免费电话:400-9961-933
邮箱:info@sabbiotech.com
欢迎光临本站
川博智能体 English
位置: 首页 > 多克隆抗体 > p27Kip1 Antibody

p27Kip1 Antibody #21150

是否有货: 有货
产品详情

产品名称p27Kip1 Antibody

来源种属Rabbit

克隆性Polyclonal

纯化Antibodies were produced by immunizing rabbits with synthetic peptide and KLH conjugates. Antibodies were purified by affinity-chromatography using epitope-specific peptide.

应用WB IHC

种属反应性Human;Mouse;Rat

特异性The antibody detects endogenous level of total p27Kip1 protein.

免疫原类型Peptide-KLH

免疫原描述Peptide sequence around aa.8~12 (N-G-S-P-S) derived from Human p27Kip1.

基因/蛋白名称p27Kip1

标记Unconjugated

别名CDKN1B; CDN1B; Cyclin-dependent kinase inhibitor 1B; Cyclin-dependent kinase inhibitor p27; KIP1

数据库入口号Swiss-Prot: P46527
NCBI Protein: NP_004055.1

Uniprot P46527

浓度1.0mg/ml

配方Supplied at 1.0mg/mL in phosphate buffered saline (without Mg2+ and Ca2+), pH 7.4, 150mM NaCl, 0.02% sodium azide and 50% glycerol.

保存Store at -20°C for long term preservation (recommended). Store at 4°C for short term use.

应用详情

Predicted MW: 27kd
Western blotting: 1:500~1:1000
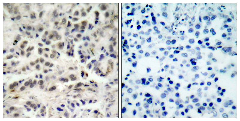
Immunohistochemistry: 1:50~1:100

Western blot analysis of extracts from A2780 cells using p27Kip1(Ab-10) Antibody
Immunohistochemical analysis of paraffin-embedded human lung carcinoma tissue using p27Kip1(Ab-10) Antibody

Important regulator of cell cycle progression. Involved in G1 arrest. Potent inhibitor of cyclin E- and cyclin A-CDK2 complexes. Positive regulator of cyclin D-dependent kinases such as CDK4. Regulated by phosphorylation and degradation events.

Le XF, et al. (2003)J Biol Chem.
Connor MK, et al. (2003)Mol Biol Cell; 14(1): 201-13.
McAllister SS, et al. (2003) Mol Cell Biol; 23(1): 216-28.
Chopra S, et al. (2002)J Biol Chem; 277(36): 32413-6.
Boehm M, et al. (2002)EMBO J; 21(13): 3390-401.

如果您使用该产品21150发表了文章,请通知我们,让我们可以引用您的文献。

et al,Cloning and Characterization of a Novel Intracellular Protein p48.2 that Negatively Regulates Cell Cycle Progression. , (2009),
PMID: 19427400

注释

应用

  • WB免疫印迹
  • IHC免疫组化
  • IF免疫荧光
  • ICC免疫细胞化学
  • FC流式细胞
  • IP免疫沉淀
  • E酶联免疫吸附法
  • DB免疫斑点法
  • ChIP染色质免疫沉淀
  • GICA胶体金免疫层析法
  • NC阴性对照

种属反应性

  • Hu
  • Ms小鼠
  • Rt大鼠
  • Dm果蝇
  • C线虫
  • Mk
  • Rb
  • B
  • D
  • P
  • Hm仓鼠
  • ChHm中国仓鼠
  • Chk
;

联系我们

Location :

南京市高新开发区星火路10号人才大厦C座

Phone :

400-9961-933
025-58868422

Email Address

info@sabbiotech.com