免费电话:400-9961-933
邮箱:info@sabbiotech.com
欢迎光临本站
川博智能体 English
位置: 首页 > 多克隆抗体 > TYK2 Antibody

TYK2 Antibody #21118

是否有货: 有货
产品详情

产品名称TYK2 Antibody

来源种属Rabbit

克隆性Polyclonal

纯化Antibodies were produced by immunizing rabbits with synthetic peptide and KLH conjugates. Antibodies were purified by affinity-chromatography using epitope-specific peptide.

应用IHC

种属反应性Human;Mouse;Rat

特异性The antibody detects endogenous level of total TYK2 protein.

免疫原类型Peptide-KLH

免疫原描述Peptide sequence around aa.1052~1056 (H-E-Y-Y-R) derived from Human TYK2.

基因/蛋白名称TYK2

标记Unconjugated

别名tyrosine kinase 2; JTK1;

数据库入口号Swiss-Prot: P29597
NCBI Protein: NP_003322.3

Uniprot P29597

浓度1.0mg/ml

配方Supplied at 1.0mg/mL in phosphate buffered saline (without Mg2+ and Ca2+), pH 7.4, 150mM NaCl, 0.02% sodium azide and 50% glycerol.

保存Store at -20°C for long term preservation (recommended). Store at 4°C for short term use.

应用详情

Predicted MW: 140kd
Immunohistochemistry: 1:50~1:100

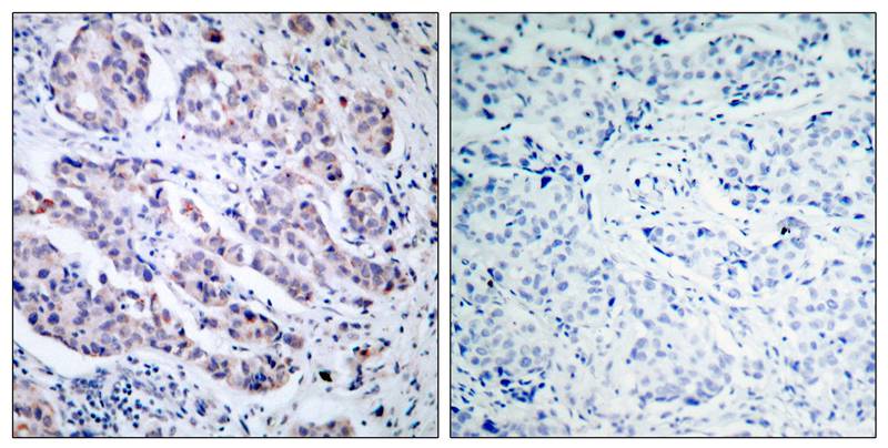
Immunohistochemical analysis of paraffin-embedded human breast carcinoma tissue using TYK2(Ab-1054) Antibody #21118(left) or the same antibody preincubated with blocking peptide(right).

TYK2 encodes a member of the tyrosine kinase and, more specifically, the Janus kinases (JAKs) protein families. This protein associates with the cytoplasmic domain of type I and type II cytokine receptors and promulgate cytokine signals by phosphorylating receptor subunits. It is also component of both the type I and type III interferon signaling pathways. As such, it may play a role in anti-viral immunity. A mutation in this gene has been associated with hyperimmunoglobulin E syndrome (HIES) - a primary immunodeficiency characterized by elevated serum immunoglobulin E.

Zheng H, et al. (2005) Mol Cell Proteomics. 4(6):721-730.
Gauzzi MC, et al. (1996) J Biol Chem. 271(34): 20494-20500.

如果您使用该产品21118发表了文章,请通知我们,让我们可以引用您的文献。

et al,6-Hydroxy-3-O-methyl-kaempferol 6-O-glucopyranoside Potentiates the Anti-Proliferative Effect of Interferon 伪/尾 by Promoting Activation of the JAK/STAT Signaling by Inhibiting SOCS3 in Hepatocellular Carcinoma Cells.In Toxicol Appl Pharmacol on 2017 Dec 1 by Orawan Wonganan, Yu-Jiao He,et al..PMID: 29031523 , (2017),
PMID: 29031523

注释

应用

  • WB免疫印迹
  • IHC免疫组化
  • IF免疫荧光
  • ICC免疫细胞化学
  • FC流式细胞
  • IP免疫沉淀
  • E酶联免疫吸附法
  • DB免疫斑点法
  • ChIP染色质免疫沉淀
  • GICA胶体金免疫层析法
  • NC阴性对照

种属反应性

  • Hu
  • Ms小鼠
  • Rt大鼠
  • Dm果蝇
  • C线虫
  • Mk
  • Rb
  • B
  • D
  • P
  • Hm仓鼠
  • ChHm中国仓鼠
  • Chk
;

联系我们

Location :

南京市高新开发区星火路10号人才大厦C座

Phone :

400-9961-933
025-58868422

Email Address

info@sabbiotech.com