免费电话:400-9961-933
邮箱:info@sabbiotech.com
欢迎光临本站
川博智能体 English
位置: 首页 > 多克隆抗体 > Cortactin Antibody

Cortactin Antibody #21263

是否有货: 有货
产品详情

产品名称Cortactin Antibody

来源种属Rabbit

克隆性Polyclonal

纯化Antibodies were produced by immunizing rabbits with synthetic peptide and KLH conjugates. Antibodies were purified by affinity-chromatography using epitope-specific peptide.

应用IHC

种属反应性Human;Mouse

特异性The antibody detects endogenous level of total Cortactin protein.

免疫原类型Peptide-KLH

免疫原描述Peptide sequence around aa.419~423 (P-I-Y-E-D) derived from Human CORTACTIN.

基因/蛋白名称Cortactin

标记Unconjugated

别名Amplaxin; CTTN; EMS1; SRC8;

数据库入口号Swiss-Prot: Q14247
NCBI Protein: NP_005222.2

Uniprot Q14247

浓度1.0mg/ml

配方Supplied at 1.0mg/mL in phosphate buffered saline (without Mg2+ and Ca2+), pH 7.4, 150mM NaCl, 0.02% sodium azide and 50% glycerol.

保存Store at -20°C for long term preservation (recommended). Store at 4°C for short term use.

应用详情
Predicted MW: 85kd
Immunohistochemistry: 1:50~1:100
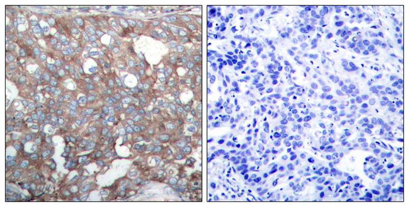
Immunohistochemical analysis of paraffin-embedded human breast carcinoma tissue using Cortactin(Ab-421) Antibody #21263(left) or the same antibody preincubated with blocking peptide(right).
Cortactin is overexpressed in breast cancer and squamous cell carcinomas of the head and neck. The encoded protein is localized in the cytoplasm and in areas of the cell-substratum contacts. This gene has two roles: (1) regulating the interactions between components of adherens-type junctions and (2) organizing the cytoskeleton and cell adhesion structures of epithelia and carcinoma cells. During apoptosis, the encoded protein is degraded in a caspase-dependent manner. The aberrant regulation of this gene contributes to tumor cell invasion and metastasis. Two splice variants that encode different isoforms have been identified for this gene.

Luo C, et al. (2006) J Biol Chem ; 281(40):30081-30093
Head JA, et al. (2003) Mol Biol Cell ;14(8):3216-3229
Salomon AR, et al. (2003) PNAS ; 100(2): 443-448
Huang C, et al. (1998) J Biol Chem ; 273(40): 25770-25776.

如果您使用该产品21263发表了文章,请通知我们,让我们可以引用您的文献。

et al,analysis: an analysis based on the European spontaneous adverse event reporting system , (2025),
PMID: 39877384

注释

应用

  • WB免疫印迹
  • IHC免疫组化
  • IF免疫荧光
  • ICC免疫细胞化学
  • FC流式细胞
  • IP免疫沉淀
  • E酶联免疫吸附法
  • DB免疫斑点法
  • ChIP染色质免疫沉淀
  • GICA胶体金免疫层析法
  • NC阴性对照

种属反应性

  • Hu
  • Ms小鼠
  • Rt大鼠
  • Dm果蝇
  • C线虫
  • Mk
  • Rb
  • B
  • D
  • P
  • Hm仓鼠
  • ChHm中国仓鼠
  • Chk
;

联系我们

Location :

南京市高新开发区星火路10号人才大厦C座

Phone :

400-9961-933
025-58868422

Email Address

info@sabbiotech.com