免费电话:400-9961-933
邮箱:info@sabbiotech.com
欢迎光临本站
川博智能体 English
位置: 首页 > 多克隆抗体 > FAK Antibody

FAK Antibody #21148

是否有货: 有货
产品详情

产品名称FAK Antibody

来源种属Rabbit

克隆性Polyclonal

纯化Antibodies were produced by immunizing rabbits with synthetic peptide and KLH conjugates. Antibodies were purified by affinity-chromatography using epitope-specific peptide.

应用WB;IHC;IF

种属反应性Human;Mouse;Rat

特异性The antibody detects endogenous level of total FAK protein.

免疫原类型Peptide-KLH

免疫原描述Peptide sequence around aa.923~927 (K-V-Y-E-N) derived from Human FAK.

基因/蛋白名称FAK

标记Unconjugated

别名FADK 1; FAK1; PTK2

数据库入口号Swiss-Prot: Q05397
NCBI Protein: NP_005598.3

Uniprot Q05397

计算分子量119kDa

实际分子量125kDa

浓度1.0mg/ml

配方Supplied at 1.0mg/mL in phosphate buffered saline (without Mg2+ and Ca2+), pH 7.4, 150mM NaCl, 0.02% sodium azide and 50% glycerol.

保存Store at -20°C for long term preservation (recommended). Store at 4°C for short term use.

应用详情
WB 1:500-1:2000; IHC 1:50-1:200; IF 1:50-1:200;
Western blot analysis of extracts from Rat brain, MCF7 and Hela cells using FAK Antibody.
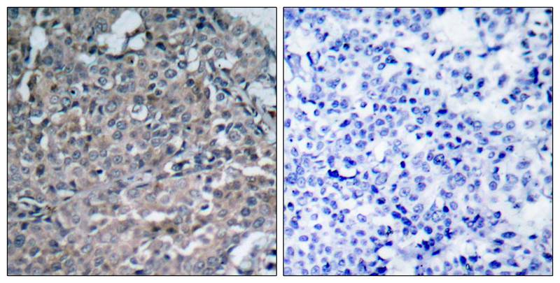
Immunohistochemical analysis of paraffin-embedded human breast carcinoma tissue using FAK Antibody(left) or the same antibody preincubated with blocking peptide(right).
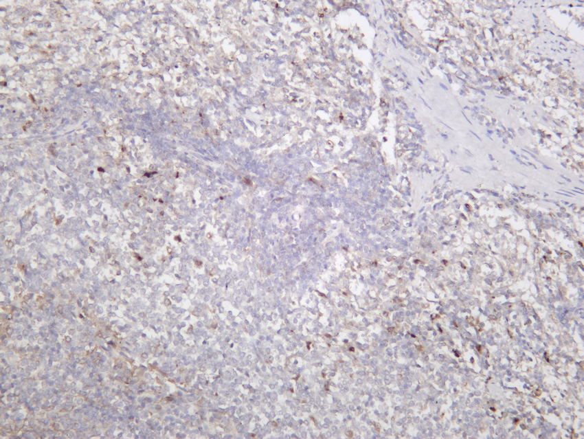
Immunohistochemical analysis of paraffin-embedded human lung carcinoma tissue using FAK Antibody(left) or the same antibody preincubated with blocking peptide(right).
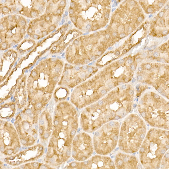
Immunohistochemistry analysis of paraffin-embedded Rat kidney using FAK Antibody at dilution of 1:50 (40x lens).
Immunohistochemistry analysis of paraffin-embedded Rat spleen using FAK Antibody.
Immunofluorescence staining of methanol-fixed Hela cells using FAK Antibody.
Immunofluorescence staining of methanol-fixed HEK293 cells using FAK Antibody.
Immunofluorescence analysis of RAW264.7 cells using FAK antibody at dilution of 1:100. Blue: DAPI for nuclear staining.
Non-receptor protein-tyrosine kinase implicated in signaling pathways involved in cell motility, proliferation and apoptosis. Activated by tyrosine-phosphorylation in response to either integrin clustering induced by cell adhesion or antibody cross-linking, or via G-protein coupled receptor (GPCR) occupancy by ligands such as bombesin or lysophosphatidic acid, or via LDL receptor occupancy. Plays a potential role in oncogenic transformations resulting in increased kinase activity.

Sanders MA, et al. (2005) J Biol Chem; 280(25): 23516-22.
Cherubini A, et al. (2005) Mol Biol Cell; 16(6): 2972-83.
Toriumi Y, et al. (2003) FEBS Lett; 553(3): 419-22.
Shi Q, et al. (2003) Mol Biol Cell; 14(10): 4306-15.

如果您使用该产品21148发表了文章,请通知我们,让我们可以引用您的文献。

et al,PTBP3 contributes to the metastasis of gastric cancer by mediating CAV1 alternative splicing.In Cell Death Dis.On 2018 May 1 by PMID: 29752441 , (2018),
PMID: 29752441
et al,Lipid raft regulates the initial spreading of melanoma A375 cells by modulating 尾1 integrin clustering. In Int J Biochem Cell Biol on 2013 Aug by Ruifei Wang, Jiajia Bi,et al..PMID: 23665237 , (2013),
PMID: 23665237
et al,FOXQ1 Promotes Cancer Metastasis by PI3K/AKT Signaling Regulation in Colorectal Carcinoma.In Am J Transl Res on 2017 May 15 by Jia Yun Liu, Xiao Yu Wu,et al..PMID: 28559972 , (2017),
PMID: 28559972
et al,RGD and (−)-epigallocatechin-3-gallate modification enhanced biostability, bioactive and biofunctionality of acellular porcine cornea stroma crosslinked with oxidized dextran , (2024),
PMID:
et al,Effect of cell culture density on dental pulp-derived mesenchymal stem cells with reference to osteogenic differentiation. In Sci Rep on 2019 Apr 1 by Sonoko Noda, Nobuyuki Kawashima, et al..PMID: 30931957 , (2019),
PMID: 30931957
et al,Long non-codIng RNA PVT1 promotes tumor progression by regulatIng the miR-143/HK2 axis In gallbladder cancer.In Mol Cancer on 2019 Mar 2 by Chen J, Yu Y, et al.. PMID: 30825877 , (2019),
PMID: 30931957
et al,Luteolin reduces the invasive potential of malignant melanoma cells by targeting 尾3 integrin and the epithelial-mesenchymal transition.In Acta Pharmacol Sin on 2012 Oct by Ruan JS, Liu YP,et al..PMID:22983392 , (2012),
PMID: 22983392
查看更多
et al,Inhibition of hypoxia-induced epithelial mesenchymal transition by luteolin in non-small cell lung cancer cells. In Mol Med Rep on 2012 Jul by Junshan Ruan, Lei Zhang, et al..PMID: 22552526 , (2012),
PMID: 22552526
et al,Anticancer Effect of Heparin-Taurocholate Conjugate on Orthotopically Induced Exocrine and Endocrine Pancreatic Cancer , (2021),
PMID: 34830928

注释

应用

  • WB免疫印迹
  • IHC免疫组化
  • IF免疫荧光
  • ICC免疫细胞化学
  • FC流式细胞
  • IP免疫沉淀
  • E酶联免疫吸附法
  • DB免疫斑点法
  • ChIP染色质免疫沉淀
  • GICA胶体金免疫层析法
  • NC阴性对照

种属反应性

  • Hu
  • Ms小鼠
  • Rt大鼠
  • Dm果蝇
  • C线虫
  • Mk
  • Rb
  • B
  • D
  • P
  • Hm仓鼠
  • ChHm中国仓鼠
  • Chk
;

联系我们

Location :

南京市高新开发区星火路10号人才大厦C座

Phone :

400-9961-933
025-58868422

Email Address

info@sabbiotech.com