免费电话:400-9961-933
邮箱:info@sabbiotech.com
欢迎光临本站
川博智能体 English
位置: 首页 > 多克隆抗体 > cofilin1/cofilin2 Antibody

cofilin1/cofilin2 Antibody #21507

是否有货: 有货
产品详情

产品名称cofilin1/cofilin2 Antibody

来源种属Rabbit

克隆性Polyclonal

纯化Antibodies were produced by immunizing rabbits with synthetic peptide and KLH conjugates. Antibodies were purified by affinity-chromatography using epitope-specific peptide.

应用WB IHC IF

种属反应性Human;Mouse;Rat

特异性The antibody detects endogenous level of total cofilin1/cofilin2 protein.

免疫原类型Peptide-KLH

免疫原描述Peptide sequence around aa. 86~90 (A-T-Y-E-T) derived from Human cofilin1/cofilin2.

基因/蛋白名称cofilin1/cofilin2

标记Unconjugated

别名Cofilin; non-muscle isoform 18 kDa phosphoprotein;

数据库入口号Swiss-Prot: P23528 Q9Y281
NCBI Protein: NP_005498.1 NP_068733.1

Uniprot P23528

浓度1.0mg/ml

配方Supplied at 1.0mg/mL in phosphate buffered saline (without Mg2+ and Ca2+), pH 7.4, 150mM NaCl, 0.02% sodium azide and 50% glycerol.

保存Store at -20°C for long term preservation (recommended). Store at 4°C for short term use.

应用详情

Predicted MW: 19kd
Western blotting: 1:500~1:1000
Immunohistochemistry: 1:50~1:100
Immunofluorescence: 1:100~1:200

Western blot analysis of extracts from MDA cells using cofilin1/cofilin2(Ab-88) Antibody #21507.
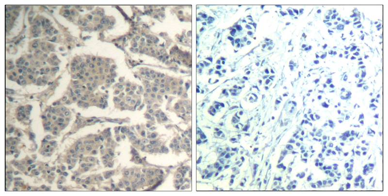
Immunohistochemical analysis of paraffin-embedded human breast carcinoma tissue using cofilin1/cofilin2(Ab-88) Antibody #21507(left) or the same antibody preincubated with blocking peptide(right).
Immunofluorescence staining of methanol-fixed Hela cells using cofilin1/cofilin2(Ab-88) Antibody #21507.

Controls reversibly actin polymerization and depolymerization in a pH-sensitive manner. It has the ability to bind G- and F-actin in a 1:1 ratio of cofilin to actin. It is the major component of intranuclear and cytoplasmic actin rods.

Carlier, M. et al. (1999) J. Biol. Chem. 274, 33827-33830.
Arber, S. et al. (1998) Nature 393, 805-809.
Yang, N. et al. (1998) Nature 393, 809-812.

如果您使用该产品21507发表了文章,请通知我们,让我们可以引用您的文献。

et al,CD155 Cooperates with PD-1/PD-L1 to Promote Proliferation of Esophageal Squamous Cancer Cells via PI3K/Akt and MAPK Signaling Pathways. In Cancers (Basel) on 2022 Nov 15 by Xiyang Tan, Jie Yang, et al..PMID:36428703 , (2022),
PMID: 36428703

注释

应用

  • WB免疫印迹
  • IHC免疫组化
  • IF免疫荧光
  • ICC免疫细胞化学
  • FC流式细胞
  • IP免疫沉淀
  • E酶联免疫吸附法
  • DB免疫斑点法
  • ChIP染色质免疫沉淀
  • GICA胶体金免疫层析法
  • NC阴性对照

种属反应性

  • Hu
  • Ms小鼠
  • Rt大鼠
  • Dm果蝇
  • C线虫
  • Mk
  • Rb
  • B
  • D
  • P
  • Hm仓鼠
  • ChHm中国仓鼠
  • Chk
;

联系我们

Location :

南京市高新开发区星火路10号人才大厦C座

Phone :

400-9961-933
025-58868422

Email Address

info@sabbiotech.com