免费电话:400-9961-933
邮箱:info@sabbiotech.com
欢迎光临本站
川博智能体 English
位置: 首页 > 多克隆抗体 > AMPKα1/AMPKα2 Antibody

AMPKα1/AMPKα2 Antibody#21191

是否有货: 有货
产品详情

产品名称AMPKα1/AMPKα2 Antibody

来源种属Rabbit

克隆性Polyclonal

纯化Antibodies were produced by immunizing rabbits with synthetic peptide and KLH conjugates. Antibodies were purified by affinity-chromatography using epitope-specific peptide.

应用WB,IHC,IF,ELISA

种属反应性Human,Mouse,Rat,Monkey,Bovine,Fish

特异性The antibody detects endogenous level of total AMPKa1/AMPKa2 protein.

免疫原类型Peptide-KLH

免疫原描述Peptide sequence around aa. 181~185/170~174 (L-R-T-S-C) derived from Human AMPKα1/AMPKα2.

基因/蛋白名称AMPKa1/AMPKa2

标记Unconjugated

别名AMPK, AMPKa1

数据库入口号Swiss-Prot: Q13131
NCBI Protein: NP_006242.5 NP_006243.2

Uniprot Q13131

浓度1.0mg/ml

配方Supplied at 1.0mg/mL in phosphate buffered saline (without Mg2+ and Ca2+), pH 7.4, 150mM NaCl, 0.02% sodium azide and 50% glycerol.

保存Store at -20°C for long term preservation (recommended). Store at 4°C for short term use.

应用详情

Predicted MW: 63kd
Western blotting: 1:500~1:1000
Immunohistochemistry: 1:50~1:100
Immunofluorescence: 1:100~1:200

Western blot analysis of extracts from A549, HepG2 and 3T3 cells using AMPKα1/AMPKα2 (Ab-183/172) Antibody #21191.
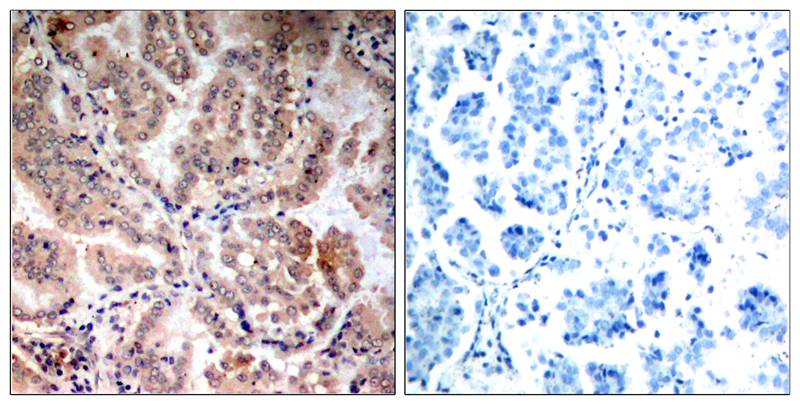
Immunohistochemical analysis of paraffin-embedded human breast carcinoma tissue using AMPKα1/AMPKα2 (Ab-183/172) Antibody #21191(left) or the same antibody preincubated with blocking peptide(right).
Immunofluorescence staining of methanol-fixed Hela cells using AMPKα1/AMPKα2 (Ab-183/172) Antibody #21191.

Responsible for the regulation of fatty acid synthesis by phosphorylation of acetyl-CoA carboxylase. It also regulates cholesterol synthesis via phosphorylation and inactivation of hormone-sensitive lipase and hydroxymethylglutaryl-CoA reductase. Appears to act as a metabolic stress-sensing protein kinase switching off biosynthetic pathways when cellular ATP levels are depleted and when 5'-AMP rises in response to fuel limitation and/or hypoxia. This is a catalytic subunit.

Hurley RL, et al. (2005) J Biol Chem. Aug 12; 280(32): 29060-29066
Woods A, et al. (2003) Curr Biol. Nov 11; 13(22): 2004-2008
Nielsen JN, et al. (2003) J Appl Physiol. Feb; 94(2): 631-641
Da Silva Xavier G, et al. (2000) Proc Natl Acad Sci U S A. Apr 11; 97(8): 4023-4028.

如果您使用该产品21191发表了文章,请通知我们,让我们可以引用您的文献。

et al,Gemcitabine induces apoptosis and autophagy via the AMPK/mTOR signaling pathway in pancreatic cancer cells,In Biotechnol Appl Biochem. On 2018 Sep by Zhu J, Chen Y et al..PMID: 29575133 , (2018),
PMID: 29575133
et al,Metformin attenuates the D?galactose?induced aging process via the UPR through the AMPK/ERK1/2 signaling pathways.In Int J Mol Med on 2020 Mar by Cai H, Han B et al..PMID: 31922237 , (2020),
PMID: 31922237
et al,The Role of Sodium Hydrosulfide in Attenuating the Aging Process via PI3K/AKT and CaMKK尾/AMPK Pathways.In Redox Biol on 2017 Aug by Xubo Chen ,Xueyan Zhao ,et al..PMID: 28499253 , (2017),
PMID: 28499253
et al,Hydrogen Sulphide Treatment Increases Insulin Sensitivity and Improves Oxidant Metabolism Through the CaMKKbeta-AMPK Pathway in PA-Induced IR C2C12 Cells.In Sci Rep on 2017 Oct 16 by Xubo Chen, Xueyan Zhao,et al..PMID:29038536 , (2017),
PMID: 29038536
et al,FSTL1 as a Potential Mediator of Exercise-Induced Cardioprotection in Post-Myocardial Infarction Rats.In Sci Rep on 2016 Aug 26 by Yue Xi, Da-Wei Gong et al..PMID: 27561749 , (2016),
PMID: 27561749
et al,Stanniocalcin-1 inhibits renal ischemia/reperfusion injury via an AMP-activated protein kinase-dependent pathway. In J Am Soc Nephrol on 2015 Feb by Luping Huang, Tatiana Belousova, et al..PMID: 25012175 , (2015),
PMID: 25012175

注释

应用

  • WB免疫印迹
  • IHC免疫组化
  • IF免疫荧光
  • ICC免疫细胞化学
  • FC流式细胞
  • IP免疫沉淀
  • E酶联免疫吸附法
  • DB免疫斑点法
  • ChIP染色质免疫沉淀
  • GICA胶体金免疫层析法
  • NC阴性对照

种属反应性

  • Hu
  • Ms小鼠
  • Rt大鼠
  • Dm果蝇
  • C线虫
  • Mk
  • Rb
  • B
  • D
  • P
  • Hm仓鼠
  • ChHm中国仓鼠
  • Chk
;

联系我们

Location :

南京市高新开发区星火路10号人才大厦C座

Phone :

400-9961-933
025-58868422

Email Address

info@sabbiotech.com