免费电话:400-9961-933
邮箱:info@sabbiotech.com
欢迎光临本站
川博智能体 English
位置: 首页 > 多克隆抗体 > Survivin Antibody

Survivin Antibody #24092

是否有货: 有货
产品详情

产品名称Survivin Antibody

来源种属Rabbit

克隆性Polyclonal

纯化Affinity chromatography purified via peptide column

应用ELISA WB ICC

种属反应性Human

免疫原类型Peptide

免疫原描述Raised against a peptide corresponding to amino acids near the amino terminus of human survivin.

基因/蛋白名称Survivin

标记Unconjugated

别名TIAP

数据库入口号NP_001159

浓度1mg/ml

配方Supplied in PBS containing 0.02% sodium azide.

保存Can be stored at -20˚C, stable for one year. As with all antibodies care should be taken to avoid repeated freeze thaw cycles. Antibodies should not be exposed to prolonged high temperatures.

应用详情
Predicted MW: 17 kd
Western blot analysis of Survivin in MOLT4 cell lysate with Survivin antibody at (A) 1 and (B) 2 ug/mL.
Immunocytochemistry of Survivin in Jurkat cells with Survivin antibody at 5 ug/mL.
Immunofluorescence of Survivin in mouse brain tissue with Survivin Antibodyat 20 μg/mL.
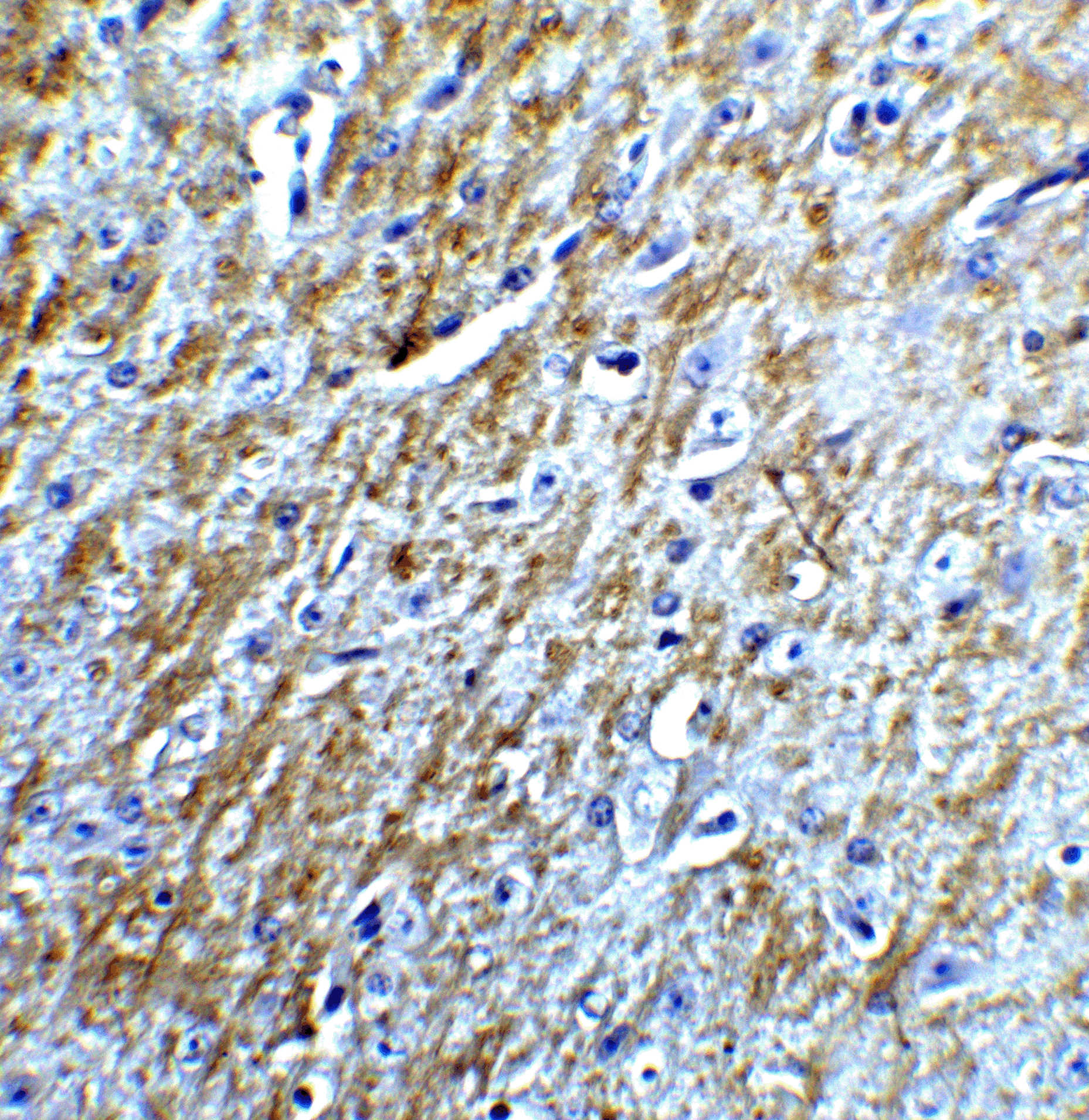
Immunohistochemistry of Survivin in mouse brain tissue with Survivin Antibodyat 5 μg/mL.
Apoptosis, or programmed cell death, is related to many diseases, such as cancer. Apoptosis is triggered by a variety of stimuli including members in the TNF family and prevented by the inhibitor of apoptosis (IAP) proteins. IAP proteins form a conserved gene family that binds to and inhibits cell death proteases. A novel IAP protein was recently identified and designated survivin, apoptosis inhibitor 4 (API4), and TIAP. Survivin/TIAP interacted with the processed form of caspase-3 and inhibited its proteolytic activity. Survivin/TIAP is predominantly expressed in tissues of embryos, transformed cell lines, and many human cancers and lymphomas.

如果您使用该产品24092发表了文章,请通知我们,让我们可以引用您的文献。

et al,A thiazole-derived oridonIn analogue exhibits antitumor activity by directly and allosterically InhibitIng STAT3. In J Biol Chem on 2019 Nov 15;by Shen X, Zhao L,et al..PMID:31594861 , (2019),
PMID: 31594861

注释

应用

  • WB免疫印迹
  • IHC免疫组化
  • IF免疫荧光
  • ICC免疫细胞化学
  • FC流式细胞
  • IP免疫沉淀
  • E酶联免疫吸附法
  • DB免疫斑点法
  • ChIP染色质免疫沉淀
  • GICA胶体金免疫层析法
  • NC阴性对照

种属反应性

  • Hu
  • Ms小鼠
  • Rt大鼠
  • Dm果蝇
  • C线虫
  • Mk
  • Rb
  • B
  • D
  • P
  • Hm仓鼠
  • ChHm中国仓鼠
  • Chk
;

联系我们

Location :

南京市高新开发区星火路10号人才大厦C座

Phone :

400-9961-933
025-58868422

Email Address

info@sabbiotech.com