免费电话:400-9961-933
邮箱:info@sabbiotech.com
欢迎光临本站
川博智能体 English
位置: 首页 > 多克隆抗体 > GSTA1 antibody

GSTA1 antibody #22536

是否有货: 有货
产品详情

产品名称GSTA1 antibody

来源种属Rabbit

克隆性Polyclonal

纯化Affinity purified by Protein A.

应用WB IHC IF

种属反应性Human

基因/蛋白名称GSTA1

标记Unconjugated

别名GST2; GSTA1-1; GTH1; MGC131939

数据库入口号NCBI Gene ID: 2938
NCBI mRNA#:
NCBI Protein#:

浓度6mg/ml

配方Supplied in 0.1M Tris-buffered saline with 10% Glycerol (pH7.0). 0.01% Thimerosal was added as a preservative.

保存Store at -20˚C for long term preservation (recommended). Store at 4˚C for short term use.

应用详情
Predicted MW: 26kd
Western blotting: 1:500-1:3000
Immunohistochemistry: 1:100-1:250
Immunofluorescence: 1:100-1:200
Sample (30 ug of whole cell lysate)
A: Hep G2
12% SDS PAGE
GSTA1 antibody diluted at 1: 1000
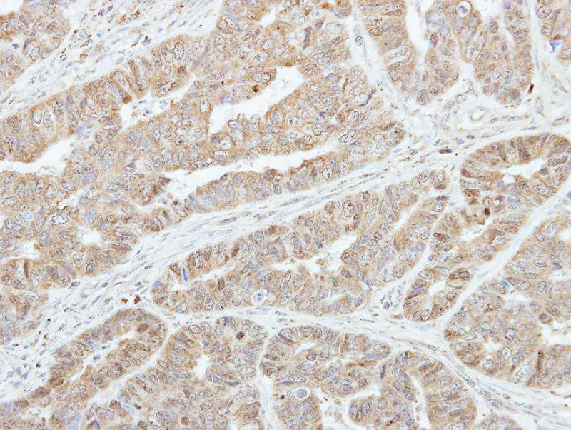
Immunohistochemical analysis of paraffin-embedded Colon ca, using GSTA1 antibody at 1: 250 dilution.
Immunofluorescence analysis of methanol-fixed Hep3B, using GSTA1 antibody at 1: 500 dilution.
Cytosolic and membrane-bound forms of glutathione S-transferase are encoded by two distinct supergene families. These enzymes function in the detoxification of electrophilic compounds, including carcinogens, therapeutic drugs, environmental toxins and products of oxidative stress, by conjugation with glutathione. The genes encoding these enzymes are known to be highly polymorphic. These genetic variations can change an individual's susceptibility to carcinogens and toxins as well as affect the toxicity and efficacy of some drugs. At present, eight distinct classes of the soluble cytoplasmic mammalian glutathione S-transferases have been identified: alpha, kappa, mu, omega, pi, sigma, theta and zeta. This gene encodes a glutathione S-tranferase belonging to the alpha class. The alpha class genes, located in a cluster mapped to chromosome 6, are the most abundantly expressed glutathione S-transferases in liver. In addition to metabolizing bilirubin and certain anti-cancer drugs in the liver, the alpha class of these enzymes exhibit glutathione peroxidase activity thereby protecting the cells from reactive oxygen species and the products of peroxidation. [provided by RefSeq]

如果您使用该产品22536发表了文章,请通知我们,让我们可以引用您的文献。

et al,DDAH1 Protects against Acetaminophen-Induced Liver Hepatoxicity in Mice . In Antioxidants (Basel) on 2022 Apr 29 by Xiyue Shen, Saddam Muhammad Ishaq, et al..PMID:35624743 , (2022),
PMID: 35624743

注释

应用

  • WB免疫印迹
  • IHC免疫组化
  • IF免疫荧光
  • ICC免疫细胞化学
  • FC流式细胞
  • IP免疫沉淀
  • E酶联免疫吸附法
  • DB免疫斑点法
  • ChIP染色质免疫沉淀
  • GICA胶体金免疫层析法
  • NC阴性对照

种属反应性

  • Hu
  • Ms小鼠
  • Rt大鼠
  • Dm果蝇
  • C线虫
  • Mk
  • Rb
  • B
  • D
  • P
  • Hm仓鼠
  • ChHm中国仓鼠
  • Chk
;

联系我们

Location :

南京市高新开发区星火路10号人才大厦C座

Phone :

400-9961-933
025-58868422

Email Address

info@sabbiotech.com