免费电话:400-9961-933
邮箱:info@sabbiotech.com
欢迎光临本站
川博智能体 English
位置: 首页 > 多克隆抗体 > eIF4E Antibody

eIF4E Antibody #21226

是否有货: 有货
产品详情

产品名称eIF4E Antibody

来源种属Rabbit

克隆性Polyclonal

纯化Antibodies were produced by immunizing rabbits with synthetic peptide and KLH conjugates. Antibodies were purified by affinity-chromatography using epitope-specific peptide.

应用WB IHC IF

种属反应性Human;Mouse;Rat

特异性The antibody detects endogenous level of total elF4E protein.

免疫原类型Peptide-KLH

免疫原描述Peptide sequence around aa. 207~211 (S-G-S-T-T) derived from Human eIF4E.

基因/蛋白名称eIF4E

标记Unconjugated

别名mRNA cap-binding protein; eIF-4F 25 kDa subunit;

数据库入口号Swiss-Prot: P06730
NCBI Protein: NP_001124150.1

Uniprot P06730

浓度1.0mg/ml

配方Supplied at 1.0mg/mL in phosphate buffered saline (without Mg2+ and Ca2+), pH 7.4, 150mM NaCl, 0.02% sodium azide and 50% glycerol.

保存Store at -20°C for long term preservation (recommended). Store at 4°C for short term use.

应用详情
Predicted MW: 25kd
Western blotting: 1:500~1:1000
Immunohistochemistry: 1:50~1:100
Immunofluorescence: 1:100~1:200
Western blot analysis of extracts from Hela, HepG2 and 293 cells using eIF4E(Ab-209) Antibody #21226.
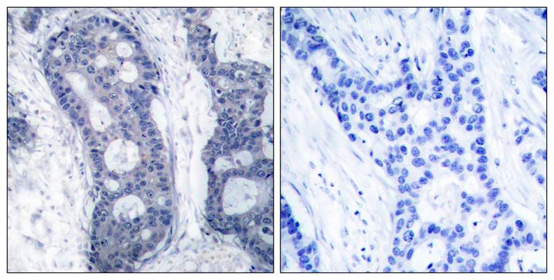
Immunohistochemical analysis of paraffin-embedded human breast carcinoma tissue using eIF4E(Ab-209) Antibody #21226(left) or the same antibody preincubated with blocking peptide(right).
Immunofluorescence staining of methanol-fixed Hela cells using eIF4E(Ab-209) Antibody #21226.
Recognizes and binds the 7-methylguanosine-containing mRNA cap during an early step in the initiation of protein synthesis and facilitates ribosome binding by inducing the unwinding of the mRNAs secondary structures.

Li BD, et al. (1998) Ann Surg; 227(5): 756-763
Altmann M, et al. (1989) Nucleic Acids Res; 17(18): 7520
De Gregorio E, et al. (2001) RNA; 7(1): 106-113
Gu W, et al. (2004) Nucleic Acids Res; 32(15): 4448-4461
Ohlmann T, et al. (1996) EMBO J; 15(6): 1371-1382

如果您使用该产品21226发表了文章,请通知我们,让我们可以引用您的文献。

et al,Conversion of Leucine to 尾-Hydroxy-尾-Methylbutyrate by 伪-Keto Isocaproate Dioxygenase Is Required for a Potent Stimulation of Protein Synthesis in L6 Rat Myotubes.In J Cachexia Sarcopenia Muscle on 2016 Mar by Mar铆a D Gir贸n , Jos茅 D V铆lchez et al..PMID:27065075 , (2016),
PMID: 27065075
et al,Activation of ERK by sodium tungstate induces protein synthesis and prevents protein degradation in rat L6 myotubes.In FEBS Lett on 2014 Jun 27 by Rafael Salto, Jos茅 D V铆lchez et al..PMID:24846141 , (2014),
PMID: 24846141
et al,Pyruvate Kinase M (PKM) binds ribosomes in a poly-ADP ribosylation dependent manner to induce translational stalling In Nucleic Acids Res On2023 Jul 7byNevraj S Kejiou , Lena Ilan et al..PMID:37224531 , (2023),
PMID: 37224531

注释

应用

  • WB免疫印迹
  • IHC免疫组化
  • IF免疫荧光
  • ICC免疫细胞化学
  • FC流式细胞
  • IP免疫沉淀
  • E酶联免疫吸附法
  • DB免疫斑点法
  • ChIP染色质免疫沉淀
  • GICA胶体金免疫层析法
  • NC阴性对照

种属反应性

  • Hu
  • Ms小鼠
  • Rt大鼠
  • Dm果蝇
  • C线虫
  • Mk
  • Rb
  • B
  • D
  • P
  • Hm仓鼠
  • ChHm中国仓鼠
  • Chk
;

联系我们

Location :

南京市高新开发区星火路10号人才大厦C座

Phone :

400-9961-933
025-58868422

Email Address

info@sabbiotech.com