免费电话:400-9961-933
邮箱:info@sabbiotech.com
欢迎光临本站
川博智能体 English
位置: 首页 > 多克隆抗体 > 4E-BP1 Antibody

4E-BP1 Antibody #21216

是否有货: 有货
产品详情

产品名称4E-BP1 Antibody

来源种属Rabbit

克隆性Polyclonal

纯化Antibodies were produced by immunizing rabbits with synthetic peptide and KLH conjugates. Antibodies were purified by affinity-chromatography using epitope-specific peptide.

应用WB IHC IF

种属反应性Human;Mouse;Rat

特异性The antibody detects endogenous level of total 4E-BP1 protein.

免疫原类型Peptide-KLH

免疫原描述Peptide sequence around aa.44~48 (S-T-T-P-G) derived from Human 4E-BP1.

基因/蛋白名称4E-BP1

标记Unconjugated

别名EIF4EBP1; PHAS-1;

数据库入口号Swiss-Prot: Q13541
NCBI Protein: NP_004086.1

Uniprot Q13541

浓度1.0mg/ml

配方Supplied at 1.0mg/mL in phosphate buffered saline (without Mg2+ and Ca2+), pH 7.4, 150mM NaCl, 0.02% sodium azide and 50% glycerol.

保存Store at -20°C for long term preservation (recommended). Store at 4°C for short term use.

应用详情

Predicted MW: 18kd
Western blotting: 1:500~1:1000
Immunohistochemistry: 1:50~1:100
Immunofluorescence: 1:100~1:200

Western blot analysis of extracts from 293 and HepG2 cells using 4E-BP1 (Ab-46) Antibody #21216.
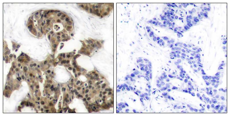
Immunohistochemical analysis of paraffin-embedded human breast carcinoma tissue using4E-BP1 (Ab-46) Antibody #21216(left) or the same antibody preincubated with blocking peptide(right).
Immunofluorescence staining of methanol-fixed Hela cells using 4E-BP1 (Ab-46) Antibody #21216.

4E-BP1 encodes one member of a family of translation repressor proteins. The protein directly interacts with eukaryotic translation initiation factor 4E (eIF4E), which is a limiting component of the multisubunit complex that recruits 40S ribosomal subunits to the 5' end of mRNAs. Interaction of this protein with eIF4E inhibits complex assembly and represses translation. This protein is phosphorylated in response to various signals including UV irradiation and insulin signaling, resulting in its dissociation from eIF4E and activation of mRNA translation.

Gingras AC, et al. (1998) Genes Dev 12(4): 502-513.
Brugarolas J, et al. (2004) Genes Dev 18(23): 2893-2904.
Kumar V, et al. (2000) EMBO J 19(5): 1087-1097.
Moody CA, et al. (2005) J Virol 79(9): 5499-5506.
Burnett PE, et al. (1998) Proc Natl Acad Sci U S A 95(4): 1432-1437.

如果您使用该产品21216发表了文章,请通知我们,让我们可以引用您的文献。

et al,The AMPK-dependent inhibition of autophagy plays a crucial role in protecting photoreceptor from photooxidative injury In J Photochem Photobiol B On2023 AugbyYu-Lin Li , Tian-Zi Zhang et al..PMID:37302163 , (2023),
PMID: 37302162

注释

应用

  • WB免疫印迹
  • IHC免疫组化
  • IF免疫荧光
  • ICC免疫细胞化学
  • FC流式细胞
  • IP免疫沉淀
  • E酶联免疫吸附法
  • DB免疫斑点法
  • ChIP染色质免疫沉淀
  • GICA胶体金免疫层析法
  • NC阴性对照

种属反应性

  • Hu
  • Ms小鼠
  • Rt大鼠
  • Dm果蝇
  • C线虫
  • Mk
  • Rb
  • B
  • D
  • P
  • Hm仓鼠
  • ChHm中国仓鼠
  • Chk
;

联系我们

Location :

南京市高新开发区星火路10号人才大厦C座

Phone :

400-9961-933
025-58868422

Email Address

info@sabbiotech.com