免费电话:400-9961-933
邮箱:info@sabbiotech.com
欢迎光临本站
川博智能体 English
位置: 首页 > 多克隆抗体 > p70 S6 Kinase Antibody

p70 S6 Kinase Antibody #21276

是否有货: 有货
产品详情

产品名称p70 S6 Kinase Antibody

来源种属Rabbit

克隆性Polyclonal

纯化Antibodies were produced by immunizing rabbits with synthetic peptide and KLH conjugates. Antibodies were purified by affinity-chromatography using epitope-specific peptide.

应用WB;IHC;IF

种属反应性Human;Mouse;Rat

特异性The antibody detects endogenous level of total p70 S6 Kinase protein.

免疫原类型Peptide-KLH

免疫原描述Peptide sequence around aa.422~426 (P-V-S-P-V) derived from Human p70S6k.

基因/蛋白名称p70 S6 Kinase

标记Unconjugated

别名KS6B1; P70-S6K; RPS6KB1; S6K;

数据库入口号Swiss-Prot: P23443
NCBI Protein: NP_003152.1

Uniprot P23443

计算分子量59kDa

实际分子量70,85kd

浓度1.0mg/ml

配方Supplied at 1.0mg/mL in phosphate buffered saline (without Mg2+ and Ca2+), pH 7.4, 150mM NaCl, 0.02% sodium azide and 50% glycerol.

保存Store at -20°C for long term preservation (recommended). Store at 4°C for short term use.

应用详情
WB 1:500-1:2000; IHC 1:50-1:200; IF 1:50-1:200;
Western blot analysis of extracts from 293 cells using p70 S6 Kinase Antibody.
Immunohistochemical analysis of paraffin-embedded human breast carcinoma tissue using p70 S6 Kinase Antibody(left) or the same antibody preincubated with blocking peptide(right).
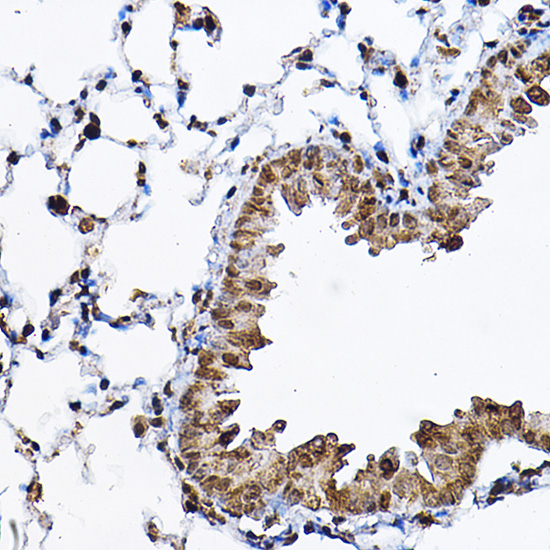
Immunohistochemistry of paraffin-embedded mouse lung using p70 S6 Kinase Antibody.
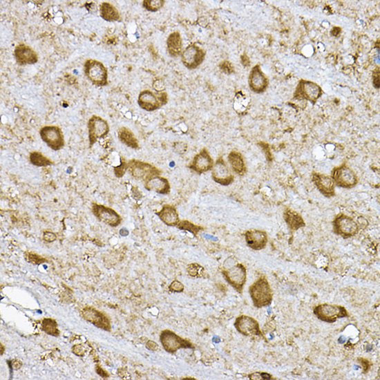
Immunohistochemistry of paraffin-embedded rat brain using p70 S6 Kinase Antibody.
Immunofluorescence staining of methanol-fixed Hela cells using p70 S6 Kinase Antibody.Blue: DAPI for nuclear staining.
Immunofluorescence staining of methanol-fixed Rat brain using p70 S6 Kinase Antibody.
Immunofluorescence staining of methanol-fixed HEK293 cells using p70 S6 Kinase Antibody(red).Picture A:Target. Picture B: DAPI (blue). Picture C: Merge of A+B.
Immunofluorescence analysis of U2OS cells using p70 S6 Kinase Antibody. Blue: DAPI for nuclear staining.

RPS6KB1 phosphorylates the Ribosomal Protein-S6. Activation of RPS6KB1 requires a complex, ordered series of conformational changes and phosphorylation reactions. While the role of sequential, multi-site phosphorylation has been extensively detailed, characterization of the priming step required to initiate this cascade has remained elusive. Probably this priming process is dependent on calcium. Calcium-dependent regulation of RPS6KB1 does not specifically target Thr-229 and Thr-389, the key regulatory phosphorylation sites; rather, calcium chelation results in a global inhibition of RPS6KB1 phosphorylation. The initial calcium-dependent process is required to release an inhibitory interaction between the C- and N-termini of RPS6KB1, thus allowing phosphorylation of key domains. The priming event involves formation of a calcium-dependent protein complex that releases the interaction between the N- and C-termini. RPS6KB1 is then accessible for activation by the kinases that target the known regulatory phosphorylation sites .

Satoru Eguchi et al. (1999) J Biol Chem, Vol. 274: 36843-36851
Papst PJ, et al. (1998) J Biol Chem. 273(24):15077-84.
Ulrike Krause et al. (2002) Eur. J. Biochem. 269: 3751-3759 c
Le, X.F, et al. (2003) Oncogene 22: 484

如果您使用该产品21276发表了文章,请通知我们,让我们可以引用您的文献。

et al,5-HT 2 receptor mediates high-fat diet-induced hepatic steatosis and very low density lipoprotein overproduction in rats.In Obes Res Clin Pract. On 2018 Jan - Feb by Li X, Guo K et al..PMID: 27133527 , (2018),
PMID: 27133527
et al,Effect of electrical stimulation combIned with diet therapy on InsulIn resistance via mTOR signalIng. In Mol Med Rep on 2019 Dec by Huang S, Tang N, et al..PMID:31702811 , (2019),
PMID: 31702811
et al,EBV-LMP1 Regulating AKT/mTOR Signaling Pathway and WWOX in Nasopharyngeal Carcinoma.In Int J Clin Exp Pathol on 2017 Aug 1 by Lingyan Qin, Xiaohong Li,et al..PMID: 31966718 , (2017),
PMID: 31966718
et al,Rapamycin enhances the anti-cancer effect of dasatinib by suppressing Src/PI3K/mTOR pathway in NSCLC cells. In PLoS One on 2015 Jun 10 by Bin Chen, Xin Xu,et al..PMID:26061184 , (2015),
PMID: 26061184
et al,Effective treatment with combination of peripheral 5鈥恏ydroxytryptamine synthetic inhibitor and 5鈥恏ydroxytryptamine 2 receptor antagonist on glucocorticoid鈥恑nduced whole鈥恇ody insulin resistance with hyperglycemia.In J Diabetes Investig on 2016 Nov by Shaoxin Ma , Tao Li et al..PMID:27177506 , (2016),
PMID: 27177506
et al,Long-term Stress with Hyperglucocorticoidemia-induced Hepatic Steatosis with VLDL Overproduction Is Dependent on both 5-HT2 Receptor and 5-HT Synthesis in Liver.In Int J Biol Sci on 2016 Jan 1 by Jihua Fu , Shaoxin Ma et al..PMID: 26884719 , (2016),
PMID: 26884719
et al,miR-223 reverses the resistance of EGFR-TKIs through IGF1R/PI3K/Akt signaling pathway.In Int J Oncol.On 2016 May by J Han, F Zhao et al..PMID: 26936292 , (2016),
PMID: 26936292

注释

应用

  • WB免疫印迹
  • IHC免疫组化
  • IF免疫荧光
  • ICC免疫细胞化学
  • FC流式细胞
  • IP免疫沉淀
  • E酶联免疫吸附法
  • DB免疫斑点法
  • ChIP染色质免疫沉淀
  • GICA胶体金免疫层析法
  • NC阴性对照

种属反应性

  • Hu
  • Ms小鼠
  • Rt大鼠
  • Dm果蝇
  • C线虫
  • Mk
  • Rb
  • B
  • D
  • P
  • Hm仓鼠
  • ChHm中国仓鼠
  • Chk
;

联系我们

Location :

南京市高新开发区星火路10号人才大厦C座

Phone :

400-9961-933
025-58868422

Email Address

info@sabbiotech.com