免费电话:400-9961-933
邮箱:info@sabbiotech.com
欢迎光临本站
川博智能体 English
位置: 首页 > 多克隆抗体 > Connexin 43 Antibody

Connexin 43 Antibody #21250

是否有货: 有货
产品详情

产品名称Connexin 43 Antibody

来源种属Rabbit

克隆性Polyclonal

纯化Antibodies were produced by immunizing rabbits with synthetic peptide and KLH conjugates. Antibodies were purified by affinity-chromatography using epitope-specific peptide.

应用WB IHC

种属反应性Human;Mouse;Rat

特异性The antibody detects endogenous level of total Connexin43 protein.

免疫原类型Peptide-KLH

免疫原描述Peptide sequence around aa. 366~370 (R-A-S-S-R) derived from Human Connexin 43.

基因/蛋白名称Connexin 43

标记Unconjugated

别名CX43; CXA1; CXN-43; Connexin 43; GJA1

数据库入口号Swiss-Prot: P17302
NCBI Protein: NP_000156.1

Uniprot P17302

浓度1.0mg/ml

配方Supplied at 1.0mg/mL in phosphate buffered saline (without Mg2+ and Ca2+), pH 7.4, 150mM NaCl, 0.02% sodium azide and 50% glycerol.

保存Store at -20°C for long term preservation (recommended). Store at 4°C for short term use.

应用详情

Predicted MW: 43kd
Western blotting: 1:500~1:1000
Immunohistochemistry: 1:50~1:100

Western blot analysis of extracts from HT29 and HepG2 cells using Connexin 43 (Ab-368) Antibody #21250.
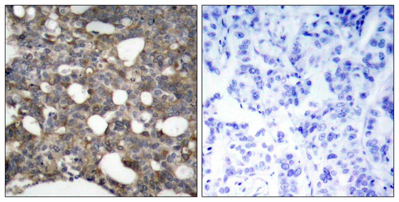
Immunohistochemical analysis of paraffin-embedded human breast carcinoma tissue using Connexin 43 (Ab-368) Antibody #21250(left) or the same antibody preincubated with blocking peptide(right).

One gap junction consists of a cluster of closely packed pairs of transmembrane channels, the connexons, through which materials of low MW diffuse from one cell to a neighboring cell. May play a critical role in the physiology of hearing by participating in the recycling of potassium to the cochlear endolymph.

Joell L. Solan1, et al. (2003) Cell Science 116: 2203-2211
Satoshi Matsushita, et al. (2006) Histochemistry and Cytochemistry 54 (3): 343-353,
Xiaoyong Bao, et al. (2004) Cell Physiol 286: C647-C654
W. E. I. Li, et al.(1998) European Journal of Neuroscience 10: 2444

如果您使用该产品21250发表了文章,请通知我们,让我们可以引用您的文献。

et al,The engineered thymidylate kinase (TMPK)/AZT enzyme-prodrug axis offers efficient bystander cell killing for suicide gene therapy of cancer. In PLoS One on 2013 Oct 23 by Takeya Sato, Anton Neschadim, et al..PMID:24194950 , (2013),
PMID: 24194950

注释

应用

  • WB免疫印迹
  • IHC免疫组化
  • IF免疫荧光
  • ICC免疫细胞化学
  • FC流式细胞
  • IP免疫沉淀
  • E酶联免疫吸附法
  • DB免疫斑点法
  • ChIP染色质免疫沉淀
  • GICA胶体金免疫层析法
  • NC阴性对照

种属反应性

  • Hu
  • Ms小鼠
  • Rt大鼠
  • Dm果蝇
  • C线虫
  • Mk
  • Rb
  • B
  • D
  • P
  • Hm仓鼠
  • ChHm中国仓鼠
  • Chk
;

联系我们

Location :

南京市高新开发区星火路10号人才大厦C座

Phone :

400-9961-933
025-58868422

Email Address

info@sabbiotech.com