免费电话:400-9961-933
邮箱:info@sabbiotech.com
欢迎光临本站
川博智能体 English
位置: 首页 > 多克隆抗体 > PKM2 Antibody

PKM2 Antibody #21578

是否有货: 有货
产品详情

产品名称PKM2 Antibody

来源种属Rabbit

克隆性Polyclonal

纯化Antibodies were produced by immunizing rabbits with synthetic peptide and KLH conjugates. Antibodies were purified by affinity-chromatography using epitope-specific peptide.

应用WB;IHC;IF;ELISA

种属反应性Human;Mouse;Rat

特异性The antibody detects endogenous levels of total PKM2 protein.

免疫原类型Peptide-KLH

免疫原描述Peptide sequence around aa.405~409(T-S-D-P-T) derived from Human PKM2.

基因/蛋白名称PKM2

标记Unconjugated

别名PKM; PK3; OIP3; PK2;

数据库入口号Swiss-Prot: P14618-1
NCBI Protein: NP_872270.1

Uniprot P14618

计算分子量58kDa

实际分子量58-60kDa

浓度1.0mg/ml

配方Supplied at 1.0mg/mL in phosphate buffered saline (without Mg2+ and Ca2+), pH 7.4, 150mM NaCl, 0.02% sodium azide and 50% glycerol.

保存Store at -20°C for long term preservation (recommended). Store at 4°C for short term use.

应用详情
WB 1:500-1:2000; IHC 1:50-1:200; IF 1:50-1:200; ELISA 1:5000-1:20000;
Immunohistochemistry analysis of paraffin-embedded Mouse kidney using PKM2 Antibody.
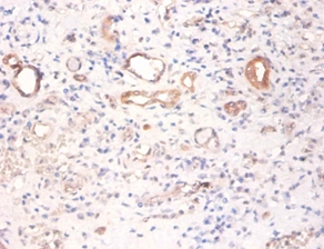
Immunohistochemistry analysis of paraffin-embedded Rat lung using PKM2 Antibody.
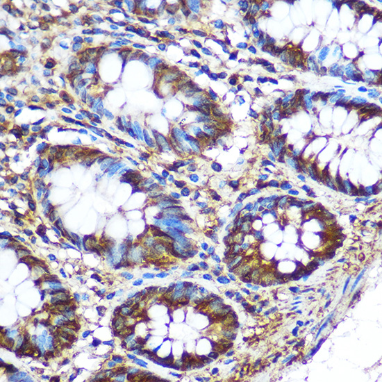
Immunohistochemistry analysis of paraffin-embedded Human colon using PKM2 Antibody.
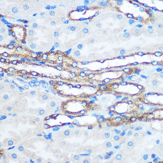
Immunohistochemistry analysis of paraffin-embedded Human kidney using PKM2 Antibody.
Immunofluorescence staining of methanol-fixed MEF cells using PKM2 Antibody.Blue: DAPI for nuclear staining.
Immunofluorescence staining of methanol-fixed L929 cells using PKM2 Antibody.Blue: DAPI for nuclear staining.
Immunofluorescence staining of methanol-fixed U2OS cells using PKM2 Antibody.Blue: DAPI for nuclear staining.
Immunofluorescence staining of methanol-fixed HeLa cells using PKM2 Antibody.Blue: DAPI for nuclear staining.
Various whole cell lysates were separated by 4-20% SDS-PAGE, and the membrane was blotted with anti-PKM antibody. The HRP-conjugated Goat anti-Rabbit IgG(H + L) antibody was used to detect the antibody. Lane 1: A549 Lane 2: NIH3T3 Lane 3: C6 Predicted band size: 57kDa Observed band size: 57kDa
Western blot analysis of extracts from HepG2 and 293 cells using PKM2 Antibody.
Western blot analysis of extracts from various cell lines using PKM2 Antibody.

Glycolytic enzyme that catalyzes the transfer of a phosphoryl group from phosphoenolpyruvate (PEP) to ADP, generating ATP. Stimulates POU5F1-mediated transcriptional activation. Plays a general role in caspase independent cell death of tumor cells. The ratio betwween the highly active tetrameric form and nearly inactive dimeric form determines whether glucose carbons are channeled to biosynthetic processes or used for glycolytic ATP production. The transition between the 2 forms contributes to the control of glycolysis and is important for tumor cell proliferation and survival.

Christofk, H.R. et al. (2008) Nature 452, 230-3.
Mazurek, S. et al. (2005) Semin Cancer Biol 15, 300-8.
Dombrauckas, J.D. et al. (2005) Biochemistry 44, 9417-29.
Hitosugi, T. et al. (2009) Sci Signal 2, ra73.

如果您使用该产品21578发表了文章,请通知我们,让我们可以引用您的文献。

et al,PK-M2-mediated metabolic changes In breast cancer cells Induced by ionizIng radiation. In Breast Cancer Res Treat on 2019 Nov by Zhang L, Bailleul J, et al..PMID: 31372790 , (2019),
PMID: 31372790
et al,Nuclear PKM2 Regulates the Warburg Effect.In Cell Cycle on 2013 Oct 1 by Weiwei Yang, Zhimin Lu,et al..PMID:24013426 , (2013),
PMID: 24013426
et al,ERK1/2-dependent phosphorylation and nuclear translocation of PKM2 promotes the Warburg effect.In Nat Cell Biol on 2012 Dec by Weiwei Yang, Yanhua Zheng,et al..PMID:23178880 , (2012),
PMID: 23178880
et al,PKM2 Phosphorylates Histone H3 and Promotes Gene Transcription and Tumorigenesis. In Cell on 2012 Aug 17 by Weiwei Yang, Yan Xia, et al..PMID: 22901803 , (2012),
PMID: 22901803
et al,IGF-1-mediated PKM2/尾-catenin/miR-152 Regulatory Circuit in Breast Cancer.In Sci Rep on 2017 Nov 21 by Yi-Yang Wen, Wei-Tao Liu,et al..PMID: 29162853 , (2017),
PMID: 29162853
et al,Nuclear PKM2 expression, an independent risk factor for ER after curative resection of hepatocellular carcinoma.In Biomed Pharmacother.On 2016 Dec by Fan F, Wu H et al..PMID: 27894667 , (2016),
PMID: 27894667
et al,EGFR phosphorylates FAM129B to promote Ras activation.In Proc Natl Acad Sci USA on 2016 Jan 19 by Haitao Ji, Jong-Ho Lee et al..PMID:26721396 , (2016),
PMID: 26721396
查看更多
et al,PKM2 regulates chromosome segregation and mitosis progression of tumor cells.In Mol Cell on 2014 Jan 9 by Yuhui Jiang, Xinjian Li et al..PMID: 24316223 , (2014),
PMID: 24316223
et al,Relationship between 18-F-fluoro-deoxy-d-glucose uptake and expression of glucose transporter 1 and pyruvate kinase M2 in intrahepatic cholangiocarcinoma.In Dig Liver Dis on 2015 Jul by et al..PMID: 25912843 , (2015),
PMID: 25912843
et al,PKM2 dephosphorylation by Cdc25A promotes the Warburg effect and tumorigenesis.In Nat Commun on 2016 Aug 3 by Ji Liang , Ruixiu Cao et al..PMID: 27485204 , (2016),
PMID: 27485204
et al,PKM2 phosphorylates MLC2 and regulates cytokinesis of tumour cells.In Nat Commun on 2014 Nov 21 by Yuhui Jiang , Yugang Wang et al..PMID: 25412762 , (2014),
PMID: 25412762
et al,Insulin regulates glucose consumption and lactate production through reactive oxygen species and pyruvate kinase M2. In Oxid Med Cell Longev on 2014 by Qi Li, Xue Liu, et al..PMID:24895527 , (2014),
PMID: 24895527
et al,Single-Cell FISH Analysis Reveals Distinct Shifts in PKM Isoform Populations during Drug Resistance Acquisition. In Biomolecules on 2022 Aug 6 by Seong Ho Kim, Ji Hun Wi, et al..PMID:36008976 , (2022),
PMID: 36008976
et al,Pyruvate Dehydrogenase A1 Phosphorylated by Insulin Associates with Pyruvate Kinase M2 and Induces LINC00273 through Histone Acetylation. In Biomedicines on 2022 May 27 by Abu Jubayer Hossain, Rokibul Islam, et al..PMID:35740278 , (2022),
PMID: 35740278

注释

应用

  • WB免疫印迹
  • IHC免疫组化
  • IF免疫荧光
  • ICC免疫细胞化学
  • FC流式细胞
  • IP免疫沉淀
  • E酶联免疫吸附法
  • DB免疫斑点法
  • ChIP染色质免疫沉淀
  • GICA胶体金免疫层析法
  • NC阴性对照

种属反应性

  • Hu
  • Ms小鼠
  • Rt大鼠
  • Dm果蝇
  • C线虫
  • Mk
  • Rb
  • B
  • D
  • P
  • Hm仓鼠
  • ChHm中国仓鼠
  • Chk
;

联系我们

Location :

南京市高新开发区星火路10号人才大厦C座

Phone :

400-9961-933
025-58868422

Email Address

info@sabbiotech.com