免费电话:400-9961-933
邮箱:info@sabbiotech.com
欢迎光临本站
川博智能体 English
位置: 首页 > 多克隆抗体 > Smad1/Smad5/Smad8 Polyclonal Antibody

Smad1/Smad5/Smad8 Polyclonal Antibody #21684

是否有货: 有货
产品详情

产品名称Smad1/Smad5/Smad8 Polyclonal Antibody

来源种属Rabbit

克隆性Polyclonal

应用WB;IHC;IF;ELISA

种属反应性Human;Mouse;Rat

特异性The antibody detects endogenous level of total Smad1, Smad5, Smad8 protein.

免疫原类型Peptide-KLH

免疫原描述Peptide sequence around aa.461-465(I-S-S-V-S) derived from Human Smad1. This sequence has the same homology in Smad5 and Smad8.

基因/蛋白名称Smad1/Smad5/Smad8

标记Unconjugated

别名 Mad-related protein 1, SMAD 1, hSMAD1, Transforming growth factor-beta-signaling protein 1,

Uniprot Q15797

计算分子量52kDa

实际分子量56kDa-60kDa

浓度1.0mg/ml

应用详情
WB 1:1000-1:5000; IHC 1:1000-1:4000; IF 1:200-1:1000; ELISA 1:5000-1:20000;
Western blot analysis of extracts from NIH-3T3 cells using Smad1/Smad5/Smad8 Antibody.
Western blot analysis of extracts from Hela cells using Smad1/Smad5/Smad8 Antibody.
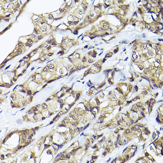
Immunohistochemistry analysis of paraffin-embedded Human breast cancer tissue using Smad1/Smad5/Smad8 Antibody.
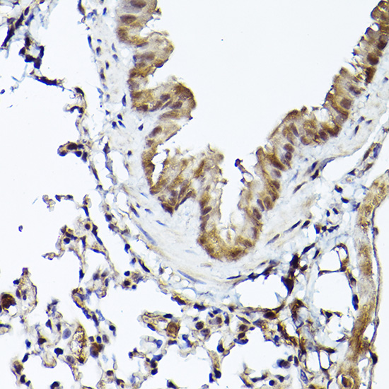
Immunohistochemistry analysis of paraffin-embedded Mouse lung tissue using Smad1/Smad5/Smad8 Antibody.
Immunofluorescence analysis of HEK293 cells using Smad1/Smad5/Smad8 Antibody. Picture A:Target (red). Picture B: DAPI (blue). Picture C: Merge of A+B
Immunofluorescence staining of methanol-fixed Hela cells using Smad1/Smad5/Smad8 Antibody.
Transcriptional modulator activated by BMP (bone morphogenetic proteins) type 1 receptor kinase. SMAD1 is a receptor-regulated SMAD (R-SMAD).SMAD5 is a receptor-regulated SMAD (R-SMAD). SMAD9 is a receptor-regulated SMAD (R-SMAD). Has been shown to be activated by activin type I receptor-like kinases (ALK-2, ALK-3, ALK-6) which stimulate heteromerization between SMAD9 and SMAD4. May play a role in osteoblast differentiation and maturation.

如果您使用该产品21684发表了文章,请通知我们,让我们可以引用您的文献。

et al,Inhibition of TGF尾 signaling decreases osteogenic differentiation of fibrodysplasia ossificans progressiva fibroblasts in a novel in vitro model of the disease.In Bone.On 2016 Mar by Micha D, Voermans E et al..PMID:26769004 , (2016),
PMID: 26769004
et al,Vital Roles of Gremlin-1 in Pulmonary Arterial Hypertension Induced by Systemic-to-Pulmonary Shunts. In J Am Heart Assoc on 2020 Aug 4 by Liukun Meng, Xiao Teng, et al..PMID: 32750294 , (2020),
PMID: 32750294
et al,Hepatoprotective and neuroprotective effects of quinacrine against bile duct ligation-induced hepatic encephalopathy in rats: Role of bone morphogenetic proteins signaling. In Life Sci on 2024 Nov 12 by Manar M Esmail, Noha M Saeed,et al..PMID:39537098 , (2024),
PMID: 39537098

注释

应用

  • WB免疫印迹
  • IHC免疫组化
  • IF免疫荧光
  • ICC免疫细胞化学
  • FC流式细胞
  • IP免疫沉淀
  • E酶联免疫吸附法
  • DB免疫斑点法
  • ChIP染色质免疫沉淀
  • GICA胶体金免疫层析法
  • NC阴性对照

种属反应性

  • Hu
  • Ms小鼠
  • Rt大鼠
  • Dm果蝇
  • C线虫
  • Mk
  • Rb
  • B
  • D
  • P
  • Hm仓鼠
  • ChHm中国仓鼠
  • Chk
;

联系我们

Location :

南京市高新开发区星火路10号人才大厦C座

Phone :

400-9961-933
025-58868422

Email Address

info@sabbiotech.com