免费电话:400-9961-933
邮箱:info@sabbiotech.com
欢迎光临本站
川博智能体 English
位置: 首页 > 多克隆抗体 > Chromogranin C antibody

Chromogranin C antibody #22573

是否有货: 有货
产品详情

产品名称Chromogranin C antibody

来源种属Rabbit

克隆性Polyclonal

纯化Purified by antigen-affinity chromatography.

应用WB IHC

种属反应性Human

免疫原类型Recombinant protein

免疫原描述Recombinant protein fragment contain a sequence corresponding to a region within amino acids 272 and 552 of Chromogranin C

基因/蛋白名称Chromogranin C

标记Unconjugated

数据库入口号NCBI Gene ID: 7857
NCBI mRNA#: BC022509
NCBI Protein#: AAH22509

浓度0.5mg/ml

配方Supplied in 0.1M Tris-buffered saline with 20% Glycerol (pH7.0). 0.01% Thimerosal was added as a preservative.

保存Store at -20˚C for long term preservation (recommended). Store at 4˚C for short term use.

应用详情
Predicted MW: 71kd
Western blotting: 1:500-1:3000
Immunohistochemistry: 1:100-1:250
Sample (30 ug of whole cell lysate)
A: NT2D1
B: IMR32
C: U87-MG
7.5% SDS PAGE
Primary antibody diluted at 1: 1000
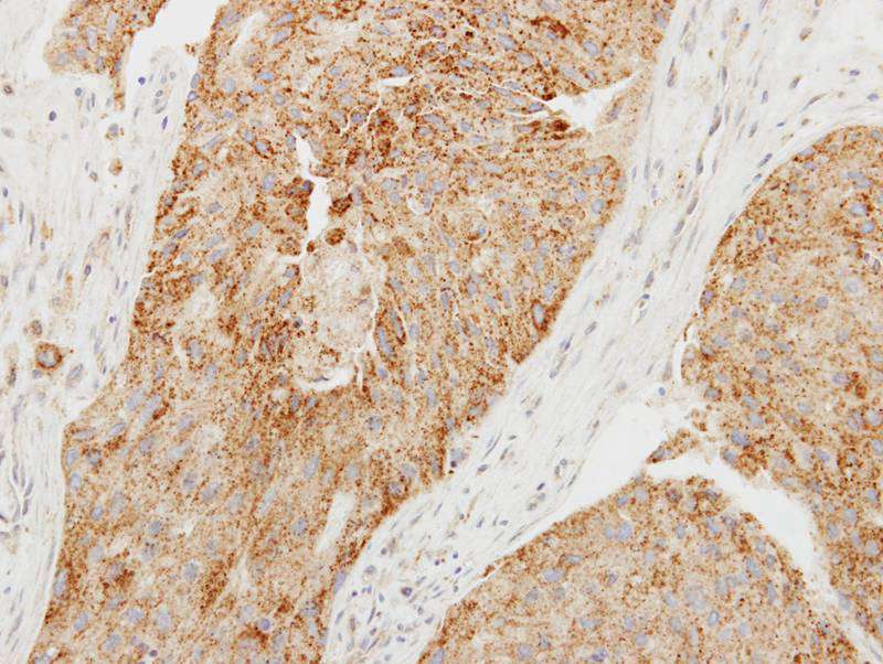
Immunohistochemical analysis of paraffin-embedded Breast ca, using Chromogranin C antibody at 1: 250 dilution.
The protein encoded by this gene is a member of the chromogranin/secretogranin family of neuroendocrine secretory proteins. Studies in rodents suggest that the full-length protein, secretogranin II, is involved in the packaging or sorting of peptide hormones and neuropeptides into secretory vesicles. The full-length protein is cleaved to produce the active peptide secretoneurin, which exerts chemotaxic effects on specific cell types, and EM66, whose function is unknown. [provided by RefSeq]

如果您使用该产品22573发表了文章,请通知我们,让我们可以引用您的文献。

et al,Multifunctional Inorganic-Nanosheets-Based Nanohydrogel for Periodontal Bone Regeneration via Antibacterial and Anti-Ferroptotic Immunomodulation , (2025),
PMID: 41250788

注释

应用

  • WB免疫印迹
  • IHC免疫组化
  • IF免疫荧光
  • ICC免疫细胞化学
  • FC流式细胞
  • IP免疫沉淀
  • E酶联免疫吸附法
  • DB免疫斑点法
  • ChIP染色质免疫沉淀
  • GICA胶体金免疫层析法
  • NC阴性对照

种属反应性

  • Hu
  • Ms小鼠
  • Rt大鼠
  • Dm果蝇
  • C线虫
  • Mk
  • Rb
  • B
  • D
  • P
  • Hm仓鼠
  • ChHm中国仓鼠
  • Chk
;

联系我们

Location :

南京市高新开发区星火路10号人才大厦C座

Phone :

400-9961-933
025-58868422

Email Address

info@sabbiotech.com