免费电话:400-9961-933
邮箱:info@sabbiotech.com
欢迎光临本站
川博智能体 English
位置: 首页 > 多克隆抗体 > IFN-beta Antibody

IFN-beta Antibody #24540

是否有货: 有货
产品详情

产品名称IFN-beta Antibody

来源种属Rabbit

克隆性Polyclonal

纯化Affinity chromatography purified via peptide column

应用ELISA WB IHC

种属反应性Human;Mouse

免疫原类型Peptide

免疫原描述Raised against a 17 amino acid peptide from near the center of human IFN-b.

基因/蛋白名称IFN-beta

标记Unconjugated

别名Interferon beta, beta-interferon

数据库入口号AAC41702

Uniprot AAC41702

浓度1mg/ml

配方Supplied in PBS containing 0.02% sodium azide.

保存Can be stored at -20˚C, stable for one year. As with all antibodies care should be taken to avoid repeated freeze thaw cycles. Antibodies should not be exposed to prolonged high temperatures.

应用详情
Western blot analysis of IFN-b in A-20 cell lysate with IFN-b antibody at 5 ug/mL.
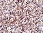
Immunohistochemistry of IFN-b in human liver tissue with IFN-b antibody at 5 ug/mL.
Type I Interferons (IFN-alpha/beta) are produced primarily in response to viral infection by "Natural IFN-producing cells" (IPCs) as part of the host immune response and can also inhibit the development of tumors. IFN-beta binding by its receptor results in the activation of the tyrosine kinases Jak1 and Tyk2 and phosphorylation of members of the STAT family of transcription factors, leading to the transcription and expression of the immune response genes. More recently, several members of the toll-like receptor (TLR) family were found to stimulate the production IFN-beta. IFN-beta is currently used clinically for treatment of tumors, infections and multiple sclerosis.

如果您使用该产品24540发表了文章,请通知我们,让我们可以引用您的文献。

et al,Sustained induction of IP-10 by MRP8/14 via the IFNβ–IRF7 axis in macrophages exaggerates lung injury in endotoxemic mice , (2023),
PMID: 37701855

注释

应用

  • WB免疫印迹
  • IHC免疫组化
  • IF免疫荧光
  • ICC免疫细胞化学
  • FC流式细胞
  • IP免疫沉淀
  • E酶联免疫吸附法
  • DB免疫斑点法
  • ChIP染色质免疫沉淀
  • GICA胶体金免疫层析法
  • NC阴性对照

种属反应性

  • Hu
  • Ms小鼠
  • Rt大鼠
  • Dm果蝇
  • C线虫
  • Mk
  • Rb
  • B
  • D
  • P
  • Hm仓鼠
  • ChHm中国仓鼠
  • Chk
;

联系我们

Location :

南京市高新开发区星火路10号人才大厦C座

Phone :

400-9961-933
025-58868422

Email Address

info@sabbiotech.com