免费电话:400-9961-933
邮箱:info@sabbiotech.com
欢迎光临本站
川博智能体 English
位置: 首页 > 多克隆抗体 > ATF6 Antibody

ATF6 Antibody #24382

是否有货: 有货
产品详情

产品名称ATF6 Antibody

来源种属Rabbit

克隆性Polyclonal

纯化Affinity chromatography purified via peptide column

应用ELISA WB ICC

种属反应性Human;Mouse

免疫原类型Peptide

免疫原描述Raised against a 16 amino acid peptide from near the carboxy terminus of human ATF6.

基因/蛋白名称ATF6

标记Unconjugated

别名Activating transcription factor 6

数据库入口号NP_031374

浓度1mg/ml

配方Supplied in PBS containing 0.02% sodium azide.

保存Can be stored at -20˚C, stable for one year. As with all antibodies care should be taken to avoid repeated freeze thaw cycles. Antibodies should not be exposed to prolonged high temperatures.

应用详情
Western blot analysis of ATF6 in MCF7 cell lysate with ATF6 antibody at (A) 0.5 and (B) 1 ug/ml.
Immunofluorescence of ATF6 in human breast tissue with ATF6 antibody at 20 μg/ml.
Immunofluorescence of ATF6 in human pancreas tissue with ATF6 antibody at 20 μg/ml.
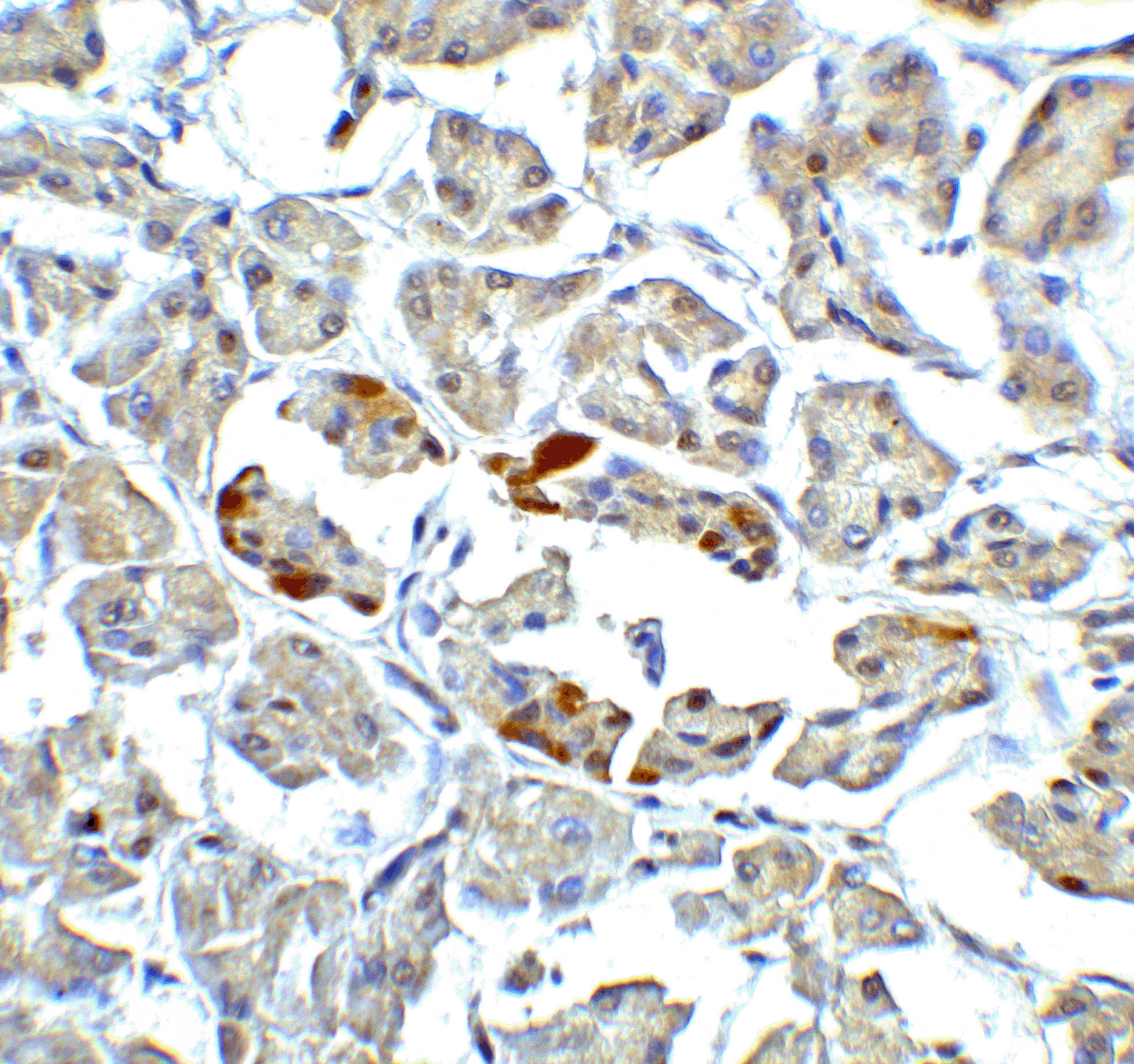
Immunohistochemistry of ATF6 in human breast tissue with ATF6 antibody at 5 μg/ml.
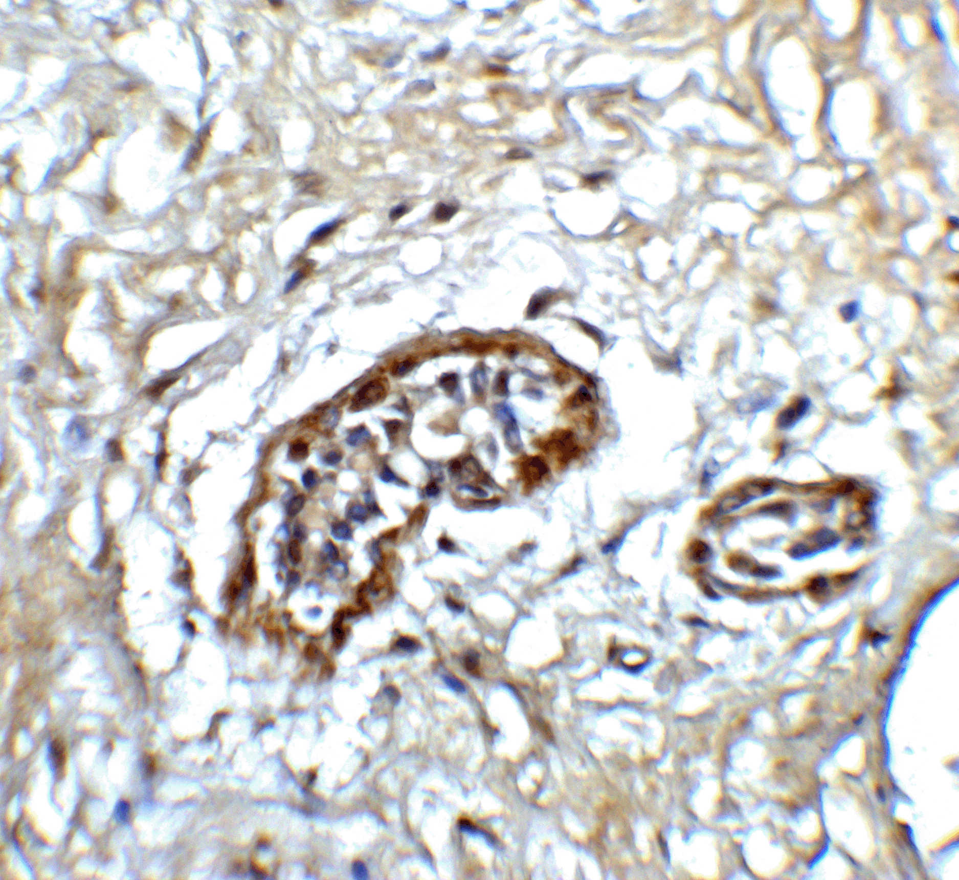
Immunohistochemistry of ATF6 in human pancreas tissue with ATF6 antibody at 5 μg/ml.
Disruptions of protein folding and maturation in the endoplasmic reticulum (ER) result in the activation of the unfolded protein response (UPR), an integrated cellular signaling pathway that transmits information from the ER lumen to the cytoplasm and nucleus. Activating transcription factor 6 (ATF6) as well as the ER-transmembrane protein kinases IRE1p and PERK are the major transducers of the UPR. ATF6 is an ER transmembrane protein that is normally bound to the ER chaperone GRP78, but upon ER stress is released from GRP78 and proteolytically cleaved to yield a cytosolic fragment which then migrates to the nucleus, and together with the transcription factor XBP-1, activates transcription of UPR-responsive genes. ATF6 has two isoforms (ATF6α and ATF6β); only ATF6α is recognized by this antibody.

如果您使用该产品24382发表了文章,请通知我们,让我们可以引用您的文献。

et al,Suppressing endoplasmic reticulum stress-related autophagy attenuates retinal light injury. In Aging (Albany NY) on 2020 Aug 28 by Jing-Yao Song, Bin Fan,et al..PMID: 32858529 , (2020),
PMID: 32858529

注释

应用

  • WB免疫印迹
  • IHC免疫组化
  • IF免疫荧光
  • ICC免疫细胞化学
  • FC流式细胞
  • IP免疫沉淀
  • E酶联免疫吸附法
  • DB免疫斑点法
  • ChIP染色质免疫沉淀
  • GICA胶体金免疫层析法
  • NC阴性对照

种属反应性

  • Hu
  • Ms小鼠
  • Rt大鼠
  • Dm果蝇
  • C线虫
  • Mk
  • Rb
  • B
  • D
  • P
  • Hm仓鼠
  • ChHm中国仓鼠
  • Chk
;

联系我们

Location :

南京市高新开发区星火路10号人才大厦C座

Phone :

400-9961-933
025-58868422

Email Address

info@sabbiotech.com