免费电话:400-9961-933
邮箱:info@sabbiotech.com
欢迎光临本站
川博智能体 English
位置: 首页 > 多克隆抗体 > b-Catenin Antibody

b-Catenin Antibody #21212

是否有货: 有货
产品详情

产品名称b-Catenin Antibody

来源种属Rabbit

克隆性Polyclonal

纯化Antibodies were produced by immunizing rabbits with synthetic peptide and KLH conjugates. Antibodies were purified by affinity-chromatography using epitope-specific peptide.

应用WB IHC IF

种属反应性Human;Mouse;Rat

特异性The antibody detects endogenous level of total b-Catenin protein.

免疫原类型Peptide-KLH

免疫原描述Peptide sequence around aa. 35~39 (I-H-S-G-A) derived from Human b-Catenin.

基因/蛋白名称b-Catenin

标记Unconjugated

别名CTNNB1; CATNB; CTNB1; CTNNB;

数据库入口号Swiss-Prot: P35222
NCBI Protein: NP_001091679.1

Uniprot P35222

浓度1.0mg/ml

配方Supplied at 1.0mg/mL in phosphate buffered saline (without Mg2+ and Ca2+), pH 7.4, 150mM NaCl, 0.02% sodium azide and 50% glycerol.

保存Store at -20°C for long term preservation (recommended). Store at 4°C for short term use.

应用详情
Predicted MW: 92kd
Western blotting: 1:500~1:1000
Immunohistochemistry: 1:50~1:100
Immunofluorescence: 1:100~1:200
Western blot analysis of extracts from HT29 and SKOV3 cells using b-Catenin(Ab-37) Antibody #21212.
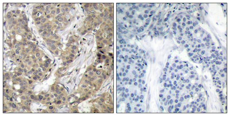
Immunohistochemical analysis of paraffin-embedded human breast carcinoma tissue using b-Catenin(Ab-37) Antibody #21212(left) or the same antibody preincubated with blocking peptide(right).
Immunofluorescence staining of methanol-fixed Hela cells using b-Catenin(Ab-37) Antibody #21212.
Involved in the regulation of cell adhesion and in signal transduction through the Wnt pathway.

如果您使用该产品21212发表了文章,请通知我们,让我们可以引用您的文献。

et al,Expression of β-catenin in regenerating renal tubules of cisplatin-induced kidney failure in rats .In Clin Exp Nephrol.On 2018 Dec by Terada N, Karim MR et al..PMID:29802483 , (2018),
PMID: 29802483
et al,A Study of the Relationship Between the Wnt/尾-catenin Signaling Pathway and the Gastrointestinal Development of Rat Embryonic and Perinatal Periods.In Exp Ther Med on 2013 Jun by Botao Wei, Yongsheng Guo, et al..PMID:23837038 , (2013),
PMID: 23837038
et al,PC锟?07, a celecoxib derivative, inhibited the growth of colorectal tumor in vitro and in vivo. In Cancer Sci on 2009 Dec by Yuhua Li, Yinbo Niu, et al..PMID: 19814734 , (2009),
PMID: 19814734
et al,Involvement of SET in the Wnt signaling pathway and the development of human colorectal cancer.In Oncol Lett.On 2014 Apr by LEI DONG, JIANJUN ZHU et al..PMID: 24944693 , (2014),
PMID: 24944693
et al,SDF-1/CXCR4 promotes F5M2 osteosarcoma cell migration by activating the Wnt/尾-catenin signaling pathway.In Med Oncol on 2015 Jul by Yao Lu, Bin Hu et al..PMID:26026718 , (2015),
PMID: 26026718
et al,A lentivirus-mediated miR-23b sponge diminishes the malignant phenotype of glioma cells in vitro and in vivo.In Oncol Rep on 2014 Apr Luyue Chen , Kailiang Zhang et al..PMID:24503899 , (2014),
PMID: 24503899
et al,Glycogen Phosphorylase B Is Regulated by miR101-3p and Promotes Hepatocellular Carcinoma Tumorigenesis. In Front Cell Dev Biol on 2020 Nov 25 by Guangying Cui, Huifen Wang, et al..PMID:33324633 , (2020),
PMID: 33324633

注释

应用

  • WB免疫印迹
  • IHC免疫组化
  • IF免疫荧光
  • ICC免疫细胞化学
  • FC流式细胞
  • IP免疫沉淀
  • E酶联免疫吸附法
  • DB免疫斑点法
  • ChIP染色质免疫沉淀
  • GICA胶体金免疫层析法
  • NC阴性对照

种属反应性

  • Hu
  • Ms小鼠
  • Rt大鼠
  • Dm果蝇
  • C线虫
  • Mk
  • Rb
  • B
  • D
  • P
  • Hm仓鼠
  • ChHm中国仓鼠
  • Chk
;

联系我们

Location :

南京市高新开发区星火路10号人才大厦C座

Phone :

400-9961-933
025-58868422

Email Address

info@sabbiotech.com