免费电话:400-9961-933
邮箱:info@sabbiotech.com
欢迎光临本站
川博智能体 English
位置: 首页 > 多克隆抗体 > Histone H2A.X Polyclonal Antibody

Histone H2A.X Polyclonal Antibody #21260

是否有货: 有货
产品详情

产品名称Histone H2A.X Polyclonal Antibody

来源种属Rabbit

克隆性Polyclonal

纯化Antibodies were produced by immunizing rabbits with synthetic peptide and KLH conjugates. Antibodies were purified by affinity-chromatography using epitope-specific peptide.

应用WB;IHC;IF;CoIP;ELISA

种属反应性Human;Mouse;Rat

特异性The antibody detects endogenous level of total Histone H2A.X protein.

免疫原类型Peptide-KLH

免疫原描述Peptide sequence around aa.137~141 (Q-A-S-Q-E) derived from Human Histone H2A.X.

基因/蛋白名称Histone H2A.X

标记Unconjugated

别名H2A.X; H2AFX; H2a/x; HIST5-2AX;

数据库入口号Swiss-Prot: P16104
NCBI Protein: NP_002096.1

Uniprot P16104

计算分子量15kDa

实际分子量15-19kDa

浓度1.0mg/ml

配方Supplied at 1.0mg/mL in phosphate buffered saline (without Mg2+ and Ca2+), pH 7.4, 150mM NaCl, 0.02% sodium azide and 50% glycerol.

保存Store at -20°C for long term preservation (recommended). Store at 4°C for short term use.

应用详情
WB 1:500-1:2000; IHC 1:100-1:300; IF 1:200-1:1000; IP 1:200-500; ELISA 1:10000
Western blot analysis of extracts from HepG2 and 293 cells using Histone H2A.X Antibody.
Western blot analysis of extracts from various cell lines using Histone H2A.X Antibody.
Immunohistochemical analysis of paraffin-embedded Human uterus tissue using Histone H2A.X Polyclonal Antibody.Negative control was used by secondary antibody only.
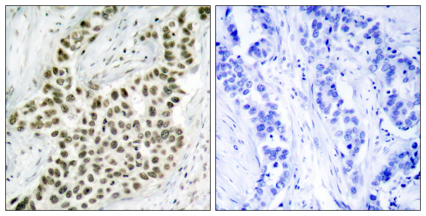
Immunohistochemistry analysis of paraffin-embedded Human breast carcinoma tissue using Histone H2A.X Polyclonal Antibody. The picture on the right is blocked with the synthesized peptide.
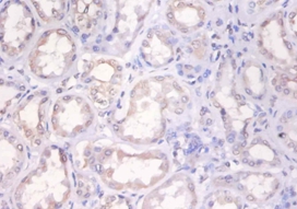
Immunohistochemical analysis of paraffin-embedded Human kidney tissue using Histone H2A.X Polyclonal Antibody.
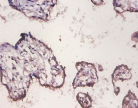
Immunohistochemical analysis of paraffin-embedded Human placenta tissue using Histone H2A.X Polyclonal Antibody.
Immunohistochemical analysis of paraffin-embedded Mouse testis tissue using Histone H2A.X Polyclonal Antibody.
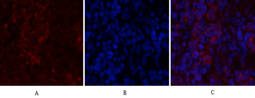
Immunofluorescence analysis of Rat lung tissue using Histone H2A.X Polyclonal Antibody.Picture A:Target. Picture B: DAPI. Picture C: merge of A+B
Immunofluorescence analysis of Rat spleen tissue using Histone H2A.X Polyclonal Antibody.Picture A:Target. Picture B: DAPI. Picture C: merge of A+B
Variant histone H2A which replaces conventional H2A in a subset of nucleosomes. Nucleosomes wrap and compact DNA into chromatin, limiting DNA accessibility to the cellular machineries which require DNA as a template. Histones thereby play a central role in transcription regulation, DNA repair, DNA replication and chromosomal stability. DNA accessibility is regulated via a complex set of post-translational modifications of histones, also called histone code, and nucleosome remodeling. Required for checkpoint-mediated arrest of cell cycle progression in response to low doses of ionizing radiation and for efficient repair of DNA double strand breaks (DSBs) specifically when modified by C-terminal phosphorylation

Yaneva M, et al. (2005) Nucleic Acids Res. 33(16): 5320-5330.
Tsukuda T, et al.(2006) Nature. Author manuscript; available in PMC 2006 March 6

如果您使用该产品21260发表了文章,请通知我们,让我们可以引用您的文献。

et al,Decreased nuclear expression and increased cytoplasmic expression of ING5 may be linked to tumorigenesis and progression in human head and neck squamous cell carcinoma , (2010),
PMID: 20182888
et al,H2AX: functional roles and potential applications. , (2009),
PMID: 19707781
et al,Up-regulation of NDRG2 through nuclear factor-kappa B is required for Leydig cell apoptosis in both human and murine infertile testes. , (2012),
PMID: 22138128
et al,Downregulation and translocation of nuclear ING4 is correlated with tumorigenesis and progression of head and neck squamous cell carcinoma. , (2011),
PMID: 21310648
et al,Apoptosis induced by trimethyltin chloride in human neuroblastoma cells SY5Y is regulated by a balance and cross-talk between NF-娄脢B and MAPKs signaling pathways , (2013),
PMID: 23423712
et al,PTEN expression in U251 glioma cells enhances their sensitivity to ionizing radiation by suppressing DNA repair capacity. In Eur Rev Med Pharmacol Sci on 2019 Dec by Li HL, Wang CY, et al..PMID:31841199 , (2019),
PMID: 31841199
et al,Nuclear Translocation of 尾-Catenin Is Essential for Glioma Cell Survival.In J Neuroimmune Pharmacol on 2012 Dec by Zhendong Shi , Xiaomin Qian, et al..PMID: , (2012),
PMID: 22415719
查看更多
et al,Cytoplasmic expression of p33ING1b is correlated with tumorigenesis and progression of head and neck squamous cell carcinoma. In Histol Histopathol on 2011 May by Xiao-Han Li, Akira Noguchi, et al..PMID: 21432775 , (2011),
PMID: 21432775
et al,Anti-inflammatory mechanism of taurine against ischemic stroke is related to down-regulation of PARP and NF-魏B. In Amino Acids on 2012 May by Ming Sun, Yumei Zhao, et al..PMID: 21409386 , (2012),
PMID: 21409386
et al,Extracts of Zuo Jin Wan, a Traditional Chinese Medicine, Phenocopies 5-HTR1D Antagonist in Attenuating Wnt/尾-catenin Signaling in Colorectal Cancer Cells.In BMC Complement Altern Med on 2017 Nov 28 by Jielu Pan, Yangxian Xu,et al..PMID: 29183322 , (2017),
PMID: 29183322
et al,N-Myc Downstream-Regulated Gene 2 (Ndrg2) Is Involved in Ischemia-Hypoxia-Induced Astrocyte Apoptosis: A Novel Target for Stroke Therapy.In Mol Neurobiol on 2017 Jul by Yu-Long Ma, Li-Xia Zhang,et al..PMID:27154863 , (2017),
PMID: 27154863
et al,BASI, A Potent Small Molecular Inhibitor, Inhibits Glioblastoma Progression by Targeting microRNA鈥恗ediated 尾鈥怌atenin Signaling.In CNS Neurosci Ther on 2014 Sep by Zhen-Dong Shi , Xiao-Min Qian et al..PMID: 24810017 , (2014),
PMID: 24810017
et al,ATR activated by EB virus facilitates chemotherapy resistance to cisplatin or 5-fluorouracil in human nasopharyngeal carcInoma. In Cancer Manag Res on 2019 Jan 9 by Zhang B, Cui B, et al..PMID:30666155 , (2019),
PMID: 30666155
et al,Carbocysteine restores steroid sensitivity by targeting histone deacetylase 2 in a thiol/GSH-dependent manner.In Pharmacol Res on 2015 Jan by Yun Song, Hao-Zhong Lu et al..PMID:25500537 , (2015),
PMID: 25500537

注释

应用

  • WB免疫印迹
  • IHC免疫组化
  • IF免疫荧光
  • ICC免疫细胞化学
  • FC流式细胞
  • IP免疫沉淀
  • E酶联免疫吸附法
  • DB免疫斑点法
  • ChIP染色质免疫沉淀
  • GICA胶体金免疫层析法
  • NC阴性对照

种属反应性

  • Hu
  • Ms小鼠
  • Rt大鼠
  • Dm果蝇
  • C线虫
  • Mk
  • Rb
  • B
  • D
  • P
  • Hm仓鼠
  • ChHm中国仓鼠
  • Chk
;

联系我们

Location :

南京市高新开发区星火路10号人才大厦C座

Phone :

400-9961-933
025-58868422

Email Address

info@sabbiotech.com