免费电话:400-9961-933
邮箱:info@sabbiotech.com
欢迎光临本站
川博智能体 English
位置: 首页 > 多克隆抗体 > Smad2 Polyclonal Antibody

Smad2 Polyclonal Antibody #21323

是否有货: 有货
产品详情

产品名称Smad2 Polyclonal Antibody

来源种属Rabbit

克隆性Polyclonal

纯化Antibodies were produced by immunizing rabbits with synthetic peptide and KLH conjugates. Antibodies were purified by affinity-chromatography using epitope-specific peptide.

应用WB;IHC;IF;CoIP;ELISA

种属反应性Human;Mouse;Rat

特异性The antibody detects endogenous level of total Smad2 protein.

免疫原类型Peptide-KLH

免疫原描述Peptide sequence around aa.218~222 (P-E-T-P-P) derived from Human Smad2.

基因/蛋白名称Smad2

标记Unconjugated

别名JV18-1; MADH2; MADR2; Mad-related protein 2; Mothers against DPP homolog 2

数据库入口号Swiss-Prot: Q15796
NCBI Protein: NP _001003652.1

Uniprot Q15796

计算分子量52kDa

实际分子量52-60kDa

浓度1.0mg/ml

配方Supplied at 1.0mg/mL in phosphate buffered saline (without Mg2+ and Ca2+), pH 7.4, 150mM NaCl, 0.02% sodium azide and 50% glycerol.

保存Store at -20°C for long term preservation (recommended). Store at 4°C for short term use.

应用详情
WB 1:500-1:2000; IHC 1:100-1:300; IF 1:200-1:1000; ELISA 1:5000-1:20000; CoIP 1:25-200
Western blot analysis of extracts from 293 and NIH-3T3 cells using Smad2 Polyclonal Antibody.
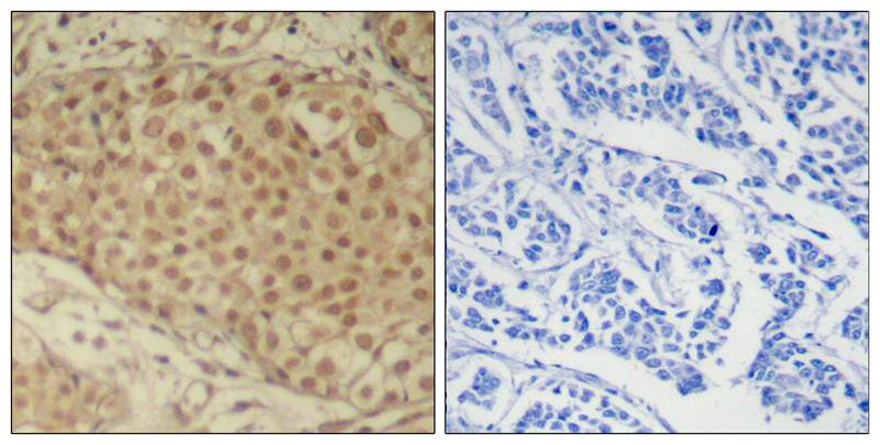
Immunohistochemical analysis of paraffin-embedded Human breast carcinoma tissue using Smad2 Polyclonal Antibody(left) or the same antibody preincubated with blocking peptide(right).
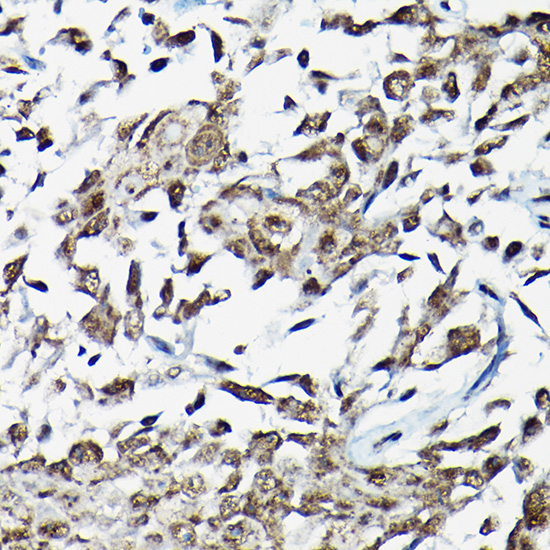
Immunohistochemistry of paraffin-embedded Human urothelial carcinoma tissue using Smad2 Polyclonal Antibody.
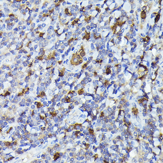
Immunohistochemistry of paraffin-embedded Human tonsil tissue using Smad2 Polyclonal Antibody.
Immunofluorescence staining of methanol-fixed Hela cells using Smad2 Polyclonal Antibody.
Immunofluorescence staining of methanol-fixed Jurkat cells using Smad2 Polyclonal Antibody.
Immunofluorescence staining of methanol-fixed HepG2 cells using Smad2 Polyclonal Antibody.
Transcriptional modulator activated by TGF-beta and activin type 1 receptor kinase. SMAD2 is a receptor-regulated SMAD (R-SMAD). May act as a tumor suppressor in colorectal carcinoma.

Sang Gyun Kim et al. (2004) Mol Biol Cell. February; 15(2): 420

如果您使用该产品21323发表了文章,请通知我们,让我们可以引用您的文献。

et al,Distribution of Smad mRNA and proteins in the rat brain.In J Chem Neuroanat. On 2018 Jul by Nakajima T, Hata R et al..PMID: 29196107 , (2018),
PMID: 29196107
et al,TGF β1 mediated Smad signaling pathway and EMT in hepatic fibrosis induced by Nano NiO in vivo and in vitro.In Environ Toxicol on 2020 Apr by Zhang Q, Chang X ,et al..PMID: 31737983 , (2020),
PMID: 31737983
et al,Temporal and regional patterns of Smad activation in the rat hippocampus following global ischemia.In J Neurol Sci on 2014 Feb 15 by Takayuki Nakajima , Masafumi Yanagihara et al ..PMID:24290497 , (2014),
PMID: 24290497
et al,High glucose increases Cdk5 activity in podocytes via transforming growth factor-尾1 signaling pathway.In Exp Cell Res on 2014 Aug 15 by Yue Zhang, Hongbo Li et al..PMID: 24768698 , (2014),
PMID: 24768698

注释

应用

  • WB免疫印迹
  • IHC免疫组化
  • IF免疫荧光
  • ICC免疫细胞化学
  • FC流式细胞
  • IP免疫沉淀
  • E酶联免疫吸附法
  • DB免疫斑点法
  • ChIP染色质免疫沉淀
  • GICA胶体金免疫层析法
  • NC阴性对照

种属反应性

  • Hu
  • Ms小鼠
  • Rt大鼠
  • Dm果蝇
  • C线虫
  • Mk
  • Rb
  • B
  • D
  • P
  • Hm仓鼠
  • ChHm中国仓鼠
  • Chk
;

联系我们

Location :

南京市高新开发区星火路10号人才大厦C座

Phone :

400-9961-933
025-58868422

Email Address

info@sabbiotech.com