免费电话:400-9961-933
邮箱:info@sabbiotech.com
欢迎光临本站
川博智能体 English
位置: 首页 > 多克隆抗体 > b-Catenin Antibody

b-Catenin Antibody #21211

是否有货: 有货
产品详情

产品名称b-Catenin Antibody

来源种属Rabbit

克隆性Polyclonal

纯化Antibodies were produced by immunizing rabbits with synthetic peptide and KLH conjugates. Antibodies were purified by affinity-chromatography using epitope-specific peptide.

应用WB IHC IF

种属反应性Human;Mouse;Rat

特异性The antibody detects endogenous level of total b-Catenin protein.

免疫原类型Peptide-KLH

免疫原描述Peptide sequence around aa.31~35 (L-D-S-G-I) derived from Human b-Catenin.

基因/蛋白名称b-Catenin

标记Unconjugated

别名CTNNB1; CATNB; CTNB1; CTNNB;

数据库入口号Swiss-Prot: P35222
NCBI Protein: NP_001091679.1

Uniprot P35222

浓度1.0mg/ml

配方Supplied at 1.0mg/mL in phosphate buffered saline (without Mg2+ and Ca2+), pH 7.4, 150mM NaCl, 0.02% sodium azide and 50% glycerol.

保存Store at -20°C for long term preservation (recommended). Store at 4°C for short term use.

应用详情
Predicted MW: 92kd
Western blotting: 1:500~1:1000
Immunohistochemistry: 1:50~1:100
Immunofluorescence: 1:100~1:200
Western blot analysis of extracts from Hela and HT29 cells using b-Catenin(Ab-33) Antibody #21211.
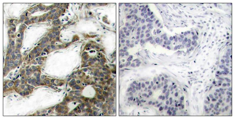
Immunohistochemical analysis of paraffin-embedded human breast carcinoma tissue using b-Catenin(Ab-33) Antibody #21211(left) or the same antibody preincubated with blocking peptide(right).
Immunofluorescence staining of methanol-fixed Hela cells using b-Catenin(Ab-33) Antibody #21211.
Involved in the regulation of cell adhesion and in signal transduction through the Wnt pathway.

如果您使用该产品21211发表了文章,请通知我们,让我们可以引用您的文献。

et al,Lipopolysaccharide-induced inhibition of connexin43 gap junction communication in astrocytes is mediated by downregulation of caveolin-3. , (2010),
PMID: 20093193
et al,Inactivation of PI3K/AKT signaling inhibits glioma cell growth through modulation of [beta]-catenin-mediated transcription. , (2010),
PMID: 20888802
et al,Inactivation of PI3K/AKT Signaling Inhibits Glioma Cell Growth Through Modulation of 尾-Catenin-Mediated Transcription.In Brain Res on 2010 Dec 17 by Yang Yang, Xiao Yue, et al..PMID:20888802 , (2010),
PMID: 20888802
et al,Urocortin Increased LPS-induced Endothelial Permeability by Regulating the Cadherin-Catenin Complex via Corticotrophin-Releasing Hormone Receptor 2.In J Cell Physiol on 2013 Jun by Rong Wan, Rui Guo,et al..PMID:23168683 , (2013),
PMID: 23168683
et al,Lipopolysaccharide-induced inhibition of connexin43 gap junction communication in astrocytes is mediated by downregulation of caveolin-3. In Int J Biochem Cell Biol on 2010 May by Chih-Kai Liao, Seu-Mei Wang, et al..PMID:20093193 , (2010),
PMID: 20093193
et al,Lysophosphatidic acid modulates the association of PTP1B with N鈥恈adherin/catenin complex in SKOV3 ovarian cancer cells. In Cell Biol Int on 2012 Sep by Ruby Yun-Ju Huang, Chen-Chen Wen, et al..PMID: 22582758 , (2012),
PMID: 22582758
et al,A proteomics analysis of rat liver membrane skeletons: the investigation of actin-and cytokeratin-based protein components. In J Proteome Res on 2010 Jan by Qingsong Wang, Jintang He, et al..PMID: 19354234 , (2010),
PMID: 19354234
查看更多
et al,Inactivation of PI3K/AKT signaling inhibits glioma cell growth through modulation of β-catenin-mediated transcription , (2010),
PMID: 20888802
et al,Role of glycosyltransferase PomGnT1 in glioblastoma progression.In Neuro Oncol on 2015 Feb by Jin Lan, Pin Guo et al..PMID: 25085363 , (2015),
PMID: 25085363
et al,PRIMA-1Met/APR-246 displays high antitumor activity in multiple myeloma by induction of p73 and Noxa. In Mol Cancer Ther on 2013 Nov by Hua Jiang, Yijun Yang, et al..PMID: 24030633 , (2013),
PMID: 24030633
et al,The pivotal role of SUMO-1-JNK-Tau axis in an in vitro model of oxidative stress counteracted by the protective effect of curcumin. In Biochem Pharmacol on 2020 Aug by Lucia Buccarello, Jessica Dragotto, et al..PMID:32502496 , (2020),
PMID: 32502496
et al,Differential apoptosis gene expressions of rhabdomyosarcoma cells in response to enterovirus 71 infection.In BMC Infect Dis on 2012 Nov 28 by Shi W, Li X,et al..PMID:23191987 , (2012),
PMID: 23191987

注释

应用

  • WB免疫印迹
  • IHC免疫组化
  • IF免疫荧光
  • ICC免疫细胞化学
  • FC流式细胞
  • IP免疫沉淀
  • E酶联免疫吸附法
  • DB免疫斑点法
  • ChIP染色质免疫沉淀
  • GICA胶体金免疫层析法
  • NC阴性对照

种属反应性

  • Hu
  • Ms小鼠
  • Rt大鼠
  • Dm果蝇
  • C线虫
  • Mk
  • Rb
  • B
  • D
  • P
  • Hm仓鼠
  • ChHm中国仓鼠
  • Chk
;

联系我们

Location :

南京市高新开发区星火路10号人才大厦C座

Phone :

400-9961-933
025-58868422

Email Address

info@sabbiotech.com