免费电话:400-9961-933
邮箱:info@sabbiotech.com
欢迎光临本站
川博智能体 English
位置: 首页 > 多克隆抗体 > SAPK/JNK Antibody

SAPK/JNK Antibody #21241

是否有货: 有货
产品详情

产品名称SAPK/JNK Antibody

来源种属Rabbit

克隆性Polyclonal

纯化Antibodies were produced by immunizing rabbits with synthetic peptide and KLH conjugates. Antibodies were purified by affinity-chromatography using epitope-specific peptide.

应用WB IHC

种属反应性Human;Mouse;Rat

特异性The antibody detects endogenous level of total SAPK/JNK protein.

免疫原类型Peptide-KLH

免疫原描述Peptide sequence around aa.181~185 (M-M-T-P-Y) derived from Human SAPK/JNK.

基因/蛋白名称SAPK/JNK

标记Unconjugated

别名JNK2

数据库入口号Swiss-Prot: P45984/P53779
NCBI Protein: NP_001128516.1

Uniprot P45984

浓度1.0mg/ml

配方Supplied at 1.0mg/mL in phosphate buffered saline (without Mg2+ and Ca2+), pH 7.4, 150mM NaCl, 0.02% sodium azide and 50% glycerol.

保存Store at -20°C for long term preservation (recommended). Store at 4°C for short term use.

应用详情
Predicted MW: 46 54 kd
Western blotting: 1:500~1:1000
Immunohistochemistry: 1:50~1:100
Western blot analysis of extracts from Hela and MCF cells using SAPK/JNK(Ab-183) Antibody #21241.
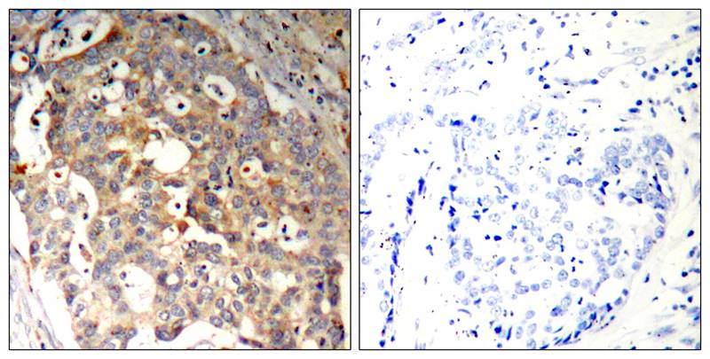
Immunohistochemical analysis of paraffin-embedded human breast carcinoma tissue using SAPK/JNK(Ab-183) Antibody #21241(left) or the same antibody preincubated with blocking peptide(right).
Responds to activation by environmental stress and pro-inflammatory cytokines by phosphorylating a number of transcription factors, primarily components of AP-1 such as c-Jun and ATF2 and thus regulates AP-1 transcriptional activity. In T-cells, JNK1 and JNK2 are required for polarized differentiation of T-helper cells into Th1 cells.

Ferrer, et al. (2003) Neuropathology & Applied Neurobiology 29: 23
Zhonghong Guan, et al. (1999) J Biol Chem, Vol. 274: 36200-36206
D.Margriet Ouwens1, et al. (2002)The EMBO Journal 21: 3782

如果您使用该产品21241发表了文章,请通知我们,让我们可以引用您的文献。

et al,Activation by phosphorylation and purification of human c-Jun N-terminal kinase (JNK) isoforms in milligram amounts. , (2011),
PMID: 20709173
et al,Astragaloside IV Inhibits Isoprenaline鈥慽nduced Cardiac Fibrosis by Targeting the Reactive Oxygen Species/Mitogen鈥慳ctivated Protein Kinase Signaling Axis.In Mol Med Rep on 2017 Apr by Hongliang Dai ,Guizhi Jia ,et al..PMID:28260010 , (2017),
PMID: 28260010

注释

应用

  • WB免疫印迹
  • IHC免疫组化
  • IF免疫荧光
  • ICC免疫细胞化学
  • FC流式细胞
  • IP免疫沉淀
  • E酶联免疫吸附法
  • DB免疫斑点法
  • ChIP染色质免疫沉淀
  • GICA胶体金免疫层析法
  • NC阴性对照

种属反应性

  • Hu
  • Ms小鼠
  • Rt大鼠
  • Dm果蝇
  • C线虫
  • Mk
  • Rb
  • B
  • D
  • P
  • Hm仓鼠
  • ChHm中国仓鼠
  • Chk
;

联系我们

Location :

南京市高新开发区星火路10号人才大厦C座

Phone :

400-9961-933
025-58868422

Email Address

info@sabbiotech.com