免费电话:400-9961-933
邮箱:info@sabbiotech.com
欢迎光临本站
川博智能体 English
位置: 首页 > 多克隆抗体 > TLR2 Antibody

TLR2 Antibody #24192

是否有货: 有货
产品详情

产品名称TLR2 Antibody

来源种属Rabbit

克隆性Polyclonal

纯化TLR2 Antibody is affinity chromatography purified via peptide column.

应用ELISA WB IHC

种属反应性Human;Mouse

免疫原类型Peptide

免疫原描述Raised against a peptide corresponding to 14 amino acids near the amino terminus of human TLR2.

基因/蛋白名称TLR2

标记Unconjugated

别名TIRAP, MAL, TIR domain containing adaptor protein

数据库入口号O60603

Uniprot O60603

浓度1mg/ml

配方Supplied in PBS containing 0.02% sodium azide.

保存Can be stored at -20˚C, stable for one year. As with all antibodies care should be taken to avoid repeated freeze thaw cycles. Antibodies should not be exposed to prolonged high temperatures.

应用详情
Western blot analysis of TLR2 in A20 cell lysates with TLR2 antibody at 1 ug/mL in the presence (A) and absence (B) of its blocking peptide.
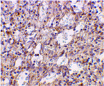
Immunohistochemical staining of human spleen cells using TLR2 antibody at 2 ug/mL.
Toll-like receptors (TLRs) are signaling molecules that recognize different microbial products during infection and serve as an important link between the innate and adaptive immune responses. These proteins act through adaptor molecules such as MyD88 and TIRAP to activate various kinases and transcription factors such as Protein Kinase C (PKC) alpha/beta and NF-κB. TLR2 can form heterodimers with either TLR1 or TLR6, and as a heterodimer can recognize a variety of bacterial and mycoplasma lipoproteins respectively.

如果您使用该产品24192发表了文章,请通知我们,让我们可以引用您的文献。

et al,Single-cell analysis reveals the immune heterogeneity and interactions in lungs undergoing hepatic ischemia-reperfusionInInt ImmunopharmacolOn2023 NovbyChen Zhang1,Mingwei Sheng2, et al..PMID:37844464 , (2023),
PMID: 37844464

注释

应用

  • WB免疫印迹
  • IHC免疫组化
  • IF免疫荧光
  • ICC免疫细胞化学
  • FC流式细胞
  • IP免疫沉淀
  • E酶联免疫吸附法
  • DB免疫斑点法
  • ChIP染色质免疫沉淀
  • GICA胶体金免疫层析法
  • NC阴性对照

种属反应性

  • Hu
  • Ms小鼠
  • Rt大鼠
  • Dm果蝇
  • C线虫
  • Mk
  • Rb
  • B
  • D
  • P
  • Hm仓鼠
  • ChHm中国仓鼠
  • Chk
;

联系我们

Location :

南京市高新开发区星火路10号人才大厦C座

Phone :

400-9961-933
025-58868422

Email Address

info@sabbiotech.com