免费电话:400-9961-933
邮箱:info@sabbiotech.com
欢迎光临本站
川博智能体 English
位置: 首页 > 多克隆抗体 > ZO-1 antibody

ZO-1 antibody #22572

是否有货: 有货
产品详情

产品名称ZO-1 antibody

来源种属Rabbit

克隆性Polyclonal

纯化Purified by antigen-affinity chromatography.

应用WB IHC

种属反应性Human

免疫原类型Recombinant protein

免疫原描述Recombinant protein fragment contain a sequence corresponding to a region within amino acids 1 and 266 of Human TJP1

基因/蛋白名称ZO-1

标记Unconjugated

数据库入口号NCBI Gene ID: 7082
NCBI mRNA#: NM_175610
NCBI Protein#: NP_783297

浓度1mg/ml

配方Supplied in 0.1M Tris-buffered saline with 10% Glycerol (pH7.0). 0.01% Thimerosal was added as a preservative.

保存Store at -20˚C for long term preservation (recommended). Store at 4˚C for short term use.

应用详情
Predicted MW: 187kd
Western blotting: 1:500-1:3000
Immunohistochemistry: 1:100-1:250
Sample(30 ug whole cell lysate)
A: H1299
5% SDS PAGE
Primary antibody diluted at 1: 3000
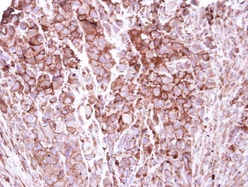
Immunohistochemical analysis of paraffin-embedded H661 xenograft, using ZO-1 antibody at 1: 250 dilution.
This gene encodes a protein located on a cytoplasmic membrane surface of intercellular tight junctions. The encoded protein may be involved in signal transduction at cell-cell junctions. Two transcript variants encoding distinct isoforms have been identified for this gene. [provided by RefSeq]

如果您使用该产品22572发表了文章,请通知我们,让我们可以引用您的文献。

et al,Identification of Bioactive Compounds and Potential Mechanisms of Fuzi in the Treatment of Ulcerative Colitis by Integrating Network Pharmacology and Experimental Validation. , (2025),
PMID: 40101980
et al,Dynamic Impacts of Stock Enhancement on Kaluga Sturgeon (Huso dauricus): Novel Conservation Strategy Insights from the Gut Microbe Composition and Gene Expression Mode. , (2025),
PMID: 40003945

注释

应用

  • WB免疫印迹
  • IHC免疫组化
  • IF免疫荧光
  • ICC免疫细胞化学
  • FC流式细胞
  • IP免疫沉淀
  • E酶联免疫吸附法
  • DB免疫斑点法
  • ChIP染色质免疫沉淀
  • GICA胶体金免疫层析法
  • NC阴性对照

种属反应性

  • Hu
  • Ms小鼠
  • Rt大鼠
  • Dm果蝇
  • C线虫
  • Mk
  • Rb
  • B
  • D
  • P
  • Hm仓鼠
  • ChHm中国仓鼠
  • Chk
;

联系我们

Location :

南京市高新开发区星火路10号人才大厦C座

Phone :

400-9961-933
025-58868422

Email Address

info@sabbiotech.com