免费电话:400-9961-933
邮箱:info@sabbiotech.com
欢迎光临本站
川博智能体 English
位置: 首页 > 多克隆抗体 > STAT1 Antibody

STAT1 Antibody#21177

是否有货: 有货
产品详情

产品名称STAT1 Antibody

来源种属Rabbit

克隆性Polyclonal

纯化Antibodies were produced by immunizing rabbits with synthetic peptide and KLH conjugates. Antibodies were purified by affinity-chromatography using epitope-specific peptide.

应用WB IHC

种属反应性Human;Mouse

特异性The antibody detects endogenous level of total STAT1 protein.

免疫原类型Peptide-KLH

免疫原描述Peptide sequence around aa.725~729 (P-M-S-P-E) derived from Human STAT1.

基因/蛋白名称STAT1

标记Unconjugated

别名ISGF-3; STAT91;

数据库入口号Swiss-Prot: P42224
NCBI Protein: NP _009330.1

Uniprot P42224

浓度1.0mg/ml

配方Supplied at 1.0mg/mL in phosphate buffered saline (without Mg2+ and Ca2+), pH 7.4, 150mM NaCl, 0.02% sodium azide and 50% glycerol.

保存Store at -20°C for long term preservation (recommended). Store at 4°C for short term use.

应用详情
Predicted MW: 91kd
Western blotting: 1:500~1:1000
Immunohistochemistry: 1:50~1:100
Western blot analysis of extracts from MCF7 cells using STAT1(Ab-727) Antibody #21177 and the same antibody preincubated with blocking peptide.
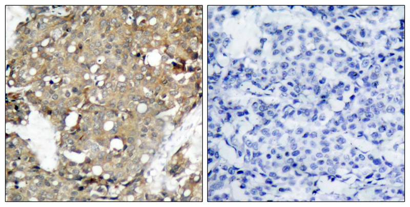
Immunohistochemical analysis of paraffin-embedded human breast carcinoma tissue using STAT1(Ab-727) Antibody #21177(left) or the same antibody preincubated with blocking peptide(right).
Signal transducer and activator of transcription that mediates signaling by interferons (IFNs). Following type I IFN (IFN-a and IFN-beta) binding to cell surface receptors, Jak kinases (TYK2 and JAK1) are activated, leading to tyrosine phosphorylation of STAT1 and STAT2. The phosphorylated STATs dimerize, associate with ISGF3G/IRF-9 to form a complex termed ISGF3 transcription factor, that enters the nucleus. ISGF3 binds to the IFN stimulated response element (ISRE) to activate the transcription of interferon stimulated genes, which drive the cell in an antiviral state. In response to type II IFN (IFN-gamma), STAT1 is tyrosine- and serine-phosphorylated. It then forms a homodimer termed IFN-gamma-activated factor (GAF), migrates into the nucleus and binds to the IFN gamma activated sequence (GAS) to drive the expression of the target genes, inducing a cellular antiviral state.

Yuan ZM, et al. (1999) Nature.399 (6738): 814-817.
Schindler C, et al. (1992) Proc. Natl. Acad. Sci. U.S.A 89:7836-7839.
Strausberg R.L (2002). Proc. Natl. Acad. Sci. U.S.A. 99:16899-16903.
Quelle F.W., (1995) J. Biol. Chem. 270:20775-20780.

如果您使用该产品21177发表了文章,请通知我们,让我们可以引用您的文献。

et al,A Guanidine-Rich Regulatory Oligodeoxynucleotide Improves type-2 Diabetes in Obese Mice by Blocking T-cell Differentiation. In EMBO Mol Med on 2012 Oct by Xiang Cheng, Jing Wang, et al..PMID:23027613 , (2012),
PMID: 23027613

注释

应用

  • WB免疫印迹
  • IHC免疫组化
  • IF免疫荧光
  • ICC免疫细胞化学
  • FC流式细胞
  • IP免疫沉淀
  • E酶联免疫吸附法
  • DB免疫斑点法
  • ChIP染色质免疫沉淀
  • GICA胶体金免疫层析法
  • NC阴性对照

种属反应性

  • Hu
  • Ms小鼠
  • Rt大鼠
  • Dm果蝇
  • C线虫
  • Mk
  • Rb
  • B
  • D
  • P
  • Hm仓鼠
  • ChHm中国仓鼠
  • Chk
;

联系我们

Location :

南京市高新开发区星火路10号人才大厦C座

Phone :

400-9961-933
025-58868422

Email Address

info@sabbiotech.com