免费电话:400-9961-933
邮箱:info@sabbiotech.com
欢迎光临本站
川博智能体 English
位置: 首页 > 多克隆抗体 > PKR Antibody

PKR Antibody #21272

是否有货: 有货
产品详情

产品名称PKR Antibody

来源种属Rabbit

克隆性Polyclonal

纯化Antibodies were produced by immunizing rabbits with synthetic peptide and KLH conjugates. Antibodies were purified by affinity-chromatography using epitope-specific peptide.

应用WB IHC IF

种属反应性Human;Rat

特异性The antibody detects endogenous level of total PKR protein.

免疫原类型Peptide-KLH

免疫原描述Peptide sequence around aa.444~448 (K-R-T-R-S) derived from Human PKR.

基因/蛋白名称PKR

标记Unconjugated

别名ADRB2; E2AK2; EIF2AK2; EIF2aK; PRKR

数据库入口号Swiss-Prot: P19525
NCBI Protein: NP_001129123.1

Uniprot P19525

浓度1.0mg/ml

配方Supplied at 1.0mg/mL in phosphate buffered saline (without Mg2+ and Ca2+), pH 7.4, 150mM NaCl, 0.02% sodium azide and 50% glycerol.

保存Store at -20°C for long term preservation (recommended). Store at 4°C for short term use.

应用详情
Predicted MW: 68kd
Western blotting: 1:500~1:1000
Immunohistochemistry: 1:50~1:100
Immunofluorescence: 1:100~1:200
Western blot analysis of extracts from 293, Hela and C6 cells using PKR(Ab-446) Antibody #21272.
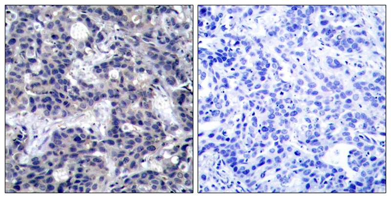
Immunohistochemical analysis of paraffin-embedded human breast carcinoma tissue using PKR(Ab-446) Antibody #21272(left) or the same antibody preincubated with blocking peptide(right).
Immunofluorescence staining of methanol-fixed Hela cells using PKR(Ab-446) Antibody #21272.
Following activation by double-stranded RNA in the presence of ATP, the kinase becomes autophosphorylated and can catalyze the phosphorylation of the translation initiation factor EIF2S1, which leads to an inhibition of the initiation of protein synthesis. Double-stranded RNA is generated during the course of a viral infection.

Abujiang Pataer, et,al. (2002) Cancer Res ; 62: 2239.
K. D. Ryman, et,al. (2005) J. Virol ; 79: 1487 - 1499.
Susana Guerra, et,al. (2006) J. Biol. Chem ; 281: 18734 - 18745.

如果您使用该产品21272发表了文章,请通知我们,让我们可以引用您的文献。

et al,Fluoxetine Inhibits NLRP3 Inflammasome Activation: Implication in Depression.In Int J Neuropsychopharmacol.On 2016 Sep 21 by Du RH, Tan J et al..PMID:27207922 , (2016),
PMID: 27207922

注释

应用

  • WB免疫印迹
  • IHC免疫组化
  • IF免疫荧光
  • ICC免疫细胞化学
  • FC流式细胞
  • IP免疫沉淀
  • E酶联免疫吸附法
  • DB免疫斑点法
  • ChIP染色质免疫沉淀
  • GICA胶体金免疫层析法
  • NC阴性对照

种属反应性

  • Hu
  • Ms小鼠
  • Rt大鼠
  • Dm果蝇
  • C线虫
  • Mk
  • Rb
  • B
  • D
  • P
  • Hm仓鼠
  • ChHm中国仓鼠
  • Chk
;

联系我们

Location :

南京市高新开发区星火路10号人才大厦C座

Phone :

400-9961-933
025-58868422

Email Address

info@sabbiotech.com