免费电话:400-9961-933
邮箱:info@sabbiotech.com
欢迎光临本站
川博智能体 English
位置: 首页 > 多克隆抗体 > Histone H3.1 Antibody

Histone H3.1 Antibody #21137

是否有货: 有货
产品详情

产品名称Histone H3.1 Antibody

来源种属Rabbit

克隆性Polyclonal

纯化Antibodies were produced by immunizing rabbits with synthetic peptide and KLH conjugates. Antibodies were purified by affinity-chromatography using epitope-specific peptide.

应用WB;IHC;IF

种属反应性Human;Mouse;Rat

特异性The antibody detects endogenous level of total Histone H3.1 protein.

免疫原类型Peptide-KLH

免疫原描述Peptide sequence around aa.8~12 (R-K-S-T-G) derived from Human Histone H3.1.

基因/蛋白名称Histone H3.1

标记Unconjugated

别名H3/a; H3/c; H3/d; H3/f; H3/h

数据库入口号Swiss-Prot: P68431
NCBI Protein: NP_003521.2

Uniprot P68431

计算分子量17kDa

实际分子量17kDa

浓度1.0mg/ml

配方Supplied at 1.0mg/mL in phosphate buffered saline (without Mg2+ and Ca2+), pH 7.4, 150mM NaCl, 0.02% sodium azide and 50% glycerol.

保存Store at -20°C for long term preservation (recommended). Store at 4°C for short term use.

应用详情
WB 1:500-1:2000; IHC 1:50-1:200; IF 1:50-1:200;
Western blot analysis of extracts from various cell lines using Histone H3.1 Antibody.
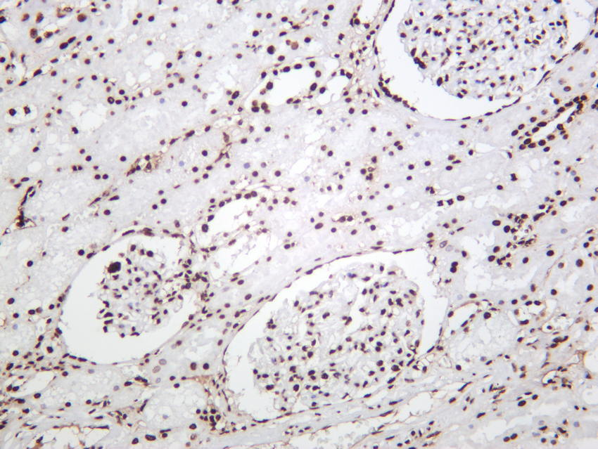
Immunohistochemical analysis of paraffin-embedded Human kidney tissue using Histone H3.1 Antibody.
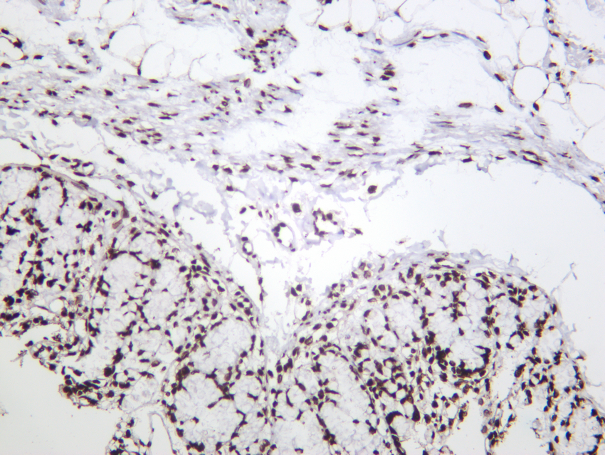
Immunohistochemical analysis of paraffin-embedded Rat colon tissue using Histone H3.1 Antibody.
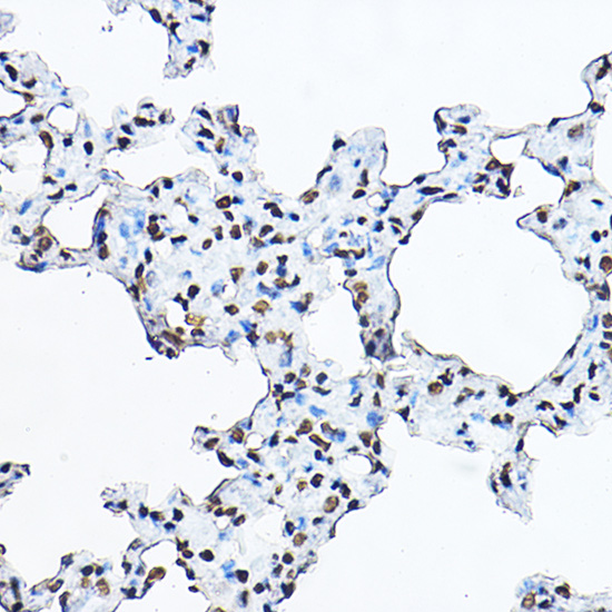
Immunohistochemical analysis of paraffin-embedded Rat lung tissue using Histone H3.1 Antibody.
Immunohistochemical analysis of paraffin-embedded Mouse kidney tissue using Histone H3.1 Antibody.
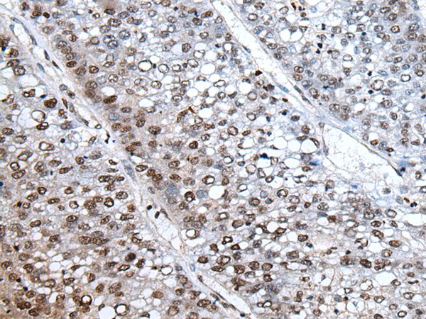
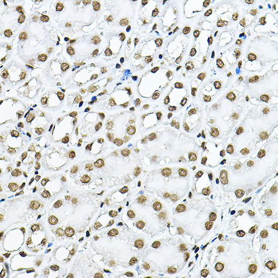
Immunohistochemical analysis of paraffin-embedded Human liver cancer tissue using Histone H3.1 Antibody.
Immunofluorescence staining of methanol-fixed Hela cells using Histone H3.1 Antibody.
Immunofluorescence analysis of paraffin-embedded mouse testis using Histone H3.1 Antibody at dilution of 1:200 (40x lens). Blue: DAPI for nuclear staining.
Immunofluorescence analysis of paraffin-embedded rat testis using Histone H3.1 Antibody at dilution of 1:200 (40x lens). Blue: DAPI for nuclear staining.
Immunofluorescence staining of methanol-fixed PC-3M cells using Histone H3 Antibody(green). The nuclear counter stain is DAPI (blue).

Core component of nucleosome. Nucleosomes wrap and compact DNA into chromatin, limiting DNA accessibility to the cellular machineries which require DNA as a template. Histones thereby play a central role in transcription regulation, DNA repair, DNA replication and chromosomal stability. DNA accessibility is regulated via a complex set of post-translational modifications of histones, also called histone code, and nucleosome remodeling.

Workman, J.L. and Kingston, R.E. (1998) Annu Rev Biochem 67, 545-79.
Hansen, J.C. et al. (1998) Biochemistry 37, 17637-41.
Strahl, B.D. and Allis, C.D. (2000) Nature 403, 41-5.
Cheung, P. et al. (2000) Cell 103, 263-71.

如果您使用该产品21137发表了文章,请通知我们,让我们可以引用您的文献。

et al,Decreased expression of profilin 2 in oral squamous cell carcinoma and its clinicopathological implications. , (2011),
PMID: 21725608
et al,Triptolide ameliorates Crohn's colitis is associated with inhibition of TLRs/NF-娄脢B signaling pathway , (2011),
PMID: 21376787
et al,FLASH Knockdown Sensitizes Cells To Fas-Mediated Apoptosis via Down-Regulation of the Anti-Apoptotic Proteins,MCL-1 and Cflip Short. , (2012),
PMID: 22427918
et al,CHP2 activates the calcineurin/NFAT signaling pathway and enhances the oncogenic potential of HEK293 cells , (2008),
PMID: 18815128
et al,Arctigenin Enhances Chemosensitivity of Cancer Cells to Cisplatin Through Inhibition of the STAT3 Signaling Pathway. , (2011),
PMID: 21608020
et al,Cancer Cells Phosphorylation of Both Proteins in Breast on Interacting with c-Fos and Hepatitis B X-interacting Protein Depends The Nuclear Import of Oncoprotein. , (2013),
PMID: 23667255
et al,Retinoic acid-induced CYP51 nuclear translocation promotes meiosis prophase I process and is correlated to the expression of REC8 and STAG3 in mice.In Biol Open. On 2018 Nov 12 et al..PMID: 30420384 , (2018),
PMID: 30420384
查看更多
et al,DNA?PKcs PARylation regulates DNA?PK kInase activity In the DNA damage response. In Mol Med Rep on 2019 Oct by Han Y, JIn F,et al..PMID:31485633 , (2019),
PMID: 31485633
et al,Short-chain fatty acids administration is protective in colitis-associated colorectal cancer development.In J Nutr Biochem. On 2018 Jul by Tian Y, Xu Q et al..PMID:29694938 , (2018),
PMID: 29694938
et al,Triptolide ameliorates Crohn's colitis is associated with inhibition of TLRs/NF-魏B signaling pathway.In Fitoterapia on 2011 Jun by Yu C, Shan T,et al..PMID:21376787 , (2011),
PMID: 21376787
et al,Magnesium deficiency promotes secretion of high-mobility group box 1 protein from lipopolysaccharide-activated macrophages in vitro.In J Surg Res on 2013 Apr by Liu Z, Chang Y,et al..PMID:22608546 , (2013),
PMID: 22608546
et al,Aberrant Hypermethylation and Reduced Expression of disabled-2 Promote the Development of Lung Cancers.In Int J Oncol on 2013 Nov by Xue-Mei Xie, Zi-Yin Zhang,et al..PMID:24002585 , (2013),
PMID: 24002585
et al,Resolvin D1 attenuates inflammation in lipopolysaccharide-induced acute lung injury through a process involving the PPAR纬/NF-魏B pathway.In Respir Res on 2012 Dec 2 by Liao Z, Dong J,et al..PMID:23199346 , (2012),
PMID: 23199346
et al,Quercetin Attenuates Airway Inflammation and Mucus Production Induced by Cigarette Smoke in Rats.In Int Immunopharmacol on 2012 May by Ting Yang, Feng Luo,et al..PMID:22465384 , (2012),
PMID: 22465384
et al,Arctigenin Enhances Chemosensitivity of Cancer Cells to Cisplatin Through Inhibition of the STAT3 Signaling Pathway.In J Cell Biochem on 2011 Oct by Xiangyang Yao, Fenfen Zhu, et al..PMID:21608020 , (2011),
PMID: 21608020
et al,Protective effects of Salvianolic acid B on Schwann cells apoptosis induced by high glucose. In Neurochem Res on 2012 May by Lian-Qing Sun, Jue Zhao, et al..PMID: 22252725 , (2012),
PMID: 22252725
et al,CHP2 activates the calcineurin/nuclear factor of activated T cells signaling pathway and enhances the oncogenic potential of HEK293 cells. In J Biol Chem on 2008 Nov 21 by Guo-Dong Li, Xi Zhang, et al..PMID:18815128 , (2008),
PMID: 18815128
et al,Inhibition of the JAK-STAT3 signaling pathway by ganoderic acid A enhances chemosensitivity of HepG2 cells to cisplatin. In Planta Med on 2012 Nov by Xiangyang Yao, Guilan Li, et al..PMID: 22961117 , (2012),
PMID: 22961117
et al,Sirt1 Attenuates Camptothecin-Induced Apoptosis Through caspase-3 Pathway in Porcine Preadipocytes. In Exp Cell Res on 2013 Mar 10 by Wei-jun Pang, Yan Xiong, et al..PMID: 23313858 , (2013),
PMID: 23313858
et al,FLASH knockdown sensitizes cells to Fas-mediated apoptosis via down-regulation of the anti-apoptotic proteins, MCL-1 and Cflip short . In PLoS One on 2012 by Song Chen, Hedeel Guy Evans, et al..PMID: 22427918 , (2012),
PMID: 22427918
et al,Decreased expression of profilin 2 in oral squamous cell carcinoma and its clinicopathological implications. In Oncol Rep on 2011 Oct by C Y Ma, C P Zhang, et al..PMID:21725608 , (2011),
PMID: 21725608
et al,Effects of Yishen Pinggan Recipe on Renal Protection and NF-魏B Signaling Pathway in Spontaneously Hypertensive Rats.In Evid Based Complement Alternat Med on 2016 by Guodong Luo , Xiying Zhu et al..PMID:27069492 , (2016),
PMID: 27069492
et al,Chinese medicine Bu Xu Hua Yu recipe for the regulation of Treg/Th17 ratio imbalance in autoimmune hepatitis.In Evid Based Complement Alternat Med on 2015 by Lei Wang, Huihui Du et al..PMID: 25977698 , (2015),
PMID: 25977698
et al,NF1, Sp1 and HSF1 are synergistically involved in sulfide-induced sqr activation in echiuran worm Urechis unicinctus.In Aquat Toxicol on 2016 Jun by Xiaolong Liu , Zhenkui Qin et al..PMID: 27070384 , (2016),
PMID: 27070384
et al,Guanylate Binding Protein 1-Mediated Interaction of T Cell Antigen Receptor Signaling with the Cytoskeleton , (2014),
PMID: 24337748

注释

应用

  • WB免疫印迹
  • IHC免疫组化
  • IF免疫荧光
  • ICC免疫细胞化学
  • FC流式细胞
  • IP免疫沉淀
  • E酶联免疫吸附法
  • DB免疫斑点法
  • ChIP染色质免疫沉淀
  • GICA胶体金免疫层析法
  • NC阴性对照

种属反应性

  • Hu
  • Ms小鼠
  • Rt大鼠
  • Dm果蝇
  • C线虫
  • Mk
  • Rb
  • B
  • D
  • P
  • Hm仓鼠
  • ChHm中国仓鼠
  • Chk
;

联系我们

Location :

南京市高新开发区星火路10号人才大厦C座

Phone :

400-9961-933
025-58868422

Email Address

info@sabbiotech.com