免费电话:400-9961-933
邮箱:info@sabbiotech.com
欢迎光临本站
川博智能体 English
位置: 首页 > 多克隆抗体 > Src Antibody

Src Antibody #21168

是否有货: 有货
产品详情

产品名称Src Antibody

来源种属Rabbit

克隆性Polyclonal

纯化Antibodies were produced by immunizing rabbits with synthetic peptide and KLH conjugates. Antibodies were purified by affinity-chromatography using epitope-specific peptide.

应用WB IHC

种属反应性Human;Mouse;Rat

特异性The antibody detects endogenous level of total Src protein.

免疫原类型Peptide-KLH

免疫原描述Peptide sequence around aa. 527~531 (P-Q-Y-Q-P) derived from Human Src.

基因/蛋白名称Src

标记Unconjugated

别名C-SRC; SRC1;

数据库入口号Swiss-Prot: P12931
NCBI Protein: NP_005408.1

Uniprot P12931

浓度1.0mg/ml

配方Supplied at 1.0mg/mL in phosphate buffered saline (without Mg2+ and Ca2+), pH 7.4, 150mM NaCl, 0.02% sodium azide and 50% glycerol.

保存Store at -20°C for long term preservation (recommended). Store at 4°C for short term use.

应用详情

Predicted MW: 60kd
Western blotting: 1:500~1:1000
Immunohistochemistry: 1:50~1:100

Western blot analysis of extracts from HT29, Hela and MDA cells using Src(Ab-529) Antibody #21168.
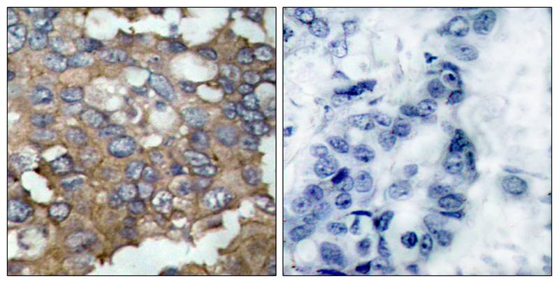
Immunohistochemical analysis of paraffin-embedded human breast carcinoma tissue using Src(Ab-529) Antibody #21168(left) or the same antibody preincubated with blocking peptide(right).
Western Blot analysis of Hela /293 cells using Src Polyclonal Antibody

proto-oncogenic cytoplasmic tyrosine kinase of the SRC family. Highly expressed in certain fully differentiated cells such as neurons, platelets and macrophages. Phosphorylation of an activation loop tyrosine activates the enzyme; phosphorylation of a tyrosine in the C-terminus by Csk inhibits the enzyme.

Pyper J.M., (1985) Mol. Cell. Biol. 5:831-838
Pyper J.M.(1990) Mol. Cell. Biol. 10:2035-2040
Xu W., (1997).Nature 385:595-602
Benes C.H., (2005) Cell 121:271-280

如果您使用该产品21168发表了文章,请通知我们,让我们可以引用您的文献。

et al,PTBP3 contributes to the metastasis of gastric cancer by mediating CAV1 alternative splicing.In Cell Death Dis.On 2018 May 1 by PMID: 29752441 , (2018),
PMID: 29752441
et al,A thiazole-derived oridonIn analogue exhibits antitumor activity by directly and allosterically InhibitIng STAT3. In J Biol Chem on 2019 Nov 15;by Shen X, Zhao L,et al..PMID:31594861 , (2019),
PMID: 31594861
et al,FAK phosphorylation by ERK primes ras-induced tyrosine dephosphorylation of FAK mediated by PIN1 and PTP-PEST. In Mol Cell on 2009 Jul 10 by Yanhua Zheng, Yan Xia, et al..PMID:19595712 , (2009),
PMID: 19595712
et al,HER2-targeted hybrid peptide that blocks HER2 tyrosine kinase disintegrates cancer cell membrane and inhibits tumor growth in vivo. In Mol Cancer Ther on 2013 Apr by Megumi Kawamoto, Tomohisa Horibe, et al..PMID:23358664 , (2013),
PMID: 23358664
et al,PKM2 dephosphorylation by Cdc25A promotes the Warburg effect and tumorigenesis.In Nat Commun on 2016 Aug 3 by Ji Liang , Ruixiu Cao et al..PMID: 27485204 , (2016),
PMID: 27485204
et al,Sodium Bicarbonate Facilitates Hemostasis in the Presence of Cerebrospinal Fluid Through Amplification of Platelet Aggregation. In Neurosurgery on 2016 Feb by Yukinori Kozuma, Tetsuya Yamamoto,et al..PMID: 26457486 , (2016),
PMID: 26457486

注释

应用

  • WB免疫印迹
  • IHC免疫组化
  • IF免疫荧光
  • ICC免疫细胞化学
  • FC流式细胞
  • IP免疫沉淀
  • E酶联免疫吸附法
  • DB免疫斑点法
  • ChIP染色质免疫沉淀
  • GICA胶体金免疫层析法
  • NC阴性对照

种属反应性

  • Hu
  • Ms小鼠
  • Rt大鼠
  • Dm果蝇
  • C线虫
  • Mk
  • Rb
  • B
  • D
  • P
  • Hm仓鼠
  • ChHm中国仓鼠
  • Chk
;

联系我们

Location :

南京市高新开发区星火路10号人才大厦C座

Phone :

400-9961-933
025-58868422

Email Address

info@sabbiotech.com