免费电话:400-9961-933
邮箱:info@sabbiotech.com
欢迎光临本站
川博智能体 English
位置: 首页 > 多克隆抗体 > PAK1 Polyclonal Antibody

PAK1 Polyclonal Antibody #21160

是否有货: 有货
产品详情

产品名称PAK1 Polyclonal Antibody

来源种属Rabbit

克隆性Polyclonal

纯化Antibodies were produced by immunizing rabbits with synthetic peptide and KLH conjugates. Antibodies were purified by affinity-chromatography using epitope-specific peptide.

应用WB;IHC;IF;ELISA

种属反应性Human;Mouse;Rat

特异性The antibody detects endogenous level of total PAK1protein.

免疫原类型Peptide-KLH

免疫原描述Peptide sequence around aa. 210~214 (P-V-T-P-T) derived from Human PAK1.

基因/蛋白名称PAK1

标记Unconjugated

别名p21-activated kinase 1

数据库入口号Swiss-Prot: Q13153
NCBI Protein: NP_001122092.1

Uniprot Q13153

计算分子量61kDa

实际分子量61-68kDa

浓度1.0mg/ml

配方Supplied at 1.0mg/mL in phosphate buffered saline (without Mg2+ and Ca2+), pH 7.4, 150mM NaCl, 0.02% sodium azide and 50% glycerol.

保存Store at -20°C for long term preservation (recommended). Store at 4°C for short term use.

应用详情
WB 1:500-1:2000; IHC 1:100-1:300; IF 1:100-1:300;ELISA 1:5000-1:20000;
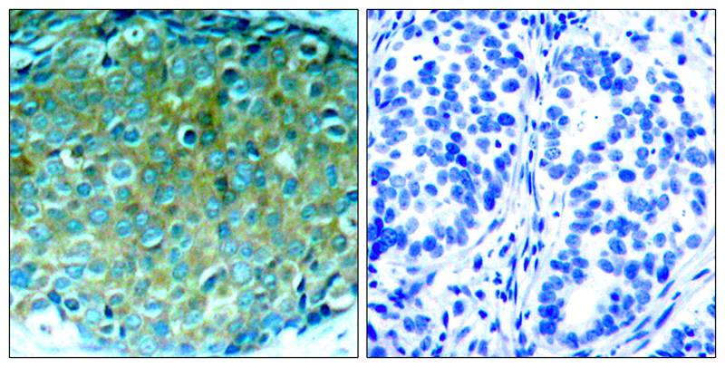
Immunohistochemical analysis of paraffin-embedded Human breast carcinoma tissue using PAK1 Polyclonal Antibody(left) or the same antibody preincubated with blocking peptide(right).
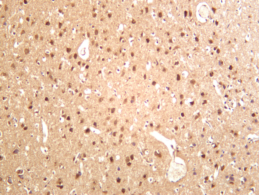
Immunohistochemistry analysis of paraffin-embedded Human brain tissue using PAK1 Polyclonal Antibody.
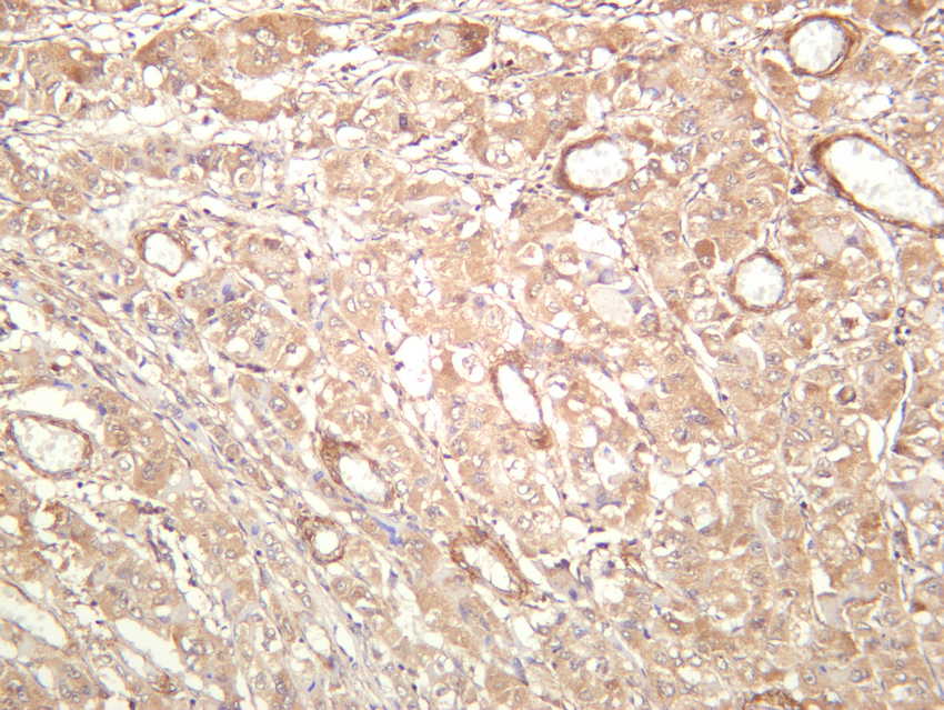
Immunohistochemistry analysis of paraffin-embedded Human hepatocellular carcinoma tissue using PAK1 Polyclonal Antibody.
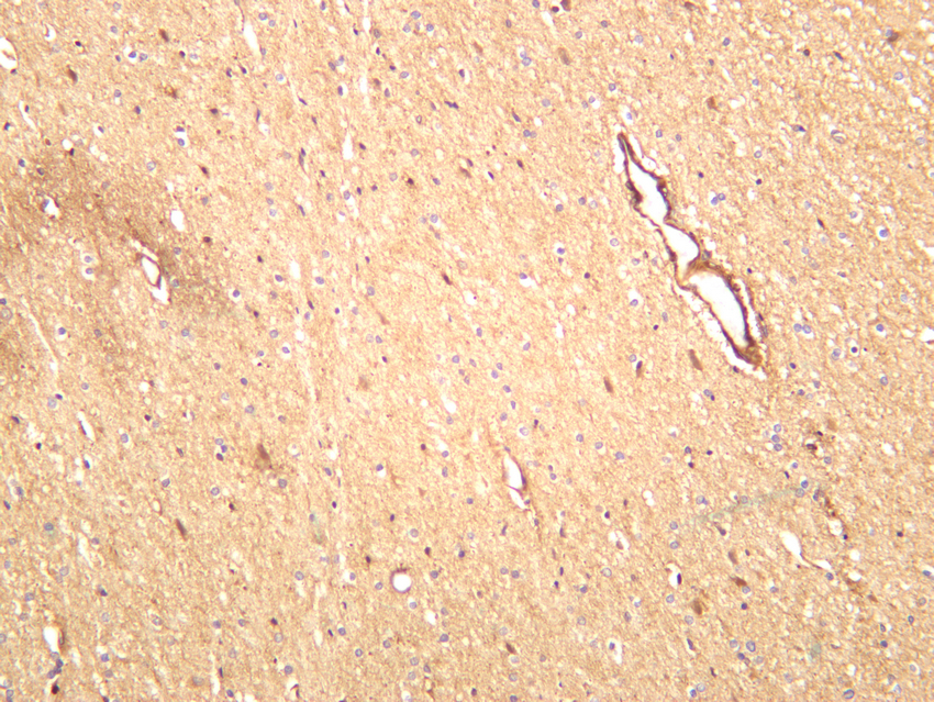
Immunohistochemistry analysis of paraffin-embedded Rat brain tissue using PAK1 Polyclonal Antibody.
Immunofluorescence staining of methanol-fixed Hela cells using PAK1 Polyclonal Antibody.DAPI for nuclear staining.
Immunofluorescence staining of methanol-fixed HEK293 cells using PAK1 Polyclonal Antibody.Picture A:Target (red). Picture B: DAPI (blue). Picture C: Merge of A+B
The activated kinase acts on a variety of targets. Likely to be the GTPase effector that links the Rho-related GTPases to the JNK MAP kinase pathway. Activated by CDC42 and RAC1. Involved in dissolution of stress fibers and reorganization of focal complexes. Involved in regulation of microtubule biogenesis through phosphorylation of TBCB. Activity is inhibited in cells undergoing apoptosis, potentially due to binding of CDC2L1 and CDC2L2.

Alexander K, et al. (2004) Mol Cell Biol; 24: 2808-2819
Thiel DA, et al. (2002) Curr Biol; 12:1227-1232
Rashid T, et al. (2001) J. Biol. Chem; 276: 49043 - 49052.

如果您使用该产品21160发表了文章,请通知我们,让我们可以引用您的文献。

et al,Phosphorylation of histone H3 on Ser10 by auto-phosphorylated PAK1 is not essential for chromatin condensation and meiotic progression in porcine oocytes , (2013),
PMID: 23521812
et al, PAK1 Regulates Spindle Microtubule Organization During Oocyte Meiotic Maturation.In Front Biosci (Elite Ed) on 2010 Jun 1 by Sheng-Li Lin , Shu-Tao Qi,et al..PMID: 20515799 , (2010),
PMID: 20515799
et al,Uptake of Shiga鈥恡oxigenic Escherichia coli鈥匰ubAB by HeLa cells requires an actin锟?and lipid raft鈥恉ependent pathway.In Cell Microbiol on 2014 Oct by Sayaka Nagasawa 1 , Kohei Ogura et al..PMID:24844382 , (2014),
PMID: 24844382
et al,PAK1 Is Involved in the Spindle Assembly during the First Meiotic Division in Porcine OocytesInInt J Mol SciOn2023 Jan 6byLei Peng?1,?Yijing He et al..PMID: 36674642 , (2023),
PMID: 36674642

注释

应用

  • WB免疫印迹
  • IHC免疫组化
  • IF免疫荧光
  • ICC免疫细胞化学
  • FC流式细胞
  • IP免疫沉淀
  • E酶联免疫吸附法
  • DB免疫斑点法
  • ChIP染色质免疫沉淀
  • GICA胶体金免疫层析法
  • NC阴性对照

种属反应性

  • Hu
  • Ms小鼠
  • Rt大鼠
  • Dm果蝇
  • C线虫
  • Mk
  • Rb
  • B
  • D
  • P
  • Hm仓鼠
  • ChHm中国仓鼠
  • Chk
;

联系我们

Location :

南京市高新开发区星火路10号人才大厦C座

Phone :

400-9961-933
025-58868422

Email Address

info@sabbiotech.com