免费电话:400-9961-933
邮箱:info@sabbiotech.com
欢迎光临本站
川博智能体 English
位置: 首页 > 多克隆抗体 > RAR-gamma antibody

RAR-gamma antibody #23066

是否有货: 有货
产品详情

产品名称RAR-gamma antibody

来源种属Rabbit

克隆性Polyclonal

纯化Purified by antigen-affinity chromatography.

应用WB IHC IF

种属反应性Human;Mouse

免疫原类型Recombinant protein

免疫原描述Recombinant protein fragment contain a sequence corresponding to a region within amino acids 119 and 439 of RAR-gamma

基因/蛋白名称RAR-gamma

标记Unconjugated

数据库入口号NCBI Gene ID: 5916
NCBI mRNA#: NM_000966
NCBI Protein#: NP_000957

浓度1mg/ml

配方Supplied in 0.1M Tris-buffered saline with 10% Glycerol (pH7.0). 0.01% Thimerosal was added as a preservative.

保存Store at -20˚C for long term preservation (recommended). Store at 4˚C for short term use.

应用详情
Predicted MW: 50kd
Western blotting: 1:500-1:3000
Immunohistochemistry: 1:100-1:250
Immunofluorescence: 1:100-1:200
Sample(30 ug whole cell lysate)
A: Raji
7.5% SDS PAGE
Primary antibody diluted at 1: 1000
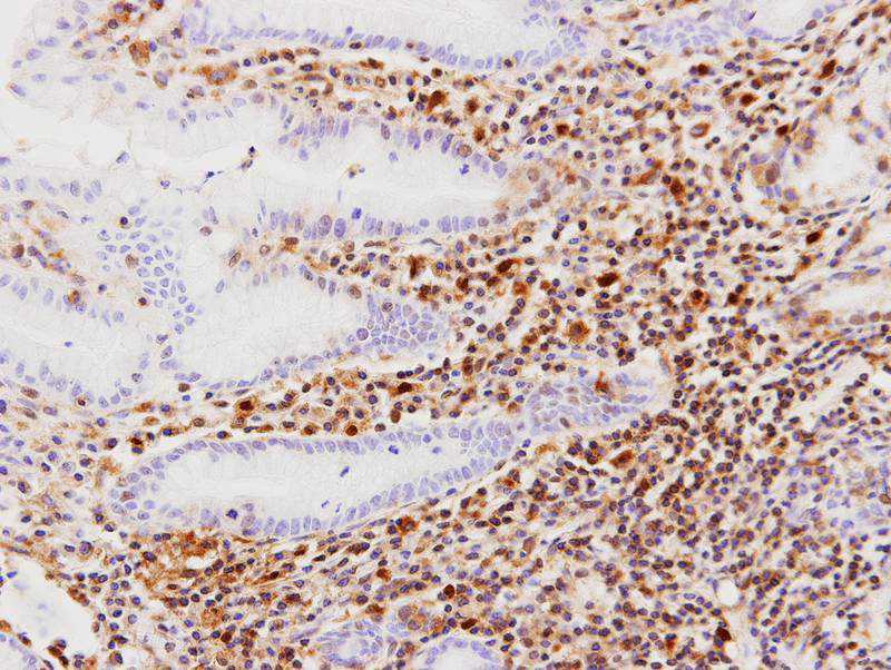
Immunohistochemical analysis of paraffin-embedded gastric cancer, using Retinoic Acid Receptor gamma antibody at 1: 100 dilution.
Immunofluorescence analysis of paraformaldehyde-fixed HeLa, using RAR-gamma antibody at 1: 200 dilution.
Retinoic acid receptors (RARs), such as RARG, are nuclear hormone receptors that act as ligand-dependent transcriptional regulators. In their liganded state, RARs activate transcription, whereas in their nonliganded form, they repress transcription of their target genes. RARs have numerous target genes, which have retinoic response elements in their promoter regions (summary by Walkley et al., 2007 [PubMed 17574023]).[supplied by OMIM]

如果您使用该产品23066发表了文章,请通知我们,让我们可以引用您的文献。

et al,De novo-synthesized retinoic acid in ovarian antral follicles enhances FSH-mediated ovarian follicular cell differentiation and female fertility.In Endocrinology on 2016 May by Tomoko Kawai , Noriyuki Yanaka et al..PMID: 27022678 , (2016),
PMID: 27022678

注释

应用

  • WB免疫印迹
  • IHC免疫组化
  • IF免疫荧光
  • ICC免疫细胞化学
  • FC流式细胞
  • IP免疫沉淀
  • E酶联免疫吸附法
  • DB免疫斑点法
  • ChIP染色质免疫沉淀
  • GICA胶体金免疫层析法
  • NC阴性对照

种属反应性

  • Hu
  • Ms小鼠
  • Rt大鼠
  • Dm果蝇
  • C线虫
  • Mk
  • Rb
  • B
  • D
  • P
  • Hm仓鼠
  • ChHm中国仓鼠
  • Chk
;

联系我们

Location :

南京市高新开发区星火路10号人才大厦C座

Phone :

400-9961-933
025-58868422

Email Address

info@sabbiotech.com