免费电话:400-9961-933
邮箱:info@sabbiotech.com
欢迎光临本站
川博智能体 English
位置: 首页 > 多克隆抗体 > pan-Cytokeratin antibody

pan-Cytokeratin antibody #23032

是否有货: 有货
产品详情

产品名称pan-Cytokeratin antibody

来源种属Rabbit

克隆性Polyclonal

纯化Purified by antigen-affinity chromatography.

应用WB IHC

种属反应性Human;Mouse;Rat

免疫原描述A synthesized peptide derived from human Keratin 10

基因/蛋白名称pan-Cytokeratin

标记Unconjugated

数据库入口号NCBI Gene ID: 3858
NCBI mRNA#: NM_000421
NCBI Protein#: NP_000412

浓度1mg/ml

配方Rabbit IgG in phosphate buffered saline , pH 7.4, 150mM NaCl, 0.02% sodium azide and 50% glycerol.

保存Store at -20˚C for long term preservation (recommended). Store at 4˚C for short term use.

应用详情

Predicted MW: 59kd
Western blotting: 1:500-1:3000
Immunohistochemistry: 1:100-1:500

Western blot analysis of extracts of hela cell lines,using Keratin 10 antibody.The lane on the left is treated with the antigen-specific peptide.
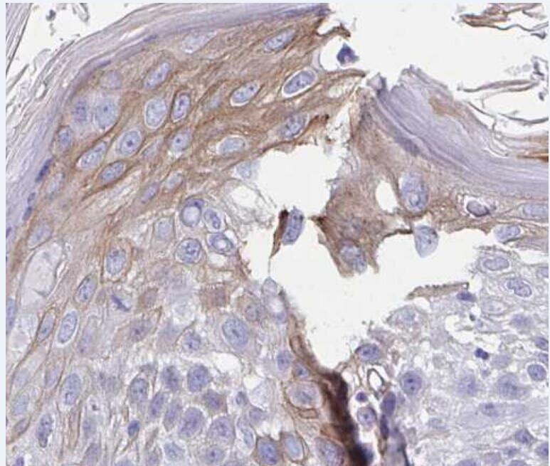
Immunohistochemical analysis of paraffin-embedded human breast cancer tissue, antibody was diluted at 1:200

This gene encodes a member of the type I (acidic) cytokeratin family, which belongs to the superfamily of intermediate filament (IF) proteins. Keratins are heteropolymeric structural proteins which form the intermediate filament. These filaments, along with actin microfilaments and microtubules, compose the cytoskeleton of epithelial cells. Mutations in this gene are associated with epidermolytic hyperkeratosis. This gene is located within a cluster of keratin family members on chromosome 17q21. [provided by RefSeq]

如果您使用该产品23032发表了文章,请通知我们,让我们可以引用您的文献。

et al, MicroRNA-145 inhibits lung cancer cell metastasis.In Mol Med Rep on 2015 Apr by Dong-Jin Ling, Zhong-Shu Chen et al..PMID:25483817 , (2015),
PMID: 25483817
et al, Octamer-binding protein 4 affects the cell biology and phenotypic transition of lung cancer cells involving 尾-catenin/E-cadherin complex degradation.In Mol Med Rep on 2015 Mar by Zhong-Shu Chen, Dong-Jin Ling et al..PMID: 25420671 , (2015),
PMID: 25420671

注释

应用

  • WB免疫印迹
  • IHC免疫组化
  • IF免疫荧光
  • ICC免疫细胞化学
  • FC流式细胞
  • IP免疫沉淀
  • E酶联免疫吸附法
  • DB免疫斑点法
  • ChIP染色质免疫沉淀
  • GICA胶体金免疫层析法
  • NC阴性对照

种属反应性

  • Hu
  • Ms小鼠
  • Rt大鼠
  • Dm果蝇
  • C线虫
  • Mk
  • Rb
  • B
  • D
  • P
  • Hm仓鼠
  • ChHm中国仓鼠
  • Chk
;

联系我们

Location :

南京市高新开发区星火路10号人才大厦C座

Phone :

400-9961-933
025-58868422

Email Address

info@sabbiotech.com