免费电话:400-9961-933
邮箱:info@sabbiotech.com
欢迎光临本站
川博智能体 English
位置: 首页 > 多克隆抗体 > eIF4B Antibody

eIF4B Antibody #21513

是否有货: 有货
产品详情

产品名称eIF4B Antibody

来源种属Rabbit

克隆性Polyclonal

纯化Antibodies were produced by immunizing rabbits with synthetic peptide and KLH conjugates. Antibodies were purified by affinity-chromatography using epitope-specific peptide.

应用WB IHC

种属反应性Human;Mouse;Rat

特异性The antibody detects endogenous level of total eIF4B protein.

免疫原类型Peptide-KLH

免疫原描述Peptide sequence around aa.420~424 (T-G-S-E-S) derived from Human eIF4B.

基因/蛋白名称eIF4B

标记Unconjugated

数据库入口号Swiss-Prot: P23588
NCBI Protein: NP_001408.2

Uniprot P23588

浓度1.0mg/ml

配方Supplied at 1.0mg/mL in phosphate buffered saline (without Mg2+ and Ca2+), pH 7.4, 150mM NaCl, 0.02% sodium azide and 50% glycerol.

保存Store at -20°C for long term preservation (recommended). Store at 4°C for short term use.

应用详情

Predicted MW: 80kd
Western blotting: 1:500~1:1000
Immunohistochemistry: 1:50~1:100

Western blot analysis of extracts from 3T3 and HL60 cells using eIF4B(Ab-422) Antibody #21513.
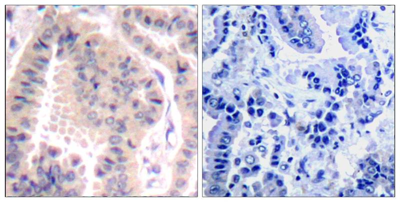
Immunohistochemical analysis of paraffin-embedded human lung carcinoma tissue using eIF4B(Ab-422) Antibody #21513(left) or the same antibody preincubated with blocking peptide(right).

Required for the binding of mRNA to ribosomes. Functions in close association with EIF4-F and EIF4-A. Binds near the 5'-terminal cap of mRNA in presence of EIF-4F and ATP. Promotes the ATPase activity and the ATP-dependent RNA unwinding activity of both EIF4-A and EIF4-F.

Gingras, A.C. et al. (2001) Genes Dev. 15, 807-826.
Duncan, R. and Hershey, J.W. (1985) J. Biol. Chem. 260, 5493-5497.
Duncan, R.F. and Hershey, J.W. (1989) J. Cell Biol. 109, 1467-1481.

如果您使用该产品21513发表了文章,请通知我们,让我们可以引用您的文献。

et al,Pyruvate Kinase M (PKM) binds ribosomes in a poly-ADP ribosylation dependent manner to induce translational stalling In Nucleic Acids Res On2023 Jul 7byNevraj S Kejiou , Lena Ilan et al..PMID:37224531 , (2023),
PMID: 37224531

注释

应用

  • WB免疫印迹
  • IHC免疫组化
  • IF免疫荧光
  • ICC免疫细胞化学
  • FC流式细胞
  • IP免疫沉淀
  • E酶联免疫吸附法
  • DB免疫斑点法
  • ChIP染色质免疫沉淀
  • GICA胶体金免疫层析法
  • NC阴性对照

种属反应性

  • Hu
  • Ms小鼠
  • Rt大鼠
  • Dm果蝇
  • C线虫
  • Mk
  • Rb
  • B
  • D
  • P
  • Hm仓鼠
  • ChHm中国仓鼠
  • Chk
;

联系我们

Location :

南京市高新开发区星火路10号人才大厦C座

Phone :

400-9961-933
025-58868422

Email Address

info@sabbiotech.com