免费电话:400-9961-933
邮箱:info@sabbiotech.com
欢迎光临本站
川博智能体 English
位置: 首页 > 多克隆抗体 > MKK6 Antibody

MKK6 Antibody #21153

是否有货: 有货
产品详情

产品名称MKK6 Antibody

来源种属Rabbit

克隆性Polyclonal

纯化Antibodies were produced by immunizing rabbits with synthetic peptide and KLH conjugates. Antibodies were purified by affinity-chromatography using epitope-specific peptide.

应用WB IHC IF

种属反应性Human;Mouse;Rat

特异性The antibody detects endogenous level of total MKK6 protein.

免疫原类型Peptide-KLH

免疫原描述Peptide sequence around aa.205~209 (V-D-S-V-A) derived from Human MKK6.

基因/蛋白名称MKK6

标记Unconjugated

别名MAP kinase kinase 6; MAP2K6; MAPK/ERK kinase 6; MAPKK 6; MEK6

数据库入口号Swiss-Prot: P52564
NCBI Protein: NP_002749.2

Uniprot P52564

浓度1.0mg/ml

配方Supplied at 1.0mg/mL in phosphate buffered saline (without Mg2+ and Ca2+), pH 7.4, 150mM NaCl, 0.02% sodium azide and 50% glycerol.

保存Store at -20°C for long term preservation (recommended). Store at 4°C for short term use.

应用详情

Predicted MW: 41kd
Western blotting: 1:500~1:1000
Immunohistochemistry: 1:50~1:100
Immunofluorescence: 1:100~1:200

Western blot analysis of extracts from MDA, 293 and Hela cells using MKK6(Ab-207) Antibody #21153.
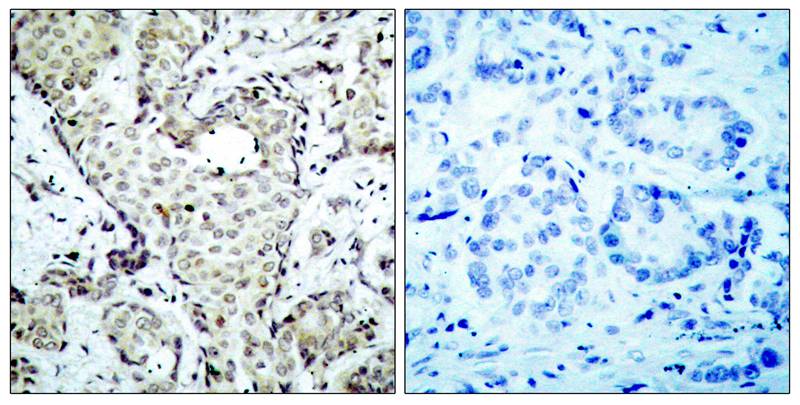
Immunohistochemical analysis of paraffin-embedded human breast carcinoma tissue using MKK6(Ab-207) Antibody #21153(left) or the same antibody preincubated with blocking peptide(right).
Immunofluorescence staining of methanol-fixed Hela cells using MKK6(Ab-207) Antibody #21153.

MEK6 is a member of MAPKK protein kinase family. By using degenerate oligonucleotide primers from the conserved kinase domains of MKK3 and MKK4 two human cDNAs and 1 murine cDNA encoding closely related proteins of the MKK family were cloned. The two human clones appear to be different isoforms of the same gene generated by differential splicing: the shorter clone was designated MKK6, encodes a 278-amino acid protein, while the longer clone, designated MKK6b, encodes a 334-amino acid protein. MKK6 is about 80% identical to MKK3 and 40% identical to MKK4. 1.7-kb human MKK6 transcript is highly expressed in skeletal muscle, while an MKK6b-specific probe detected mRNA bands of 1.8, 2.4, and 4.5 kb that are enriched in heart, skeletal muscle, pancreas and liver. MKK6 plays an important role in intracellular signaling pathways leading toward activation of the p38 MAP kinase . MEK6 phosphorylates and activates p38 in response to inflammatory cytokines or environmental stress. As an essential component of p38 MAPK mediated signal transduction pathway, this gene is involved in many cellular processes such as stress induced cell cycle arrest, transcription activation and apoptosis.

Wang W, et al. (2002) Mol Cell Biol ; 22(10): 3389-403.
Raingeaud J, et al. (1996) Mol Cell Biol; 16(3): 1247-55.

如果您使用该产品21153发表了文章,请通知我们,让我们可以引用您的文献。

et al,Suppression of phospho-p85α?CGTP-Rac1 lipid raft interaction by bichalcone analog attenuates cancer cell invasion. In Mol Carcinog on 2016 Dec by Hui-Li Lu, Shih-Shun Chen, et al..PMID: 26756739 , (2016),
PMID: 26756739

注释

应用

  • WB免疫印迹
  • IHC免疫组化
  • IF免疫荧光
  • ICC免疫细胞化学
  • FC流式细胞
  • IP免疫沉淀
  • E酶联免疫吸附法
  • DB免疫斑点法
  • ChIP染色质免疫沉淀
  • GICA胶体金免疫层析法
  • NC阴性对照

种属反应性

  • Hu
  • Ms小鼠
  • Rt大鼠
  • Dm果蝇
  • C线虫
  • Mk
  • Rb
  • B
  • D
  • P
  • Hm仓鼠
  • ChHm中国仓鼠
  • Chk
;

联系我们

Location :

南京市高新开发区星火路10号人才大厦C座

Phone :

400-9961-933
025-58868422

Email Address

info@sabbiotech.com