免费电话:400-9961-933
邮箱:info@sabbiotech.com
欢迎光临本站
川博智能体 English
位置: 首页 > 多克隆抗体 > Beta Actin antibody

Beta Actin antibody#22957

是否有货: 有货
产品详情

产品名称Beta Actin antibody

来源种属Rabbit

克隆性Polyclonal

纯化Purified by antigen-affinity chromatography.

应用WB IHC IF

种属反应性Human

免疫原类型Peptide

免疫原描述A synthesized peptide derived from human beta Actin

基因/蛋白名称Beta Actin

标记Unconjugated

数据库入口号NCBI Gene ID: 60
NCBI mRNA#: NM_001101
NCBI Protein#: NP_001092

浓度1mg/ml

配方Rabbit IgG in 10mM phosphate buffered saline , pH 7.4, 150mM sodium chloride, 0.05% BSA, 0.02% sodium azide and 50% glycerol.

保存Store at -20˚C for long term preservation (recommended). Store at 4˚C for short term use.

应用详情

Predicted MW: 42kd
Western blotting: 1:500-1:3000
Immunohistochemistry: 1:100-1:250
Immunofluorescence: 1:100-1:200
 

Sample (30 ug of whole cell lysate)
A: A431
B: H1299
10% SDS PAGE
Primary antibody diluted at 1: 1000
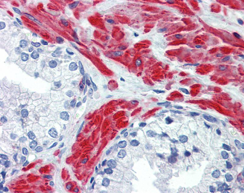
Immunohistochemical analysis of paraffin-embedded Prostate, using beta Actin antibody(10 ug/ml).
Confocal immunofluorescence analysis (Olympus FV10i) of methanol-fixed HeLa, using beta Actin antibody (Green) at 1: 500 dilution and alpha-tubulin antibody (Red) at 1: 2000.

This gene encodes one of six different actin proteins. Actins are highly conserved proteins that are involved in cell motility, structure, and integrity. This actin is a major constituent of the contractile apparatus and one of the two nonmuscle cytoskeletal actins. [provided by RefSeq]

如果您使用该产品22957发表了文章,请通知我们,让我们可以引用您的文献。

et al,Tumor cell membrane enveloped aluminum phosphate nanoparticles for enhanced cancer vaccination , (2020),
PMID: 32659330
et al,Bioinformatics and validation reveal the potential target of curcumin in the treatment of diabetic peripheral neuropathy , (2024),
PMID:
et al,Effect of silencing CD147 on glycolysis in prostate cancer LNCaP cells , (2023),
PMID:
et al,Pan-cancer analysis of role of LOXL4 and experiment validation in osteosarcoma , (2025),
PMID: 41118012

注释

应用

  • WB免疫印迹
  • IHC免疫组化
  • IF免疫荧光
  • ICC免疫细胞化学
  • FC流式细胞
  • IP免疫沉淀
  • E酶联免疫吸附法
  • DB免疫斑点法
  • ChIP染色质免疫沉淀
  • GICA胶体金免疫层析法
  • NC阴性对照

种属反应性

  • Hu
  • Ms小鼠
  • Rt大鼠
  • Dm果蝇
  • C线虫
  • Mk
  • Rb
  • B
  • D
  • P
  • Hm仓鼠
  • ChHm中国仓鼠
  • Chk
;

联系我们

Location :

南京市高新开发区星火路10号人才大厦C座

Phone :

400-9961-933
025-58868422

Email Address

info@sabbiotech.com