免费电话:400-9961-933
邮箱:info@sabbiotech.com
欢迎光临本站
川博智能体 English
位置: 首页 > 多克隆抗体 > IkB-a Antibody

IkB-a Antibody #21122

是否有货: 有货
产品详情

产品名称IkB-a Antibody

来源种属Rabbit

克隆性Polyclonal

纯化Antibodies were produced by immunizing rabbits with synthetic peptide and KLH conjugates. Antibodies were purified by affinity-chromatography using epitope-specific peptide.

应用WB;IHC;IF

种属反应性Human;Mouse;Rat

特异性The antibody detects endogenous level of total IkB-a protein.

免疫原类型Peptide-KLH

免疫原描述Peptide sequence around aa.30~34/34~38 (H-D-S-G-L- D-S -M-K) derived from Human IkB-a.

基因/蛋白名称IkB-a

标记Unconjugated

别名I-kappa-B-alpha; IKBA; NF-kappaB inhibitor alpha; NFKBI; NFKBIA

数据库入口号Swiss-Prot: P25963
NCBI Protein: NP_065390.1

Uniprot P25963

计算分子量35kDa

实际分子量39kDa

浓度1.0mg/ml

配方Supplied at 1.0mg/mL in phosphate buffered saline (without Mg2+ and Ca2+), pH 7.4, 150mM NaCl, 0.02% sodium azide and 50% glycerol.

保存Store at -20°C for long term preservation (recommended). Store at 4°C for short term use.

应用详情
WB 1:500-1:2000; IHC 1:50-1:200; IF 1:50-1:200;
Western blot analysis of extracts from 293 and 3T3 cells using IkB-a Antibody.
Western blot analysis of extracts from DU145, MCF7 and Hela cells using IkB-a Antibody.
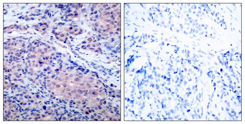
Immunohistochemical analysis of paraffin-embedded human breast carcinoma tissue using IkB-a Antibody(left) or the same antibody preincubated with blocking peptide(right).
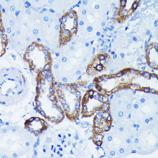
Immunohistochemical analysis of paraffin-embedded Human kidney tissue using IkB-a Antibody.
Immunohistochemical analysis of paraffin-embedded Rat kidney tissue using IkB-a Antibody.
Immunofluorescence staining of methanol-fixed Hela cells using IkB-a Antibody.
Immunofluorescence staining of methanol-fixed HepG2 cells using IkB-a Antibody.
Inhibits the activity of dimeric NF-kappa-B/REL complexes by trapping REL dimers in the cytoplasm through masking of their nuclear localization signals. On cellular stimulation by immune and proinflammatory responses, becomes phosphorylated promoting ubiquitination and degradation, enabling the dimeric RELA to tranlocate to the nucleus and activate transcription.

Mattioli I, et al. (2004)J Immunol; 172(10): 6336-44.
Courtois G, et al. (2003)J Clin Invest; 112(7): 1108-15.
Nair A, et al. (2003) Oncogene; 22(1): 50-8.
Fan C, et al. (2002)J Cell Sci; 115(Pt 24): 4843-53.
Schubert SY, et al. (2002)FASEB J; 16(14): 1931-3.

如果您使用该产品21122发表了文章,请通知我们,让我们可以引用您的文献。

et al,Astragalus polysaccharides exerts anti-infective activity by inducing human cathelicidin antimicrobial peptide LL-37 in respiratory epithelial cells.In Phytother Res. On 2018 Aug by Zhao L, Tan S et al..PMID: 29672953 , (2018),
PMID: 29672953
et al,Ajudecumin A from Ajuga ovalifolia var. calantha exhibits anti-inflammatory activity in lipopolysaccharide-activated RAW264.7 murine macrophages and animal models of acute inflammation.In Pharm Biol. On 2018 Dec by Zhang H, Ren QC et al..PMID: 31070535 , (2018),
PMID: 31070535
et al,HMGN2 regulates non-tuberculous mycobacteria survival via modulation of M1 macrophage polarization. In J Cell Mol Med on 2019 Dec by Wang X, Chen S, et al..PMID:31596045 , (2019),
PMID: 31596045
et al,Inhibitory effects of eugenol on RANKL-induced osteoclast formation via attenuation of NF-魏 B and MAPK pathways.In Connect Tissue Res on 2015 Jun by Vishwa Deepak , Abe Kasonga et al..PMID:25405641 , (2015),
PMID: 25405641
et al,The Effects of Xiangqing Anodyne Spray on treating acute soft-Tissue injury mainly depend on suppressing activations of AKT and p38 pathways.In Evid Based Complement Alternat Med on 2016 by Shudong Wang , Tao Li et al..PMID:27190541 , (2016),
PMID: 27190541
et al,Clonorchis sinensis ferritin heavy chain triggers free radicals and mediates inflammation signaling in human hepatic stellate cells.In Parasitol Res on 2015 Feb by Qiang Mao, Zhizhi Xie et al..PMID: 25413629 , (2015),
PMID: 25413629
et al,Perfluorocarbon Attenuates Lipopolysaccharide-Mediated Inflammatory Responses of Alveolar Epithelial Cells in Vitro.In Chin Med J (Engl) on 2011 Aug by Shu-Feng Xu, Ping Wang,et al..PMID:21933601 , (2011),
PMID: 21933601
查看更多
et al,Costunolide improved dextran sulfate sodium-induced acute ulcerative colitis in mice through NF-kB, STAT1/3, and Akt signaling pathways. In Int Immunopharmacol on 2020 Jul by Fan Xie, Hai Zhang, et al..PMID:32413737 , (2020),
PMID: 32413737
et al,Indirect effect of PM1 on endothelial cells via InducIng the release of respiratory Inflammatory cytokInes. In Toxicol In Vitro on 2019 Jun by Tian G, Wang J, et al..PMID: 30858030 , (2019),
PMID: 30858030
et al,Inhibition of TPL2 by interferon-α suppresses bladder cancer through activation of PDE4D.In J Exp Clin Cancer Res. On 2018 Nov 27 by Qiang Z, Zhou ZY et al..PMID: 30482227 , (2018),
PMID: 30482227
et al,Inhibitory activity of narirutin on RBL-2H3 cells degranulation , (2021),
PMID:

注释

应用

  • WB免疫印迹
  • IHC免疫组化
  • IF免疫荧光
  • ICC免疫细胞化学
  • FC流式细胞
  • IP免疫沉淀
  • E酶联免疫吸附法
  • DB免疫斑点法
  • ChIP染色质免疫沉淀
  • GICA胶体金免疫层析法
  • NC阴性对照

种属反应性

  • Hu
  • Ms小鼠
  • Rt大鼠
  • Dm果蝇
  • C线虫
  • Mk
  • Rb
  • B
  • D
  • P
  • Hm仓鼠
  • ChHm中国仓鼠
  • Chk
;

联系我们

Location :

南京市高新开发区星火路10号人才大厦C座

Phone :

400-9961-933
025-58868422

Email Address

info@sabbiotech.com