免费电话:400-9961-933
邮箱:info@sabbiotech.com
欢迎光临本站
川博智能体 English
位置: 首页 > 多克隆抗体 > MEK1/2 Antibody

MEK1/2 Antibody #21428

是否有货: 有货
产品详情

产品名称MEK1/2 Antibody

来源种属Rabbit

克隆性Polyclonal

纯化Antibodies were produced by immunizing rabbits with synthetic peptide and KLH conjugates. Antibodies were purified by affinity-chromatography using epitope-specific peptide.

应用WB;IHC;IF;IP;ELISA

种属反应性Human;Mouse;Rat

特异性The antibody detects endogenous level of total MEK1/2 protein.

免疫原类型Peptide-KLH

免疫原描述Peptide sequence around aa.235-239(L-Q-G-T-H) derived from Human MEK1/2.

基因/蛋白名称MEK1/2

标记Unconjugated

别名MEK1; MKK1; MAPKK1; PRKMK1;

数据库入口号Swiss-Prot: Q02750
NCBI Protein: NP_002746.1

Uniprot Q02750

计算分子量43, 44kDa

实际分子量44kDa

浓度1.0mg/ml

配方Supplied at 1.0mg/mL in phosphate buffered saline (without Mg2+ and Ca2+), pH 7.4, 150mM NaCl, 0.02% sodium azide and 50% glycerol.

保存Store at -20°C for long term preservation (recommended). Store at 4°C for short term use.

应用详情
WB 1:1000-1:5000; IHC 1:50-1:1000; IF 1:50-1:1000; ELISA 1:5000-1:20000; IP 1:50-1:200;
Western blot analysis of extracts from various cell lines using MEK1/2 Antibody.
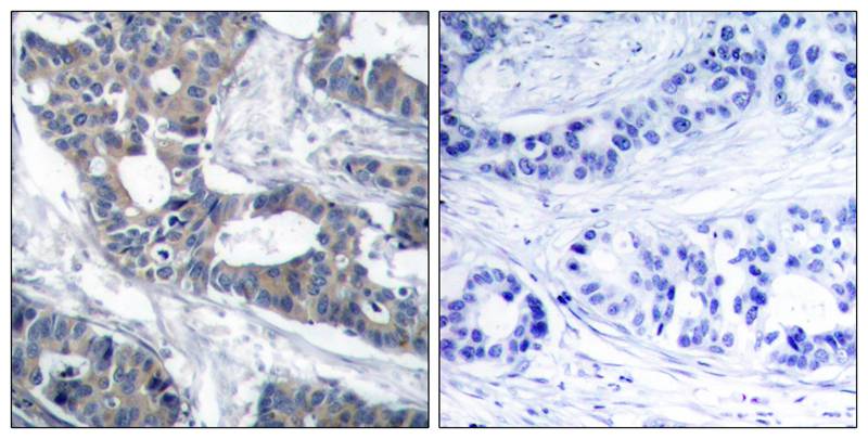
Immunohistochemical analysis of paraffin-embedded human breast carcinoma tissue using MEK1/2 Antibody(left) or the same antibody preincubated with blocking peptide(right).
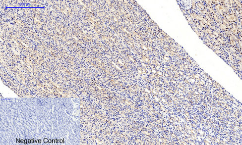
Immunohistochemical analysis of paraffin-embedded Rat kidney tissue using MEK1/2 Antibody.Negative control was used by secondary antibody only.
Immunofluorescence staining of methanol-fixed Hela cells using MEK1/2 Antibody(green).
Immunofluorescence staining of methanol-fixed HEK293 cells using MEK1/2 Antibody.Picture A: MEK1/2 antibody (red). Picture B: DAPI (blue). Picture C: Merge of A+B
Catalyzes the concomitant phosphorylation of a threonine and a tyrosine residue in a Thr-Glu-Tyr sequence located in MAP kinases. Activates ERK1 and ERK2 MAP kinases.

Seger R., Seger D., Lozeman F.J., Ahn N.G., Graves L.M., Campbell J.S., Ericsson L., Harrylock M., Jensen A.M., Krebs E.G.J. Biol. Chem. 267:25628-25631(1992)
Mukherjee S., Keitany G., Li Y., Wang Y., Ball H.L., Goldsmith E.J., Orth K.Science 312:1211-1214(2006)

如果您使用该产品21428发表了文章,请通知我们,让我们可以引用您的文献。

et al,Integrin 伪6/Akt/Erk signaling is essential for human breast cancer resistance to radiotherapy.In Sci Rep on 2016 Sep 14 by Ting Hu, Rui Zhou et al..PMID:27624978 , (2016),
PMID: 27624978
et al,MicroRNA锟?46b, a sensitive indicator of mesenchymal stem cell repair of acute renal injury.In Stem Cells Transl Med on 2016 Oct by Yuan Zhu, Jing Yu et al..PMID:27400799 , (2016),
PMID: 27400799
et al,7?dehydrocholesterol suppresses melanoma cell proliferation and invasion via Akt1/NF?kB signaling,In Oncol Lett on 2020 Dec by Jia Liu, Feiliang Zhong, et al..PMID: 33193858 , (2020),
PMID: 33193858
et al,Mechanism of the Proprietary Chinese Medicine “JiuLiWan” to Treat Ulcerative Colitis Revealed by Network Pharmacology, Molecular Docking, and Experimental … , (2025),
PMID: 40415848

注释

应用

  • WB免疫印迹
  • IHC免疫组化
  • IF免疫荧光
  • ICC免疫细胞化学
  • FC流式细胞
  • IP免疫沉淀
  • E酶联免疫吸附法
  • DB免疫斑点法
  • ChIP染色质免疫沉淀
  • GICA胶体金免疫层析法
  • NC阴性对照

种属反应性

  • Hu
  • Ms小鼠
  • Rt大鼠
  • Dm果蝇
  • C线虫
  • Mk
  • Rb
  • B
  • D
  • P
  • Hm仓鼠
  • ChHm中国仓鼠
  • Chk
;

联系我们

Location :

南京市高新开发区星火路10号人才大厦C座

Phone :

400-9961-933
025-58868422

Email Address

info@sabbiotech.com