免费电话:400-9961-933
邮箱:info@sabbiotech.com
欢迎光临本站
川博智能体 English
位置: 首页 > 多克隆抗体 > CDC2 Antibody

CDC2 Antibody #21236

是否有货: 有货
产品详情

产品名称CDC2 Antibody

来源种属Rabbit

克隆性Polyclonal

纯化Antibodies were produced by immunizing rabbits with synthetic peptide and KLH conjugates. Antibodies were purified by affinity-chromatography using epitope-specific peptide.

应用IF;WB;IHC;ELISA;

种属反应性Human;Mouse;Rat

特异性The antibody detects endogenous level of total CDC2 protein.

免疫原类型Peptide-KLH

免疫原描述Peptide sequence around aa. 13~17 (G-T-Y-G-V) derived from Human CDC2.

基因/蛋白名称CDC2

标记Unconjugated

别名CDC28; CDC2A; CDK1; Cyclin-dependent kinase 1;

数据库入口号Swiss-Prot: P06493
NCBI Protein: NP_001163877.1

Uniprot P06493

计算分子量34kDa

实际分子量34kDa

浓度1.0mg/ml

配方Supplied at 1.0mg/mL in phosphate buffered saline (without Mg2+ and Ca2+), pH 7.4, 150mM NaCl, 0.02% sodium azide and 50% glycerol.

保存Store at -20°C for long term preservation (recommended). Store at 4°C for short term use.

应用详情
WB 1:500-1:2000; IHC 1:50-1:200; IF 1:50-1:200; ELISA 1:2000
Western blot analysis of extracts from Hela and MCF cells using CDC2 Antibody
Western blot analysis of extracts from various cell lines using CDC2 Antibody
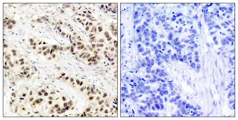
Immunohistochemical analysis of paraffin-embedded human breast carcinoma tissue using CDC2 Antibody(left) or the same antibody preincubated with blocking peptide(right).
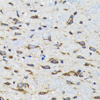
Immunohistochemistry analysis of paraffin-embedded Rat brain using CDC2 Antibody at dilution of 1:100 (40x lens).
Immunohistochemistry analysis of paraffin-embedded Mouse spinal cord using CDC2 Antibody at dilution of 1:100 (40x lens).
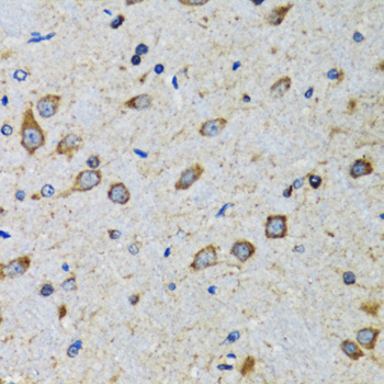
Immunohistochemistry analysis of paraffin-embedded Mouse brain using CDC2 Antibody at dilution of 1:100 (40x lens).
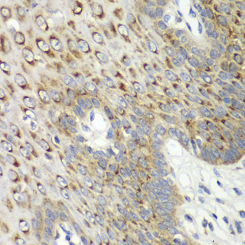
Immunohistochemistry analysis of paraffin-embedded Human esophagus using CDC2 Antibody at dilution of 1:100 (40x lens).
Immunofluorescence staining of methanol-fixed Hela cells using CDC2 Antibody.
Immunofluorescence analysis of A549 cell using CDC2 Antibody. Blue: DAPI for nuclear staining.
Immunofluorescence analysis of 293T cells using CDC2 Antibody at a dilution of 1:200 (40x lens).
Immunofluorescence analysis of Neuro-2a cells using CDC2 Antibody at a dilution of 1:200 (40x lens).

Plays a key role in the control of the eukaryotic cell cycle. It is required in higher cells for entry into S-phase and mitosis. p34 is a component of the kinase complex that phosphorylates the repetitive C-terminus of RNA polymerase II.

Y Gu, et al. (1992) EMBO J. 11(11): 3995

如果您使用该产品21236发表了文章,请通知我们,让我们可以引用您的文献。

et al,SUMOylation-regulated protein phosphorylation, evidence from quantitative phosphoproteomics analyses.In J Biol Chem on 2011 Aug 5 by Qi Yao, Hui Li,et al..PMID:21685386 , (2011),
PMID: 21685386
et al,Human cells enter mitosis with damaged DNA after treatment with pharmacological concentrations of genotoxic agents. In Biochem J on 2012 Sep 15 by Philip M Kubara, Sophie Kern茅is-Golsteyn, et al..PMID: 22686412 , (2012),
PMID: 22686412
et al,Pro-Apoptotic Effects of JDA-202, a Novel Natural Diterpenoid, on Esophageal Cancer Through Targeting Peroxiredoxin I.In Antioxid Redox Signal on 2017 Jul 10 by Xiao-Jing Shi , Lina Ding,et al..PMID: 27650197 , (2017),
PMID: 27650197
et al,Cytotoxic amounts of cisplatin induce either checkpoint adaptation or apoptosis in a concentration鈥恉ependent manner in cancer cells. In Biol Cell on 2016 May by Lucy H Swift, Roy M Golsteyn锛宔t al..PMID:26871414 , (2016),
PMID: 26871414
et al,Isolation of a natural product with anti-mitotic activity from a toxic Canadian prairie plant , (2021),
PMID: 34095597
et al,Sinularin induces oxidative stress鈥恗ediated G2/M arrest and apoptosis in oral cancer cells.In Environ Toxicol on 2017 Sep by Yung-Ting Chang , Chang-Yi Wu,et al..PMID:28548367 , (2017),
PMID: 28548367
et al,Jaridonin-induced G2/M Phase Arrest in Human Esophageal Cancer Cells Is Caused by Reactive Oxygen Species-Dependent Cdc2-tyr15 Phosphorylation via ATM-Chk1/2-Cdc25C Pathway .In Toxicol Appl Pharmacol on 2015 Jan 15 by Yong-Cheng Ma , Nan Su et al..PMID:25450480 , (2015),
PMID: 25450480
查看更多
et al,Quinolinone Derivatives Suppress Angiogenesis in Human Umbilical Vein Endothelial Cells by Blocking the VEGF‐Induced VEGFR2 Signaling Pathway , (2025),
PMID: 40590182

注释

应用

  • WB免疫印迹
  • IHC免疫组化
  • IF免疫荧光
  • ICC免疫细胞化学
  • FC流式细胞
  • IP免疫沉淀
  • E酶联免疫吸附法
  • DB免疫斑点法
  • ChIP染色质免疫沉淀
  • GICA胶体金免疫层析法
  • NC阴性对照

种属反应性

  • Hu
  • Ms小鼠
  • Rt大鼠
  • Dm果蝇
  • C线虫
  • Mk
  • Rb
  • B
  • D
  • P
  • Hm仓鼠
  • ChHm中国仓鼠
  • Chk
;

联系我们

Location :

南京市高新开发区星火路10号人才大厦C座

Phone :

400-9961-933
025-58868422

Email Address

info@sabbiotech.com