免费电话:400-9961-933
邮箱:info@sabbiotech.com
欢迎光临本站
川博智能体 English
位置: 首页 > 多克隆抗体 > ORAI1 Antibody

ORAI1 Antibody #24555

是否有货: 有货
产品详情

产品名称ORAI1 Antibody

来源种属Rabbit

克隆性Polyclonal

纯化Affinity chromatography purified via peptide column

应用ELISA WB IHC

种属反应性Human;Mouse

特异性This antibody is predicted to have no cross-reactivity to ORAI2 or ORAI3.

免疫原类型Peptide

免疫原描述Raised against a 16 amino acid peptide from near the carboxy terminus of human ORAI1.

基因/蛋白名称ORAI1

标记Unconjugated

别名Transmembrane protein 142A, TMEM142A, Calcium release-activated calcium channel protein 1

数据库入口号Q96D31

Uniprot Q96D31

浓度1mg/ml

配方Supplied in PBS containing 0.02% sodium azide.

保存Can be stored at -20˚C, stable for one year. As with all antibodies care should be taken to avoid repeated freeze thaw cycles. Antibodies should not be exposed to prolonged high temperatures.

应用详情
Western blot analysis of ORAI1 in human ovary tissue lysate with ORAI1 antibody at (A) 0.5, (B) 1 and (C) 2 ug/mL.
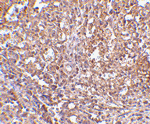
Immunohistochemistry of ORAI1 in human spleen tissue with ORAI1 antibody at 2.5 ug/mL.
Antigen stimulation of immune cells triggers Ca++ entry through Ca++ release-activated Ca++ (CRAC) channels. ORAI1 is a recently identified four-transmembrane spanning protein that is an essential component of CRAC. A missense mutation in this protein in humans is the cause of one form of hereditary severe combined immune deficiency (SCID) which results in ablated T-cell Ca++ entry. It has been suggested that ORAI1 functions as a highly selective Ca++ plasma membrane channel that is gated through interactions with STIM1, the store-activated endoplasmic reticulum Ca++ sensor.

如果您使用该产品24555发表了文章,请通知我们,让我们可以引用您的文献。

et al,Subchronic Exposure to Polystyrene Nanoplastics Disrupts Placental Development and Calcium Homeostasis: Insights from In Vivo and In Vitro Models , (2025),
PMID: 40171975

注释

应用

  • WB免疫印迹
  • IHC免疫组化
  • IF免疫荧光
  • ICC免疫细胞化学
  • FC流式细胞
  • IP免疫沉淀
  • E酶联免疫吸附法
  • DB免疫斑点法
  • ChIP染色质免疫沉淀
  • GICA胶体金免疫层析法
  • NC阴性对照

种属反应性

  • Hu
  • Ms小鼠
  • Rt大鼠
  • Dm果蝇
  • C线虫
  • Mk
  • Rb
  • B
  • D
  • P
  • Hm仓鼠
  • ChHm中国仓鼠
  • Chk
;

联系我们

Location :

南京市高新开发区星火路10号人才大厦C座

Phone :

400-9961-933
025-58868422

Email Address

info@sabbiotech.com