免费电话:400-9961-933
邮箱:info@sabbiotech.com
欢迎光临本站
川博智能体 English
位置: 首页 > 多克隆抗体 > CD314 antibody

CD314 antibody #22384

是否有货: 有货
产品详情

产品名称CD314 antibody

来源种属Rabbit

克隆性Polyclonal

纯化Purified by antigen-affinity chromatography.

应用WB IHC

种属反应性Human

免疫原类型Peptide

免疫原描述Synthetic peptide contain a sequence corresponding to a region within amino acids 86 and 147 of CD314

基因/蛋白名称CD314

标记Unconjugated

数据库入口号NCBI Gene ID: 22914
NCBI mRNA#: NM_007360
NCBI Protein#: NP_031386

浓度0.8mg/ml

配方Supplied in 1XPBS, 40% Glycerol (pH7.0). 0.01% Thimerosal was added as a preservative.

保存Store at -20˚C for long term preservation (recommended). Store at 4˚C for short term use.

应用详情
Predicted MW: 25kd
Western blotting: 1:500-1:3000
Immunohistochemistry: 1:50-1:500
Sample (30 ug of whole cell lysate)
A: A549
12% SDS PAGE
CD314 antibody diluted at 1: 1000
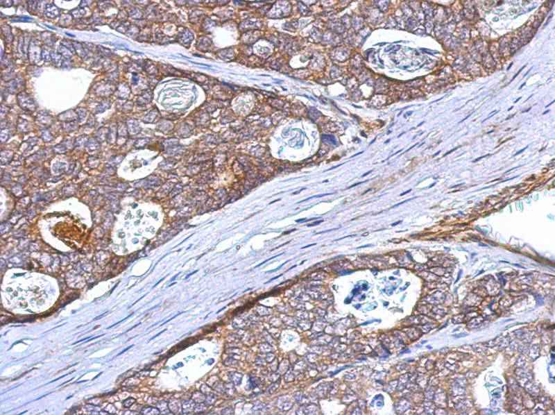
Immunohistochemical analysis of paraffin-embedded Gastric ca, using NKG2D antibody at 1: 500 dilution.
Natural killer (NK) cells are lymphocytes that can mediate lysis of certain tumor cells and virus-infected cells without previous activation. They can also regulate specific humoral and cell-mediated immunity. NK cells preferentially express several calcium-dependent (C-type) lectins, which have been implicated in the regulation of NK cell function. This gene encodes a member of the NKG2 family, and the encoded transmembrane protein is characterized by a type II membrane orientation (extracellular C terminus) and the presence of a C-type lectin domain. The NKG2 gene family is located within the NK complex, a region that contains several C-type lectin genes preferentially expressed in NK cells. [provided by RefSeq]

如果您使用该产品22384发表了文章,请通知我们,让我们可以引用您的文献。

et al,Molecular Imaging of B7–H3–Targeting Bispecific T Cell–Engaging Antibody MGD009 in Glioblastoma Models , (2025),
PMID: 40183579

注释

应用

  • WB免疫印迹
  • IHC免疫组化
  • IF免疫荧光
  • ICC免疫细胞化学
  • FC流式细胞
  • IP免疫沉淀
  • E酶联免疫吸附法
  • DB免疫斑点法
  • ChIP染色质免疫沉淀
  • GICA胶体金免疫层析法
  • NC阴性对照

种属反应性

  • Hu
  • Ms小鼠
  • Rt大鼠
  • Dm果蝇
  • C线虫
  • Mk
  • Rb
  • B
  • D
  • P
  • Hm仓鼠
  • ChHm中国仓鼠
  • Chk
;

联系我们

Location :

南京市高新开发区星火路10号人才大厦C座

Phone :

400-9961-933
025-58868422

Email Address

info@sabbiotech.com