免费电话:400-9961-933
邮箱:info@sabbiotech.com
欢迎光临本站
川博智能体 English
位置: 首页 > 多克隆抗体 > IRS-1 Antibody

IRS-1 Antibody #21223

是否有货: 有货
产品详情

产品名称IRS-1 Antibody

来源种属Rabbit

克隆性Polyclonal

纯化Antibodies were produced by immunizing rabbits with synthetic peptide and KLH conjugates. Antibodies were purified by affinity-chromatography using epitope-specific peptide.

应用WB IHC IF

种属反应性Human;Mouse;Rat

特异性The antibody detects endogenous level of total IRS-1 protein.

免疫原类型Peptide-KLH

免疫原描述Peptide sequence around aa.634~638 (P-M-S-P-K) derived from Human IRS-1.

基因/蛋白名称IRS-1

标记Unconjugated

别名IRS-1; IRS1;

数据库入口号Swiss-Prot: P35568
NCBI Protein: NP_005535.1

Uniprot P35568

计算分子量132kDa

实际分子量180kDa

浓度1.0mg/ml

配方Supplied at 1.0mg/mL in phosphate buffered saline (without Mg2+ and Ca2+), pH 7.4, 150mM NaCl, 0.02% sodium azide and 50% glycerol.

保存Store at -20°C for long term preservation (recommended). Store at 4°C for short term use.

应用详情
WB 1:500-2000; IHC 1:50-300; IF 1:50-300;
Western blot analysis of extracts from 293 cells using IRS-1 Antibody.
Western blot analysis of extracts from HT29 and 3T3 cells using IRS-1 Antibody.
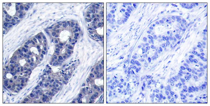
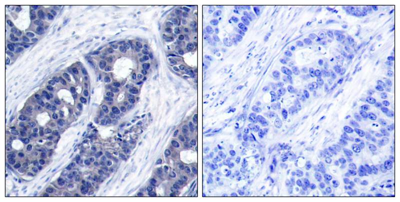
Immunohistochemical analysis of paraffin-embedded Human breast carcinoma tissue using IRS-1 Antibody(left) or the same antibody preincubated with blocking peptide(right).
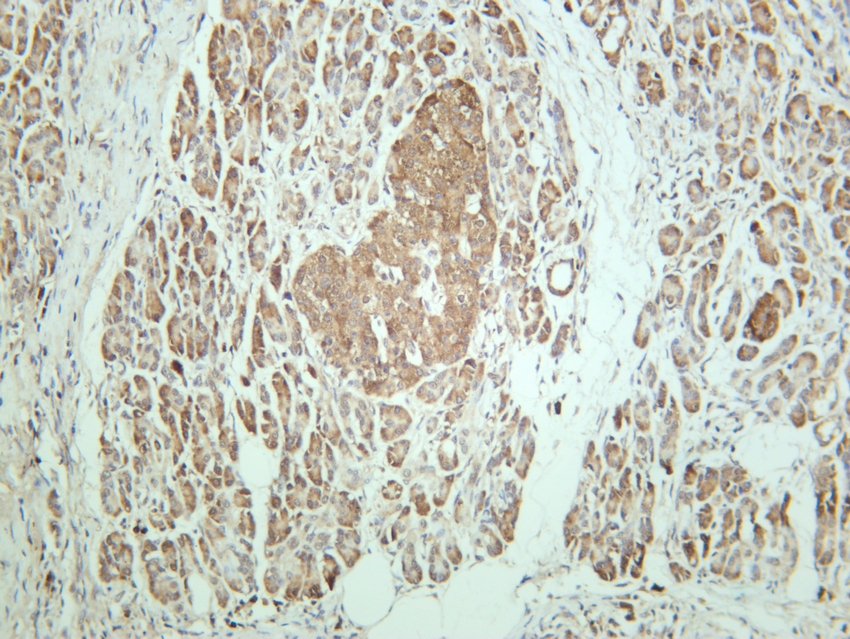
Immunohistochemical analysis of paraffin-embedded Rat pancreas tissue using IRS-1 Antibody.
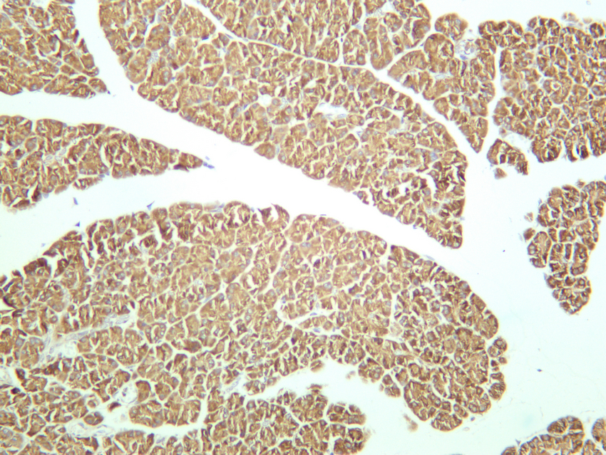
Immunohistochemical analysis of paraffin-embedded Human pancreas tissue using IRS-1 Antibody.
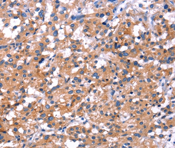
Immunohistochemical analysis of paraffin-embedded Human thyroid cancer tissue using IRS-1 Antibody.
Immunofluorescence staining of methanol-fixed Hela cells using IRS-1 Antibody.Blue: DAPI for nuclear staining.
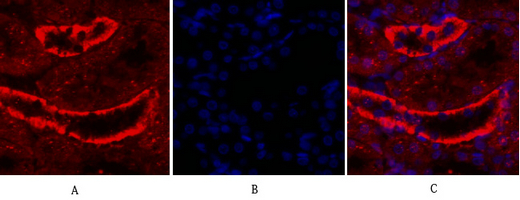
Immunofluorescence analysis of Rat kidney tissue using IRS-1 Antibody.Picture A: Target (red). Picture B: DAPI (blue). Picture C: Merge of A+B
Immunofluorescence analysis of Mouse lung tissue using IRS-1 Antibody.Picture A: Target (red). Picture B: DAPI (blue). Picture C: Merge of A+B
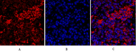
Immunofluorescence analysis of HEK293 cells using IRS-1 Antibody.Picture A: Target (red). Picture B: DAPI (blue). Picture C: Merge of A+B
May mediate the control of various cellular processes by insulin. When phosphorylated by the insulin receptor binds specifically to various cellular proteins containing SH2 domains such as phosphatidylinositol 3-kinase p85 subunit or GRB2. Activates phosphatidylinositol 3-kinase when bound to the regulatory p85 subunit

Ozes ON, et al. (2001) Proc Natl Acad Sci U S A; 98(8): 4640-4645
Tzatsos A, et al. (2006) Mol Cell Biol; 26(1): 63-76
Kadowaki T, et al. (2000) J Clin Invest; 106(4): 459-465
Ozes ON, et al. (2001) Proc Natl Acad Sci U S A; 98(8): 4640-4645
Szanto I, et al. (2000) Proc Natl Acad Sci U S A; 97(5): 2355-2360

如果您使用该产品21223发表了文章,请通知我们,让我们可以引用您的文献。

et al,The role of mitochondrial oxidative stress in the metabolic alterations in diet-induced obesity in rats. In FASEB J on 2019 Nov by Mar n-Royo G, Rodr guez C, et al..PMID:31370681 , (2019),
PMID: 31370681
et al,A Preliminary Investigation of the Mechanisms Underlying the Effect of Berberine in Preventing High-Fat Diet-Induced Insulin Resistance in Rats.In J Physiol Pharmacol on 2012 Oct by J-J Gu, F-Y Gao, et al..PMID:23211304 , (2012),
PMID: 23211304
et al,Metabolic inflammation exacerbates dopaminergic neuronal degeneration in response to acute MPTP challenge in type 2 diabetes mice.In Exp Neurol.On 2014 Jan by Wang L, Zhai YQ et al..PMID:24220636 , (2014),
PMID: 24220636
et al,Liraglutide Ameliorates HyperhomocysteInemia-Induced Alzheimer-Like Pathology and Memory Deficits in Rats via Multi-molecular TargetIng. In Neurosci Bull on 2019 Jan 10 by Zhang Y, Xie JZ, et al..PMID: 30632006 , (2019),
PMID: 30632006

注释

应用

  • WB免疫印迹
  • IHC免疫组化
  • IF免疫荧光
  • ICC免疫细胞化学
  • FC流式细胞
  • IP免疫沉淀
  • E酶联免疫吸附法
  • DB免疫斑点法
  • ChIP染色质免疫沉淀
  • GICA胶体金免疫层析法
  • NC阴性对照

种属反应性

  • Hu
  • Ms小鼠
  • Rt大鼠
  • Dm果蝇
  • C线虫
  • Mk
  • Rb
  • B
  • D
  • P
  • Hm仓鼠
  • ChHm中国仓鼠
  • Chk
;

联系我们

Location :

南京市高新开发区星火路10号人才大厦C座

Phone :

400-9961-933
025-58868422

Email Address

info@sabbiotech.com