免费电话:400-9961-933
邮箱:info@sabbiotech.com
欢迎光临本站
川博智能体 English
位置: 首页 > 多克隆抗体 > HDAC5 Polyclonal Antibody

HDAC5 Polyclonal Antibody #21142

是否有货: 有货
产品详情

产品名称HDAC5 Polyclonal Antibody

来源种属Rabbit

克隆性Polyclonal

纯化Antibodies were produced by immunizing rabbits with synthetic peptide and KLH conjugates. Antibodies were purified by affinity-chromatography using epitope-specific peptide.

应用WB;IHC;IF;ELISA

种属反应性Human;Mouse;Rat

特异性The antibody detects endogenous level of total HDAC5 protein.

免疫原类型Peptide-KLH

免疫原描述Peptide sequence around aa.496~500 (T-Q-S-S-P) derived from Human HDAC5/7.

基因/蛋白名称HDAC5

标记Unconjugated

别名HD5

数据库入口号Swiss-Prot: Q9UQL6
NCBI Protein: NP_001015053.1

Uniprot Q9UQL6

计算分子量122kDa

实际分子量122-140kDa

浓度1.0mg/ml

配方Supplied at 1.0mg/mL in phosphate buffered saline (without Mg2+ and Ca2+), pH 7.4, 150mM NaCl, 0.02% sodium azide and 50% glycerol.

保存Store at -20°C for long term preservation (recommended). Store at 4°C for short term use.

应用详情
WB 1:500-1:2000; IHC 1:100-1:300; IF 1:200-1:1000; ELISA 1:20000
Western blot analysis of extracts from 293 and HepG2 cells using HDAC5 Antibody.
Immunohistochemical analysis of paraffin-embedded Human breast cancer tissue using HDAC5 Polyclonal Antibody(left) or the same antibody preincubated with blocking peptide(right).
Immunohistochemical analysis of paraffin-embedded Human breast carcinoma tissue using HDAC5 Polyclonal Antibody(left) or the same antibody preincubated with blocking peptide(right).
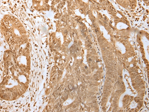
Immunohistochemical analysis of paraffin-embedded Human gastric cancer tissue using HDAC5 Polyclonal Antibody.
Immunohistochemical analysis of paraffin-embedded Human tonsil tissue using HDAC5 Polyclonal Antibody.
Immunofluorescence analysis of NIH/3T3 cells using HDAC5 Polyclonal Antibody. The picture on the right is blocked with the synthesized peptide.
Immunofluorescence analysis of A549 cells using HDAC5 Polyclonal Antibody. Blue: DAPI for nuclear staining.

Histones play a critical role in transcriptional regulation, cell cycle progression, and developmental events. Histone acetylation/deacetylation alters chromosome structure and affects transcription factor access to DNA. The protein encoded by HDAC5 belongs to the class II histone deacetylase/acuc/apha family. It possesses histone deacetylase activity and represses transcription when tethered to a promoter. It coimmunoprecipitates only with HDAC3 family member and might form multicomplex proteins. It also interacts with myocyte enhancer factor-2 (MEF2) proteins, resulting in repression of MEF2-dependent genes. This gene is thought to be associated with colon cancer. Two transcript variants encoding different isoforms have been found for this gene.

Doppler H, et al. (2005) J Biol Chem. 280(15):15013-15019.
McKinsey TA, et al. (2000) Nature. 408(6808): 106-111.

如果您使用该产品21142发表了文章,请通知我们,让我们可以引用您的文献。

et al,GIT1 mediates HDAC5 activation by angiotensin II in vascular smooth muscle cells. , (2008),
PMID: 18292392
et al,Fluid shear stress stimulates phosphorylation-dependent nuclear export of HDAC5 and mediates expression of KLF2 and eNOS.In Blood on 2010 Apr 8 by Weiye Wang, Chang Hoon Ha,et al..PMID:20042720 , (2010),
PMID: 20042720

注释

应用

  • WB免疫印迹
  • IHC免疫组化
  • IF免疫荧光
  • ICC免疫细胞化学
  • FC流式细胞
  • IP免疫沉淀
  • E酶联免疫吸附法
  • DB免疫斑点法
  • ChIP染色质免疫沉淀
  • GICA胶体金免疫层析法
  • NC阴性对照

种属反应性

  • Hu
  • Ms小鼠
  • Rt大鼠
  • Dm果蝇
  • C线虫
  • Mk
  • Rb
  • B
  • D
  • P
  • Hm仓鼠
  • ChHm中国仓鼠
  • Chk
;

联系我们

Location :

南京市高新开发区星火路10号人才大厦C座

Phone :

400-9961-933
025-58868422

Email Address

info@sabbiotech.com