免费电话:400-9961-933
邮箱:info@sabbiotech.com
欢迎光临本站
川博智能体 English
位置: 首页 > 多克隆抗体 > cdc25C Antibody

cdc25C Antibody #21145

是否有货: 有货
产品详情

产品名称cdc25C Antibody

来源种属Rabbit

克隆性Polyclonal

纯化Antibodies were produced by immunizing rabbits with synthetic peptide and KLH conjugates. Antibodies were purified by affinity-chromatography using epitope-specific peptide.

应用WB IHC IF

种属反应性Human

特异性The antibody detects endogenous level of total cdc25C protein.

免疫原类型Peptide-KLH

免疫原描述Peptide sequence around aa.214~218 (S-P-S-M-P) derived from Human cdc25C.

基因/蛋白名称cdc25C

标记Unconjugated

别名CDC25M1; MPIP3;

数据库入口号Swiss-Prot: P30307
NCBI Protein: NP_001781.2

Uniprot P30307

浓度1.0mg/ml

配方Supplied at 1.0mg/mL in phosphate buffered saline (without Mg2+ and Ca2+), pH 7.4, 150mM NaCl, 0.02% sodium azide and 50% glycerol.

保存Store at -20°C for long term preservation (recommended). Store at 4°C for short term use.

应用详情
Predicted MW: 60kd
Western blotting: 1:500~1:1000
Immunohistochemistry: 1:50~1:100
Immunofluorescence: 1:100~1:200
Western blot analysis of extracts from HT29 cells using cdc25C(Ab-216) Antibody #21145 and the same antibody preincubated with blocking peptide.
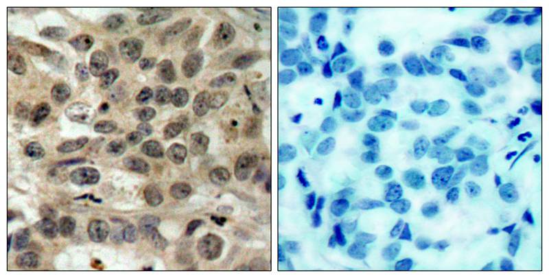
Immunohistochemical analysis of paraffin-embedded human breast carcinoma tissue using cdc25C(Ab-216) Antibody #21145(left) or the same antibody preincubated with blocking peptide(right).
Immunofluorescence staining of methanol-fixed Hela cells using cdc25C(Ab-216) Antibody #21145.
cdc25C is highly conserved during evolution and it plays a key role in the regulation of cell division. The encoded protein is a tyrosine phosphatase and belongs to the Cdc25 phosphatase family. It directs dephosphorylation of cyclin B-bound CDC2 and triggers entry into mitosis. It is also thought to suppress p53-induced growth arrest. Multiple alternatively spliced transcript variants of this gene have been described, however, the full-length nature of many of them is not known.

Toyoshima-Morimoto F. et al. (2002) EMBO Rep. 3(4): 341-348.
Ferguson AM. et al. (2005) Mol Cell Biol. 25(7): 2853-2860.
Donzelli M. et al. (2003) EMBO Rep. 4(7): 671-677.
Chen F. et al. (2002) Proc Natl Acad Sci U S A. 99(4): 1990-1995.

如果您使用该产品21145发表了文章,请通知我们,让我们可以引用您的文献。

et al,MEF2 is regulated by CaMKII未2 and a HDAC4鈥揌DAC5 heterodimer in vascular smooth muscle cells. In Biochem J on 2012 May 15 by Roman Ginnan, Li Yan Sun, et al..PMID:22360269 , (2012),
PMID: 22360269
et al,PKM2 dephosphorylation by Cdc25A promotes the Warburg effect and tumorigenesis.In Nat Commun on 2016 Aug 3 by Ji Liang , Ruixiu Cao et al..PMID: 27485204 , (2016),
PMID: 27485204
et al,LncCCAT1 interaction protein PKM2 upregulates SREBP2 phosphorylation to promote osteosarcoma tumorigenesis by enhancing the Warburg effect and lipogenesis. In Int J Oncol on 2022 Apr by Feifei Pu, Jianxiang Liu,et al..PMID:35244192 , (2022),
PMID: 35244192
et al,Quinolinone Derivatives Suppress Angiogenesis in Human Umbilical Vein Endothelial Cells by Blocking the VEGF‐Induced VEGFR2 Signaling Pathway , (2025),
PMID: 40590182

注释

应用

  • WB免疫印迹
  • IHC免疫组化
  • IF免疫荧光
  • ICC免疫细胞化学
  • FC流式细胞
  • IP免疫沉淀
  • E酶联免疫吸附法
  • DB免疫斑点法
  • ChIP染色质免疫沉淀
  • GICA胶体金免疫层析法
  • NC阴性对照

种属反应性

  • Hu
  • Ms小鼠
  • Rt大鼠
  • Dm果蝇
  • C线虫
  • Mk
  • Rb
  • B
  • D
  • P
  • Hm仓鼠
  • ChHm中国仓鼠
  • Chk
;

联系我们

Location :

南京市高新开发区星火路10号人才大厦C座

Phone :

400-9961-933
025-58868422

Email Address

info@sabbiotech.com