免费电话:400-9961-933
邮箱:info@sabbiotech.com
欢迎光临本站
川博智能体 English
位置: 首页 > 多克隆抗体 > BMAL1 Antibody

BMAL1 Antibody #21415

是否有货: 有货
产品详情

产品名称BMAL1 Antibody

来源种属Rabbit

克隆性Polyclonal

纯化Affinity-chromatography

应用WB

种属反应性Human;Mouse;Rat

特异性The antibody detects endogenous level of total BMAL1 protein.

免疫原类型Peptide-KLH

免疫原描述A synthesized peptide derived from human BMAL1

基因/蛋白名称BMAL1

标记Unconjugated

别名MOP3; BMAL1c; ARNTL; TIC;

数据库入口号Swiss-Prot: O00327
NCBI Protein: NP_001025443.1

Uniprot O00327

配方Rabbit IgG in 10mM phosphate buffered saline , pH 7.4, 150mM sodium chloride, 0.05% BSA, 0.02% sodium azide and 50% glycerol.

保存Store at +4°C for short term. Store at -20°C for long term. Avoid freeze/thaw cycle.

应用详情

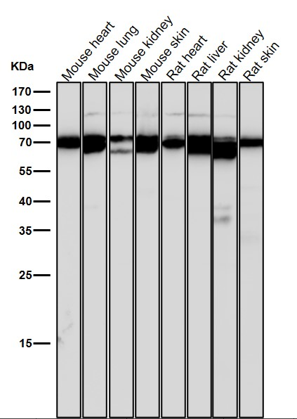
WB 1:1000-1:2000

All lanes use the Antibody at 1:2K dilution for 1 hour at room temperature.
All lanes use the Antibody at 1:2K dilution for 1 hour at room temperature.
All lanes use the Antibody at 1:2K dilution for 1 hour at room temperature.
Western blot analysis of BMAL1 expression in human fetal heart lysate.

The protein encoded by this gene is a basic helix-loop-helix protein that forms a heterodimer with CLOCK. This heterodimer binds E-box enhancer elements upstream of Period (PER1, PER2, PER3) and Cryptochrome (CRY1, CRY2) genes and activates transcription of these genes. PER and CRY proteins heterodimerize and repress their own transcription by interacting in a feedback loop with CLOCK/ARNTL complexes.

如果您使用该产品21415发表了文章,请通知我们,让我们可以引用您的文献。

et al,Dual roles of FBXL3 in the mammalian circadian feedback loops are important for period determination and robustness of the clock. In Proc Natl Acad Sci U S A on 2013 Mar 19 by Guangsen Shi, Lijuan Xing, et al..PMID: 23471982 , (2013),
PMID: 23471982
et al,Diurnal Control of Blood Pressure Is Uncoupled From Sodium Excretion. In Hypertension on 2020 Jun by Jermaine G Johnston, Joshua S Speed, et al..PMID:32306766 , (2020),
PMID: 32306766
et al,Dysregulated clock gene expression and abnormal diurnal regulation of hippocampal inhibitory transmission and spatial memory in amyloid precursor protein transgenic mice. In Neurobiol Dis on 2021 Oct by Allison R Fusilier, Jennifer A Davis,et al..PMID:34333153 , (2021),
PMID: 34333153

注释

应用

  • WB免疫印迹
  • IHC免疫组化
  • IF免疫荧光
  • ICC免疫细胞化学
  • FC流式细胞
  • IP免疫沉淀
  • E酶联免疫吸附法
  • DB免疫斑点法
  • ChIP染色质免疫沉淀
  • GICA胶体金免疫层析法
  • NC阴性对照

种属反应性

  • Hu
  • Ms小鼠
  • Rt大鼠
  • Dm果蝇
  • C线虫
  • Mk
  • Rb
  • B
  • D
  • P
  • Hm仓鼠
  • ChHm中国仓鼠
  • Chk
;

联系我们

Location :

南京市高新开发区星火路10号人才大厦C座

Phone :

400-9961-933
025-58868422

Email Address

info@sabbiotech.com