免费电话:400-9961-933
邮箱:info@sabbiotech.com
欢迎光临本站
川博智能体 English
位置: 首页 > 多克隆抗体 > PDE4D antibody

PDE4D antibody #23049

是否有货: 有货
产品详情

产品名称PDE4D antibody

来源种属Rabbit

克隆性Polyclonal

纯化Purified by antigen-affinity chromatography.

应用WB IHC IF

种属反应性Human

免疫原类型Peptide

免疫原描述Synthetic peptide contain a sequence corresponding to a region within amino acids 610 and 673 of PDE4D

基因/蛋白名称PDE4D

标记Unconjugated

别名DPDE3; STRK1; HSPDE4D; PDE4DN2

数据库入口号NCBI Gene ID: 5144
NCBI mRNA#: NM_006203
NCBI Protein#: NP_006194

浓度0.3mg/ml

配方Supplied in 0.1M Tris-buffered saline with 10% Glycerol (pH7.0). 0.01% Thimerosal was added as a preservative.

保存Store at -20˚C for long term preservation (recommended). Store at 4˚C for short term use.

应用详情
Predicted MW: 76kd
Western blotting: 1:500-1:3000
Immunohistochemistry: 1:100-1:250
Immunofluorescence: 1:100-1:200
Sample (30 ug of whole cell lysate)
A: A431
B: HeLa
7.5% SDS PAGE
Primary antibody diluted at 1: 1000
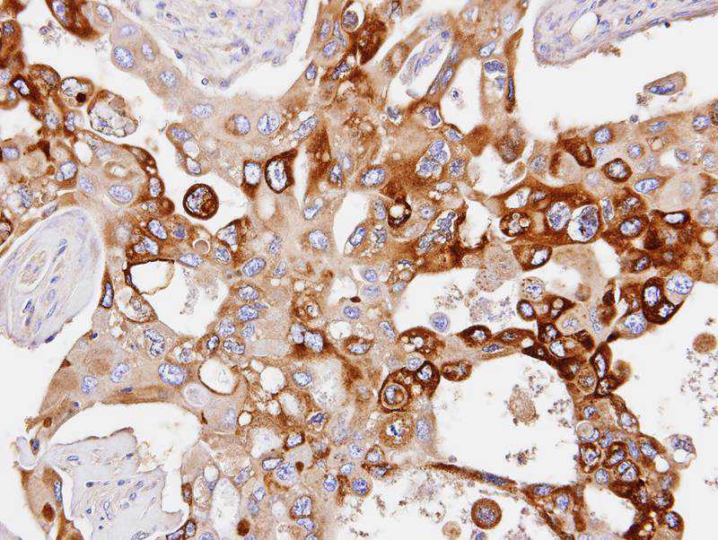
Immunohistochemical analysis of paraffin-embedded H441 xenograft, using PDE4D antibody at 1: 100 dilution.
Confocal immunofluorescence analysis (Olympus FV10i) of paraformaldehyde-fixed A431, using PDE4D antibody (Green) at 1: 500 dilution and alpha-tubulin antibody (Red) at 1: 500.
The PDE4D gene is complex and has at least 9 different isoforms that encode functional proteins. These proteins degrade the second messenger cAMP, which is a key signal transduction molecule in multiple cell types, including vascular cells (Dominiczak and McBride, 2003 [PubMed 14517535]).[supplied by OMIM]

如果您使用该产品23049发表了文章,请通知我们,让我们可以引用您的文献。

et al,Inhibition of TPL2 by interferon-α suppresses bladder cancer through activation of PDE4D.In J Exp Clin Cancer Res. On 2018 Nov 27 by Qiang Z, Zhou ZY et al..PMID: 30482227 , (2018),
PMID: 30482227

注释

应用

  • WB免疫印迹
  • IHC免疫组化
  • IF免疫荧光
  • ICC免疫细胞化学
  • FC流式细胞
  • IP免疫沉淀
  • E酶联免疫吸附法
  • DB免疫斑点法
  • ChIP染色质免疫沉淀
  • GICA胶体金免疫层析法
  • NC阴性对照

种属反应性

  • Hu
  • Ms小鼠
  • Rt大鼠
  • Dm果蝇
  • C线虫
  • Mk
  • Rb
  • B
  • D
  • P
  • Hm仓鼠
  • ChHm中国仓鼠
  • Chk
;

联系我们

Location :

南京市高新开发区星火路10号人才大厦C座

Phone :

400-9961-933
025-58868422

Email Address

info@sabbiotech.com