免费电话:400-9961-933
邮箱:info@sabbiotech.com
欢迎光临本站
川博智能体 English
位置: 首页 > 多克隆抗体 > Vimentin Antibody

Vimentin Antibody #21488

是否有货: 有货
产品详情

产品名称Vimentin Antibody

来源种属Rabbit

克隆性Polyclonal

纯化Antibodies were produced by immunizing rabbits with synthetic peptide and KLH conjugates. Antibodies were purified by affinity-chromatography using epitope-specific peptide.

应用WB;IHC;IF;ELISA

种属反应性Human;Mouse;Rat;Monkey

特异性The antibody detects endogenous level of total Vimentin protein.

免疫原类型Peptide-KLH

免疫原描述Peptide sequence around aa.452~456(G-Q-V-I-N) derived from Human Vimentin.

基因/蛋白名称Vimentin

标记Unconjugated

别名CTRCT30

数据库入口号Swiss-Prot: P08670
NCBI Protein: NP_003371.2

Uniprot P08670

计算分子量54kDa

实际分子量54-57kDa

浓度1.0mg/ml

配方Supplied at 1.0mg/mL in phosphate buffered saline (without Mg2+ and Ca2+), pH 7.4, 150mM NaCl, 0.02% sodium azide and 50% glycerol.

保存Store at -20°C for long term preservation (recommended). Store at 4°C for short term use.

应用详情
WB 1:500-1:2000; IHC 1:100-1:300; IF 1:200-1:1000; ELISA 1:10000
Western blot analysis of extract from Hela, cos7 and JK cells using Vimentin Antibody.
Western Blot analysis of 22RV1, H460 and A549 cells using Vimentin Antibody.
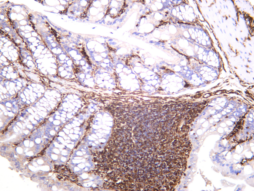
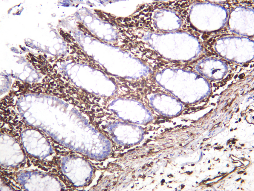
Immunohistochemistry of paraffin-embedded Human colon tissue using Vimentin Antibody.
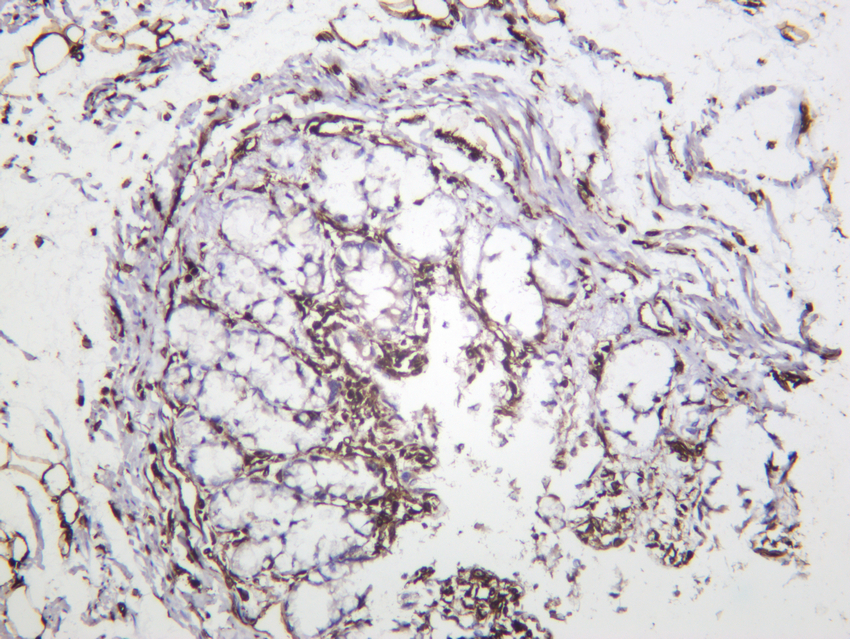
Immunohistochemistry of paraffin-embedded Mouse colon tissue using Vimentin Antibody.
Immunohistochemistry of paraffin-embedded Rat colon tissue using Vimentin Antibody.
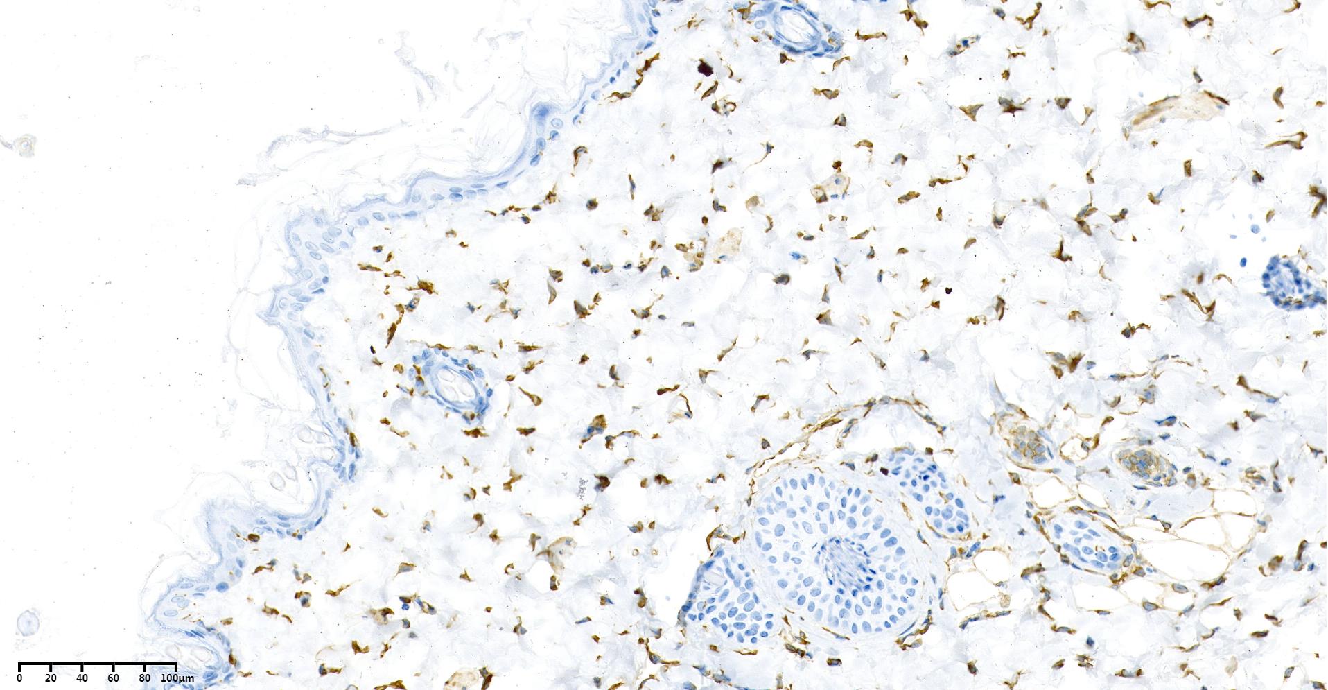
Immunohistochemistry of paraffin-embedded Rat skin tissue using Vimentin Antibody.
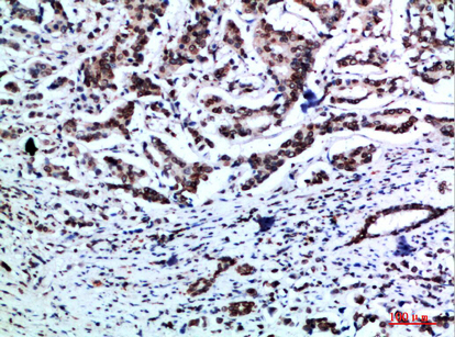
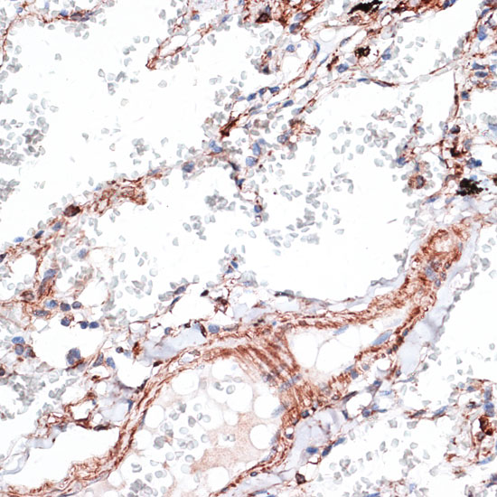
Immunohistochemistry of paraffin-embedded Human lung tissue using Vimentin Antibody.
Immunohistochemistry of paraffin-embedded human breast cancer tissue using Vimentin Antibody.
Immunofluorescence staining of paraffin-embedded mesenchymal stem cells using Vimentin Antibody.
Immunofluorescence analysis of methanol-fixed Hela cells using Vimentin Antibody.
Immunofluorescence analysis of Rat skin using Vimentin Antibody.

Vimentins are class-III intermediate filaments found in various non-epithelial cells, especially mesenchymal cells.

Sommers C.L., Walker-Jones D., Heckford S.E., Worland P., Valverius E., Clark R., McCormick F.,
Cancer Res. 49:4258-4263(1989)
Kang S.-M., Shin M.-J., Kim J.-H., Oh J.-W. Proteomics 5:2227-2237(2005)
Ahmed B.A., Bukhari I.A., Jeffus B.C., Harney J.T., Thyparambil S., Ziu E., Fraer M., Rusch N.J. PLoS ONE 4:E4730-E4730(2009)

如果您使用该产品21488发表了文章,请通知我们,让我们可以引用您的文献。

et al,Foxg1 Has an Essential Role in Postnatal Development of the Dentate Gyrus. , (2012),
PMID: 22378868
et al,Exosomal miR 423 5p targets SUFU to promote cancer growth and metastasis and serves as a novel marker for gastric cancer.In Mol Carcinog. On 2018 Sep by Yang H, Fu H et al..PMID:29749061 , (2018),
PMID: 29749061
et al,Exosomal TRIM3 is a novel marker and therapy target for gastric cancer.In J Exp Clin Cancer Res.On 2018 Jul 21 by Fu H, Yang H et al..PMID:30031392 , (2018),
PMID: 30031392
et al,Baicalein Inhibits Migration and Invasion of Gastric Cancer Cells Through Suppression of the TGF-尾 Signaling Pathway.In Mol Med Rep on 2014 Oct by Fenglin Chen, Mingkai Zhuang et al..PMID: 25109410 , (2014),
PMID: 25109410
et al,Activation of mesenchymal stem cells by macrophages prompts human gastric cancer growth through NF-魏B pathway.In PLoS One on 2014 May 13 by Tingting Yang , Xu Zhang et al..PMID:24824968 , (2014),
PMID: 24824968
et al,SALL4, a novel marker for human gastric carcinogenesis and metastasis.In Oncogene on 2014 Nov 27 by L Zhang , Z Xu et al..PMID:24276240 , (2014),
PMID: 24276240
et al,Tumorigenic hybrids between mesenchymal stem cells and gastric cancer cells enhanced cancer proliferation, migration and stemness.In BMC Cancer on 2015 Oct 24 by Jianguo Xue , Yuan Zhu et al..PMID: 26498753 , (2015),
PMID: 26498753
查看更多
et al, Prostaglandin E2 promotes hepatocellular carcinoma cell invasion through upregulation of YB-1 protein expression.In Int J Oncol on 2014 Mar by Hai Zhang, Shanyu Cheng, et al..PMID: 24378923 , (2016),
PMID: 24378923
et al,Ginsenoside Rg3 Suppresses Epithelial-Mesenchymal Transition via Downregulating Notch-Hes1 Signaling in Colon Cancer Cells. In Am J Chin Med on 2021 by Xiao Li, Wei Liu, et al..PMID:33371813 , (2021),
PMID: 33371813
et al,Qingda granule attenuates cardiac fibrosis via suppression of the TGF-尾1/Smad2/3 signaling pathway in vitro and in vivo. In Biomed Pharmacother on 2021 May by Xiaoping Chen, Linzi Long, et al..PMID:33556875 , (2021),
PMID: 33556875
et al,Flotillin-1 enhances radioresistance through reducing radiation-induced DNA damage and promoting immune escape via STING signaling pathway in non-small cell lung cancerInCancer Biol TherOn2023 Dec 31byYingying Wang?1,?Lu Meng et al..PMID:?37131290 , (2023),
PMID: 37131290
et al,HIV gp120/Tat protein-induced epithelial-mesenchymal transition promotes the progression of cervical lesionsInAIDS Res TherOn2023 Nov 19byPeizhi Wang?#?1?2,?Baojun Yang et al..PMID:?37981694 , (2023),
PMID: 37981694
et al,Qingda granule ameliorates vascular remodeling and phenotypic transformation of adventitial fibroblasts via suppressing the TGF-β1/Smad2/3 pathwayIn J EthnopharmacolOn2023 Sep 15byMeizhu Wu , Siyu Zhang et al..PMID:37100260 , (2023),
PMID: 37100260
et al,A Novel Airway-Organoid Model Based on a Nano-Self-Assembling Peptide: Construction and Application in Adenovirus Infection StudiesIn Int J NanomedicineOn2023 Sep 13byYun-E Xu , Di-Shu Ao et al..PMID:37727651 , (2023),
PMID: 37727651
et al,Monotropein inhibits epithelial-mesenchymal transition in chronic colitis via the mTOR/P70S6K pathway. , (2025),
PMID: 40041493
et al,FOXQ1 promotes pancreatic cancer cell proliferation, tumor stemness, invasion and metastasis through regulation of LDHA-mediated aerobic glycolysis InCell Death DisOn2023 Oct 24byChanghao Wu , Chenglong Zheng et al..PMID:37875474 , (2023),
PMID: 37875474
et al,PD-L1 Expression Is Regulated By NF-κB DurIng EMT SignalIng In Gastric CarcInoma. In Onco Targets Ther on 2019 Nov 25 by Xu D, Li J, et al..PMID:31819504 , (2019),
PMID: 31819504
et al,β-catenin initiates peritoneal fibrosis by triggering mitochondrial fission-mediated mesothelial cell senescence fate transition , (2025),
PMID: 41320784

注释

应用

  • WB免疫印迹
  • IHC免疫组化
  • IF免疫荧光
  • ICC免疫细胞化学
  • FC流式细胞
  • IP免疫沉淀
  • E酶联免疫吸附法
  • DB免疫斑点法
  • ChIP染色质免疫沉淀
  • GICA胶体金免疫层析法
  • NC阴性对照

种属反应性

  • Hu
  • Ms小鼠
  • Rt大鼠
  • Dm果蝇
  • C线虫
  • Mk
  • Rb
  • B
  • D
  • P
  • Hm仓鼠
  • ChHm中国仓鼠
  • Chk
;

联系我们

Location :

南京市高新开发区星火路10号人才大厦C座

Phone :

400-9961-933
025-58868422

Email Address

info@sabbiotech.com