免费电话:400-9961-933
邮箱:info@sabbiotech.com
欢迎光临本站
川博智能体 English
位置: 首页 > 多克隆抗体 > TLR4 Antibody

TLR4 Antibody #24193

是否有货: 有货
产品详情

产品名称TLR4 Antibody

来源种属Rabbit

克隆性Polyclonal

纯化Affinity chromatography purified via peptide column

应用ELISA IHC

种属反应性Human

特异性TLR4 antibody is predicted to not cross-react with other TLR protein family members.

免疫原类型Peptide

免疫原描述Raised against a 14 amino acid peptide near the carboxy terminus of human TLR4.

基因/蛋白名称TLR4

标记Unconjugated

别名Toll-like receptor 4

数据库入口号NP_612564

浓度1mg/ml

配方Supplied in PBS containing 0.02% sodium azide.

保存Can be stored at -20˚C, stable for one year. As with all antibodies care should be taken to avoid repeated freeze thaw cycles. Antibodies should not be exposed to prolonged high temperatures.

应用详情
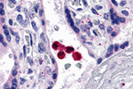
Immunohistochemistry of TLR4 in human placenta tissue with TLR4 antibody at 5 ug/mL.
Toll-like receptors (TLRs) are signaling molecules that recognize different microbial products during infection and serve as an important link between the innate and adaptive immune responses. These proteins act through adaptor molecules such as MyD88 and TIRAP to activate various kinases and transcription factors such as Protein Kinase C (PKC) alpha/beta and NF-κB. Studies with TLR4-deficient mice indicate that the main ligand for TLR is lipopolysaccharide. Consequently, these mice also showed increased susceptibility to Gram-negative sepsis.

如果您使用该产品24193发表了文章,请通知我们,让我们可以引用您的文献。

et al,Phthalide derivative CD21 attenuates tissue plasminogen activator-induced hemorrhagic transformation in ischemic stroke by enhancing macrophage scavenger receptor 1-mediated DAMP (peroxiredoxin 1) clearance , (2021),
PMID: 34162400

注释

应用

  • WB免疫印迹
  • IHC免疫组化
  • IF免疫荧光
  • ICC免疫细胞化学
  • FC流式细胞
  • IP免疫沉淀
  • E酶联免疫吸附法
  • DB免疫斑点法
  • ChIP染色质免疫沉淀
  • GICA胶体金免疫层析法
  • NC阴性对照

种属反应性

  • Hu
  • Ms小鼠
  • Rt大鼠
  • Dm果蝇
  • C线虫
  • Mk
  • Rb
  • B
  • D
  • P
  • Hm仓鼠
  • ChHm中国仓鼠
  • Chk
;

联系我们

Location :

南京市高新开发区星火路10号人才大厦C座

Phone :

400-9961-933
025-58868422

Email Address

info@sabbiotech.com