免费电话:400-9961-933
邮箱:info@sabbiotech.com
欢迎光临本站
川博智能体 English
位置: 首页 > 多克隆抗体 > FAS Polyclonal Antibody

FAS Polyclonal Antibody #21419

是否有货: 有货
产品详情

产品名称FAS Polyclonal Antibody

来源种属Rabbit

克隆性Polyclonal

纯化Antibodies were produced by immunizing rabbits with synthetic peptide and KLH conjugates. Antibodies were purified by affinity-chromatography using epitope-specific peptide.

应用WB;IHC;IF;ELISA

种属反应性Human

特异性The antibody detects endogenous level of total Fas protein.

免疫原类型Peptide-KLH

免疫原描述Peptide sequence around aa.323~327 (E-N-S-N-F) derived from human Fas .

基因/蛋白名称Fas

标记Unconjugated

别名FASLG receptor; Apoptosis-mediating surface antigen FAS; Apo-1 antigen

数据库入口号Swiss-Prot: P25445
NCBI Protein: NP_000034.1

Uniprot P25445

计算分子量38kDa

实际分子量40-50kDa

浓度1.0mg/ml

配方Supplied at 1.0mg/mL in phosphate buffered saline (without Mg2+ and Ca2+), pH 7.4, 150mM NaCl, 0.02% sodium azide and 50% glycerol.

保存Store at -20°C for long term preservation (recommended). Store at 4°C for short term use.

应用详情
WB 1:500-2000; IHC 1:50-200; IF 1:50-200; ELISA 1:5000-1:20000;
Western blot analysis of extracts from HepG2, Hela and 293 cells using Fas Antibody.
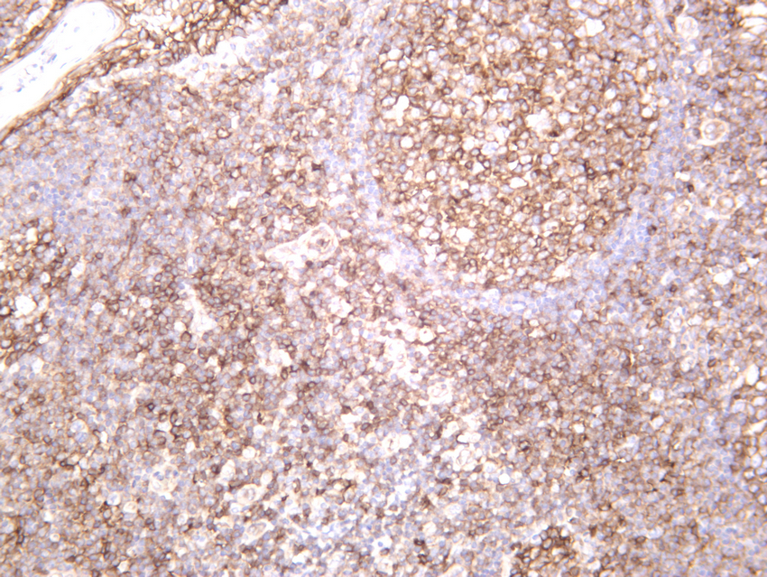
Immunohistochemical analysis of paraffin-embedded Human tonsil using FAS Polyclonal Antibody.
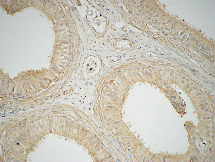
Immunohistochemical analysis of paraffin-embedded Human testis using FAS Polyclonal Antibody.
Immunofluorescence analysis of HEK293 cells using FAS Polyclonal Antibody.Picture A:Target. Picture B: DAPI. Picture C: merge of A+B
Immunofluorescence analysis of Human liver cancer tissue using FAS Polyclonal Antibody.Picture A:Target. Picture B: DAPI. Picture C: merge of A+B
Immunofluorescence analysis of Human kidney tissue using FAS Polyclonal Antibody.Picture A:Target. Picture B: DAPI. Picture C: merge of A+B
Receptor for TNFSF6/FASLG. The adapter molecule FADD recruits caspase-8 to the activated receptor. The resulting death-inducing signaling complex (DISC) performs caspase-8 proteolytic activation which initiates the subsequent cascade of caspases (aspartate-specific cysteine proteases) mediating apoptosis. FAS-mediated apoptosis may have a role in the induction of peripheral tolerance, in the antigen-stimulated suicide of mature T-cells, or both. The secreted isoforms 2 to 6 block apoptosis (in vitro).

Hahne, M. et al. (1995) Int Immunol 7, 1381-6.
Nagata, S. (1997) Cell 88, 355-65.
Green, D.R. and Ferguson, T.A. (2001) Nat Rev Mol Cell Biol 2, 917-24.

如果您使用该产品21419发表了文章,请通知我们,让我们可以引用您的文献。

et al,Activation of Fas death receptor pathway and Bid in hepatocytes is involved in saikosaponin D induction of hepatotoxicity.In Environ Toxicol Pharmacol on 2016 Jan by Feng Zhang , Li Chen et al..PMID:26645133 , (2016),
PMID: 26645133
et al,27P silk bioactive peptides mediate multifaceted regulation of collagen and support balance in fibroblast subpopulations , (2025),
PMID: 40543847

注释

应用

  • WB免疫印迹
  • IHC免疫组化
  • IF免疫荧光
  • ICC免疫细胞化学
  • FC流式细胞
  • IP免疫沉淀
  • E酶联免疫吸附法
  • DB免疫斑点法
  • ChIP染色质免疫沉淀
  • GICA胶体金免疫层析法
  • NC阴性对照

种属反应性

  • Hu
  • Ms小鼠
  • Rt大鼠
  • Dm果蝇
  • C线虫
  • Mk
  • Rb
  • B
  • D
  • P
  • Hm仓鼠
  • ChHm中国仓鼠
  • Chk
;

联系我们

Location :

南京市高新开发区星火路10号人才大厦C座

Phone :

400-9961-933
025-58868422

Email Address

info@sabbiotech.com