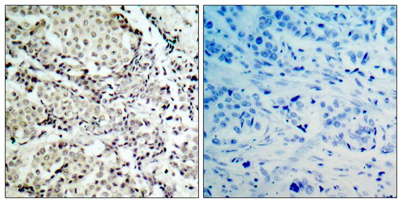
Immunohistochemical analysis of paraffin-embedded human breast carcinoma tissue using MKK3(Ab-189) Antibody #21116(left) or the same antibody preincubated with blocking peptide(right).
Immunofluorescence staining of methanol-fixed Hela cells using MKK3(Ab-189) Antibody #21116.

MEK3 belongs to MAPKK family. This kinase is activated by mitogenic and environmental stress, and participates in the MAPK-mediated signaling cascade. It phosphorylates and thus activates p38. This kinase can be activated by insulin, and is necessary for the expression of glucose transporter. Expression of Ras oncogene is found to result in the accumulation of the active form of this kinase, which thus leads to the constitutive activation of p38, and confers oncogenic transformation of primary cells. The inhibition of this kinase is involved in the pathogenesis of Yersina pseudotuberculosis.

Wang W, et al. (2002) Mol Cell Biol ; 22(10): 3389-403.
Raingeaud J, et al. (1996) Mol Cell Biol; 16(3): 1247-55.

如果您使用该产品21116发表了文章,请通知我们,让我们可以引用您的文献。

et al,Suppression of phospho-p85α?CGTP-Rac1 lipid raft interaction by bichalcone analog attenuates cancer cell invasion. In Mol Carcinog on 2016 Dec by Hui-Li Lu, Shih-Shun Chen, et al..PMID: 26756739 , (2016),
PMID: 26756739

注释

应用

  • WB免疫印迹
  • IHC免疫组化
  • IF免疫荧光
  • ICC免疫细胞化学
  • FC流式细胞
  • IP免疫沉淀
  • E酶联免疫吸附法
  • DB免疫斑点法
  • ChIP染色质免疫沉淀
  • GICA胶体金免疫层析法
  • NC阴性对照

种属反应性

  • Hu
  • Ms小鼠
  • Rt大鼠
  • Dm果蝇
  • C线虫
  • Mk
  • Rb
  • B
  • D
  • P
  • Hm仓鼠
  • ChHm中国仓鼠
  • Chk
;

联系我们

Location :

南京市高新开发区星火路10号人才大厦C座

Phone :

400-9961-933
025-58868422

Email Address

info@sabbiotech.com