免费电话:400-9961-933
邮箱:info@sabbiotech.com
欢迎光临本站
川博智能体 English
位置: 首页 > 多克隆抗体 > NMDAR1 Antibody

NMDAR1 Antibody #21287

是否有货: 有货
产品详情

产品名称NMDAR1 Antibody

来源种属Rabbit

克隆性Polyclonal

纯化Antibodies were produced by immunizing rabbits with synthetic peptide and KLH conjugates. Antibodies were purified by affinity-chromatography using epitope-specific peptide.

应用IF

种属反应性Human;Mouse;Rat

特异性The antibody detects endogenous level of total NMDAR1 protein.

免疫原类型Peptide-KLH

免疫原描述Peptide sequence around aa.895~899 (R-S-S-K-D) derived from Human NMDAR1.

基因/蛋白名称NMDAR1

标记Unconjugated

别名GLURZ1; GRIN1; NMD-R1; NMDZ1; NMZ1

数据库入口号Swiss-Prot: Q05586
NCBI Protein: NP_000823.4

Uniprot Q05586

浓度1.0mg/ml

配方Supplied at 1.0mg/mL in phosphate buffered saline (without Mg2+ and Ca2+), pH 7.4, 150mM NaCl, 0.02% sodium azide and 50% glycerol.

保存Store at -20°C for long term preservation (recommended). Store at 4°C for short term use.

应用详情
Predicted MW: 120kd
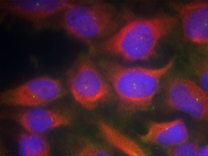
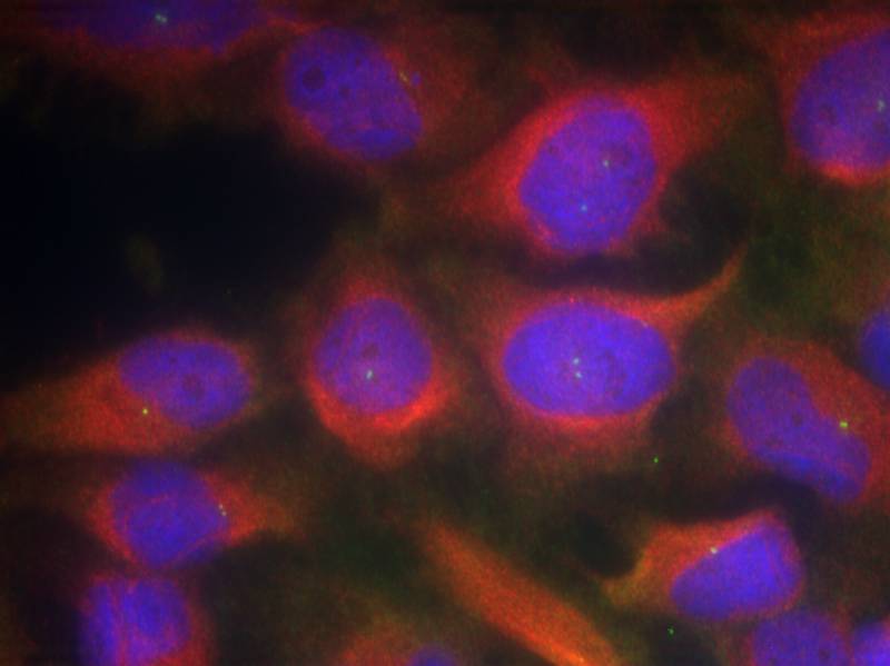
Immunofluorescence: 1:100~1:200
Immunofluorescence staining of methanol-fixed Hela cells using NMDAR1 Antibody.
NMDA receptors are members of the ionotropic class of glutamate receptors, which also includes Kainate and AMPA receptors. NMDA receptors consist of NR1 subunits combined with one or more NR2 (A-D) or NR3 (A-B) subunits. The ligand-gated channel is permeable to cations including Ca2+, and at resting membrane potentials NMDA receptors are inactive due to a voltage-dependent blockade of the channel pore by Mg2+. NMDA receptor activation, which requires binding of glutamate and glycine, leads to an influx of Ca2+ into the postsynaptic region where it activates several signaling cascades, including pathways leading to the induction of long-term potentiation (LTP) and depression (LTD). NMDA receptors have a critical role in excitatory synaptic transmission and plasticity in the CNS. They govern a range of physiological conditions including neurological disorders caused by excitotoxic neuronal injury, psychiatric disorders and neuropathic pain syndromes.

Tyszkiewicz JP, et al. J Physiol. 2004 Feb 1; 554(Pt 3): 765-777

如果您使用该产品21287发表了文章,请通知我们,让我们可以引用您的文献。

et al,Chemokine Receptor CXCR4 Regulates CaMKII/CREB Pathway in Spinal Neurons That Underlies Cancer-Induced Bone Pain.In Sci Rep on 2017 Jun 21 by Xue-Ming Hu , Hui Zhang,et al..PMID: 28638088 , (2017),
PMID: 28638088
et al,IRF7 in peripheral monocytes drives BBB disruption in anti-NMDAR encephalitis , (2025),
PMID: 40738265

注释

应用

  • WB免疫印迹
  • IHC免疫组化
  • IF免疫荧光
  • ICC免疫细胞化学
  • FC流式细胞
  • IP免疫沉淀
  • E酶联免疫吸附法
  • DB免疫斑点法
  • ChIP染色质免疫沉淀
  • GICA胶体金免疫层析法
  • NC阴性对照

种属反应性

  • Hu
  • Ms小鼠
  • Rt大鼠
  • Dm果蝇
  • C线虫
  • Mk
  • Rb
  • B
  • D
  • P
  • Hm仓鼠
  • ChHm中国仓鼠
  • Chk
;

联系我们

Location :

南京市高新开发区星火路10号人才大厦C座

Phone :

400-9961-933
025-58868422

Email Address

info@sabbiotech.com